ACJ Quiz - Post Placement

1 / 25

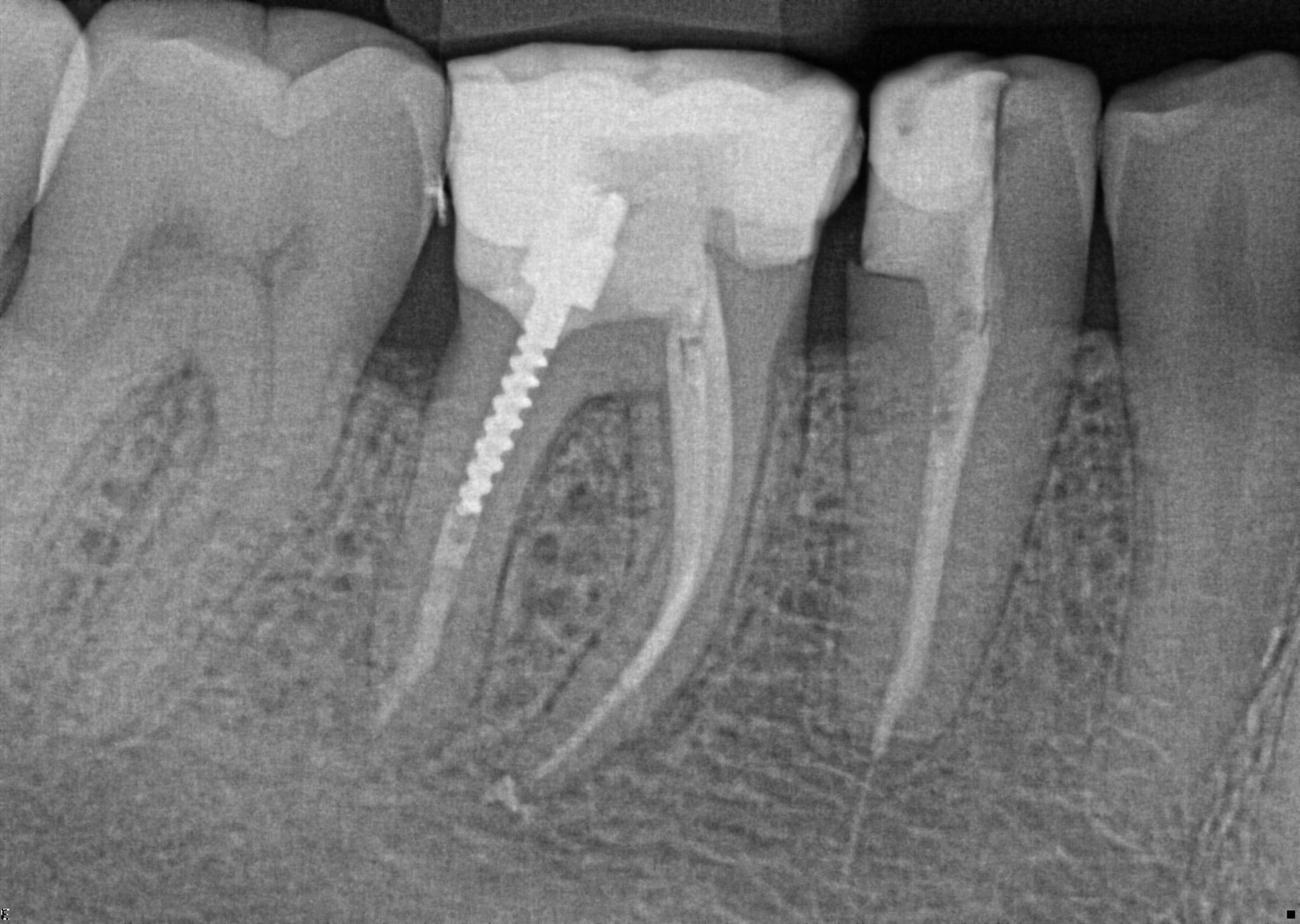
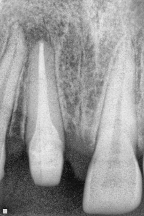
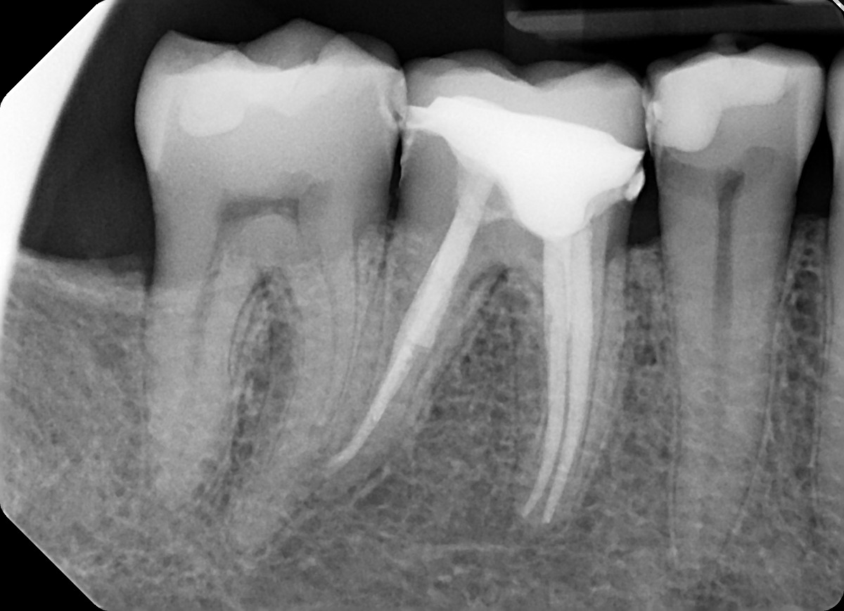
