ACJ Quiz - Require Restoration

1 / 21

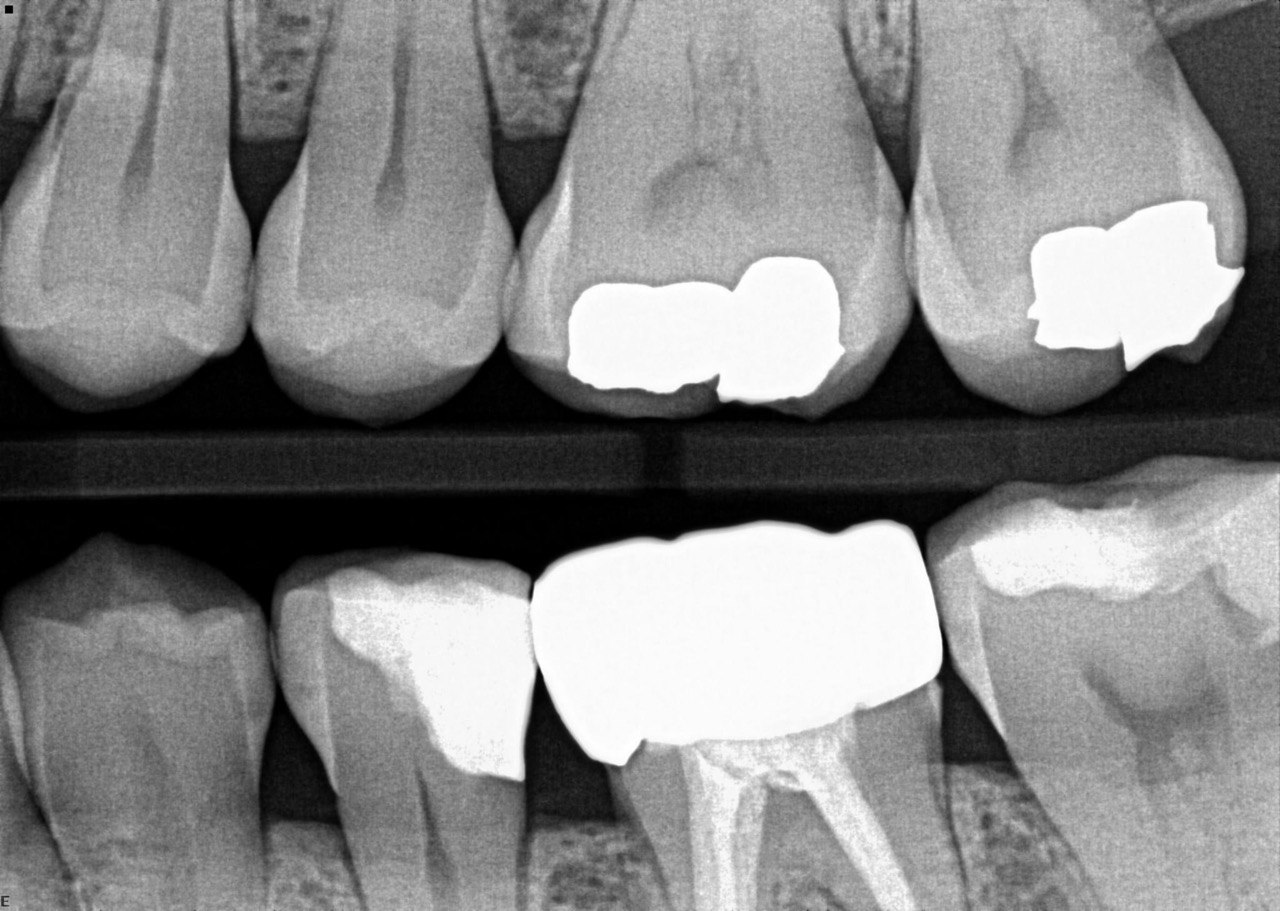
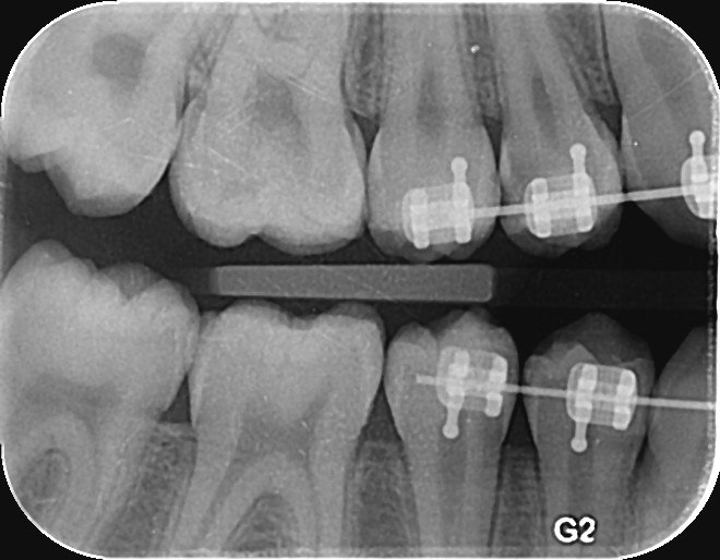
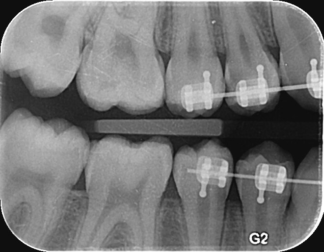
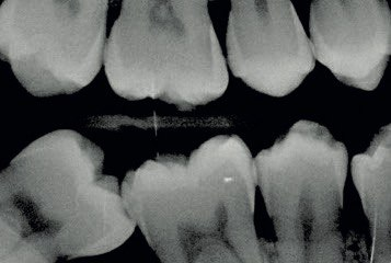
1. What surface require restoration?