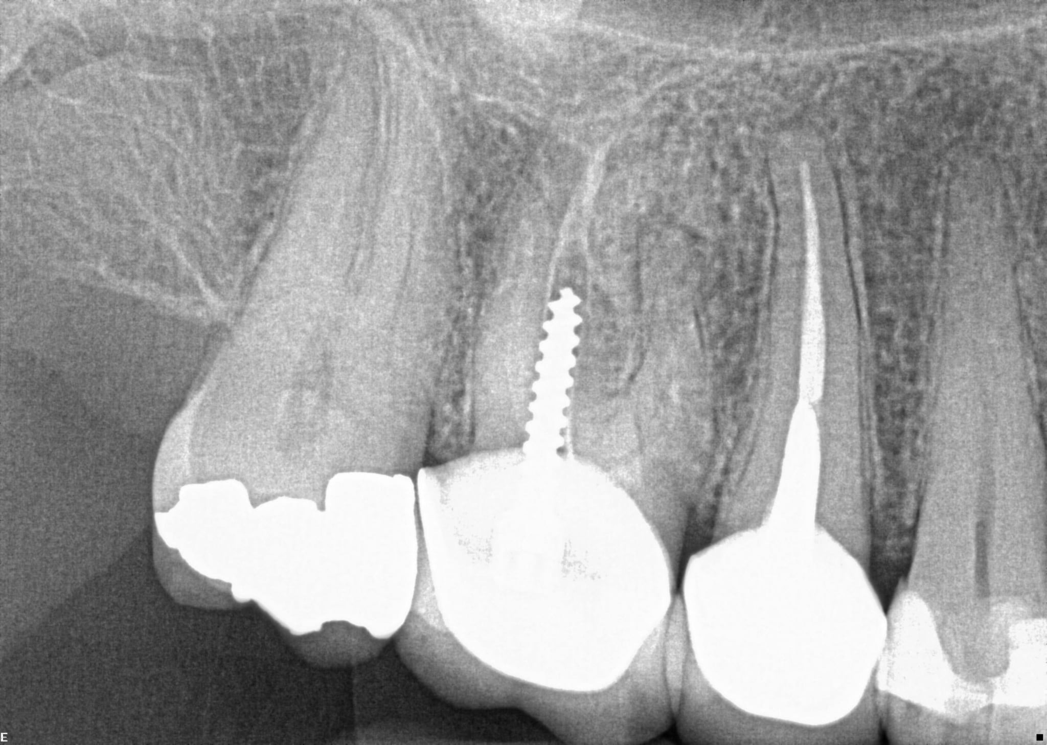
1.  What option can describe the post placement in the X ray bellow for the tooth # 2.5?