2 / 21

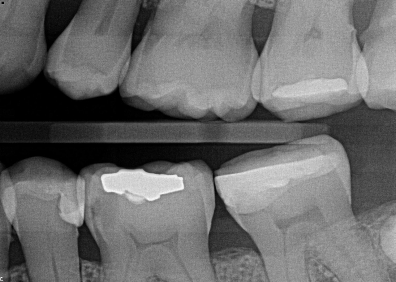
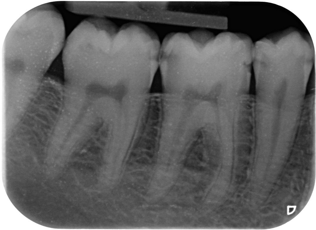
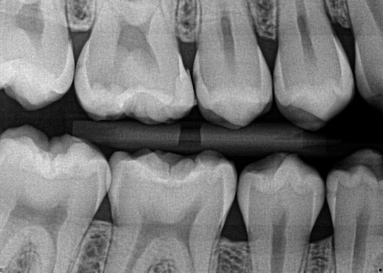
2. What surface require restoration?

3 / 21

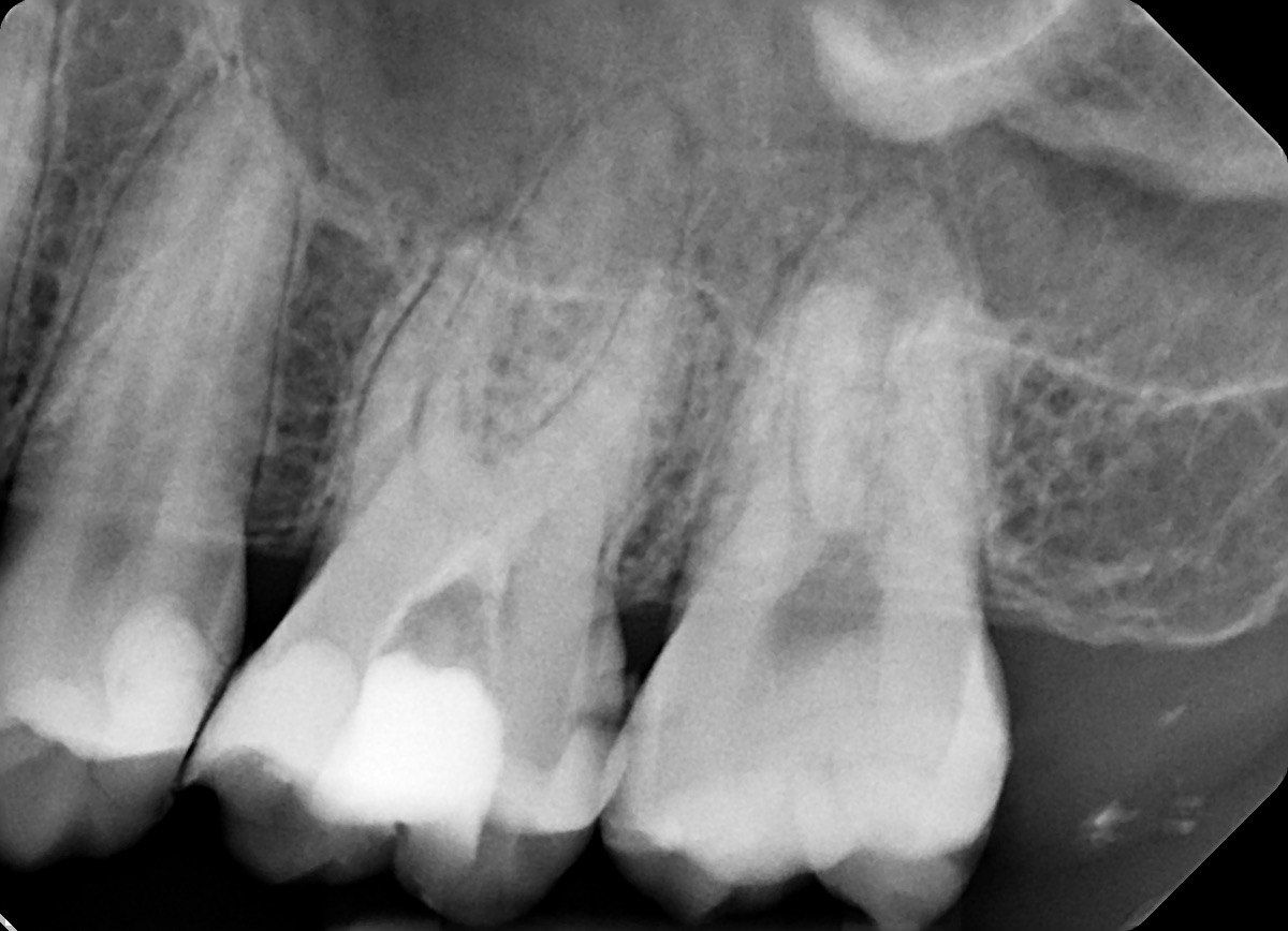
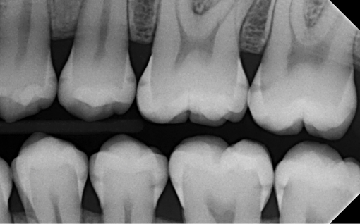
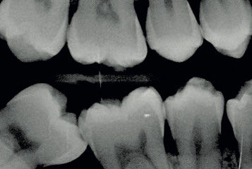
3. What surface require restoration?

4 / 21

4. What surface require restoration?

5 / 21

5. What surface require restoration?

6 / 21

6. What surface require restoration?

7 / 21

7. What surface require restoration?

8 / 21

8. What surface require restoration?

9 / 21

9. What surface require restoration?

10 / 21

10. What surface require restoration?

11 / 21

11. Whasurface require restoration?

12 / 21

12. What surface require restoration?

13 / 21

13. Which surface require restoration?

14 / 21

14. Which surface require restoration?

15 / 21

15. Which surface has cavity and require restoration?

16 / 21

16. Which surface require restoration?

17 / 21

17. which surface require restoration?

18 / 21

18. which surface require restoration?

19 / 21

19. Which surface requires restoration

20 / 21

20. Which surface requires restoration?

21 / 21

21. Which surface requires restoration?

Your score is

The average score is 70%

0%