2 / 25

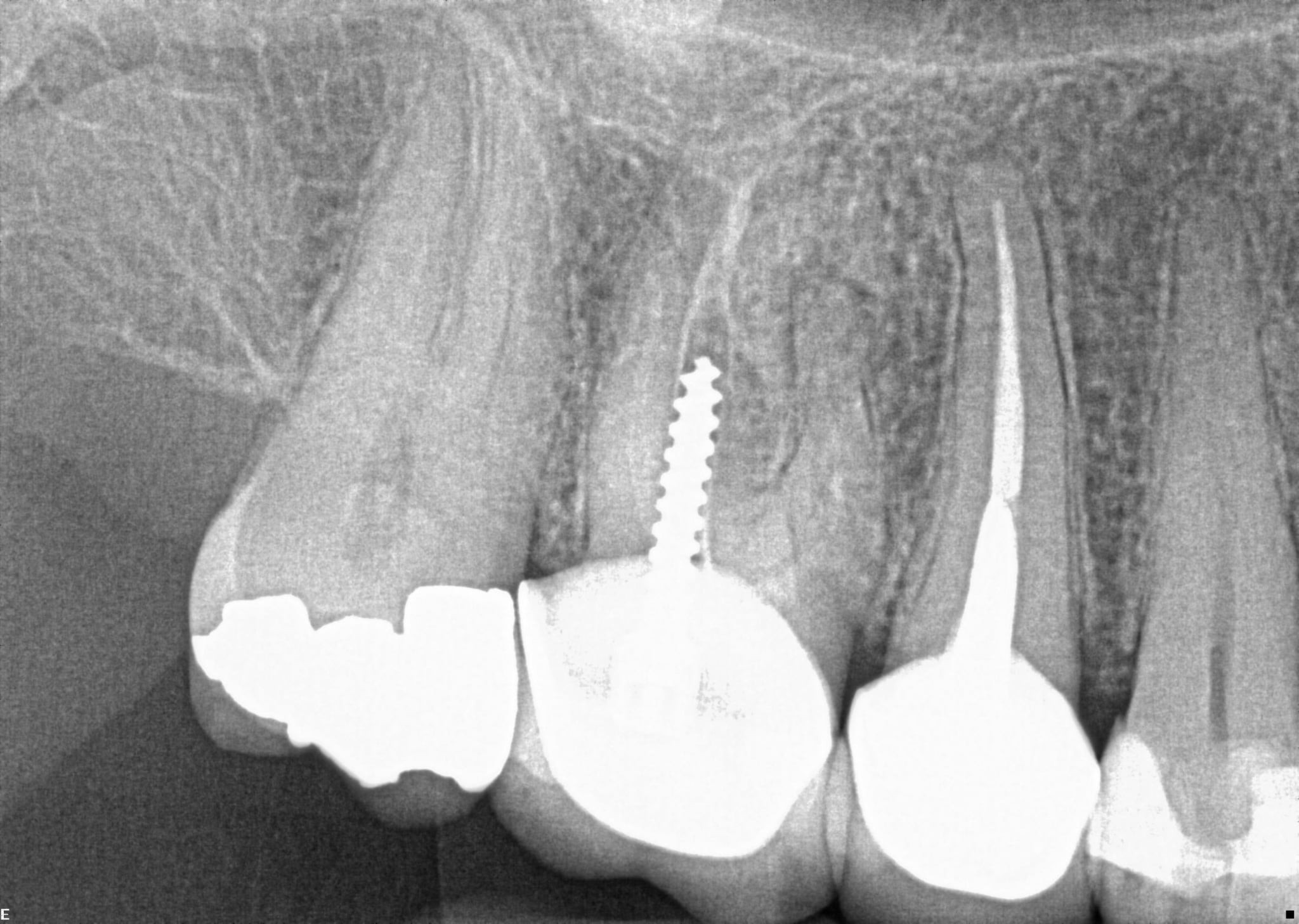
2. What option can describe the post placement in the X ray bellow for the tooth # 4.6?

3 / 25

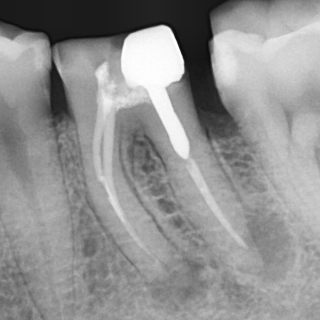
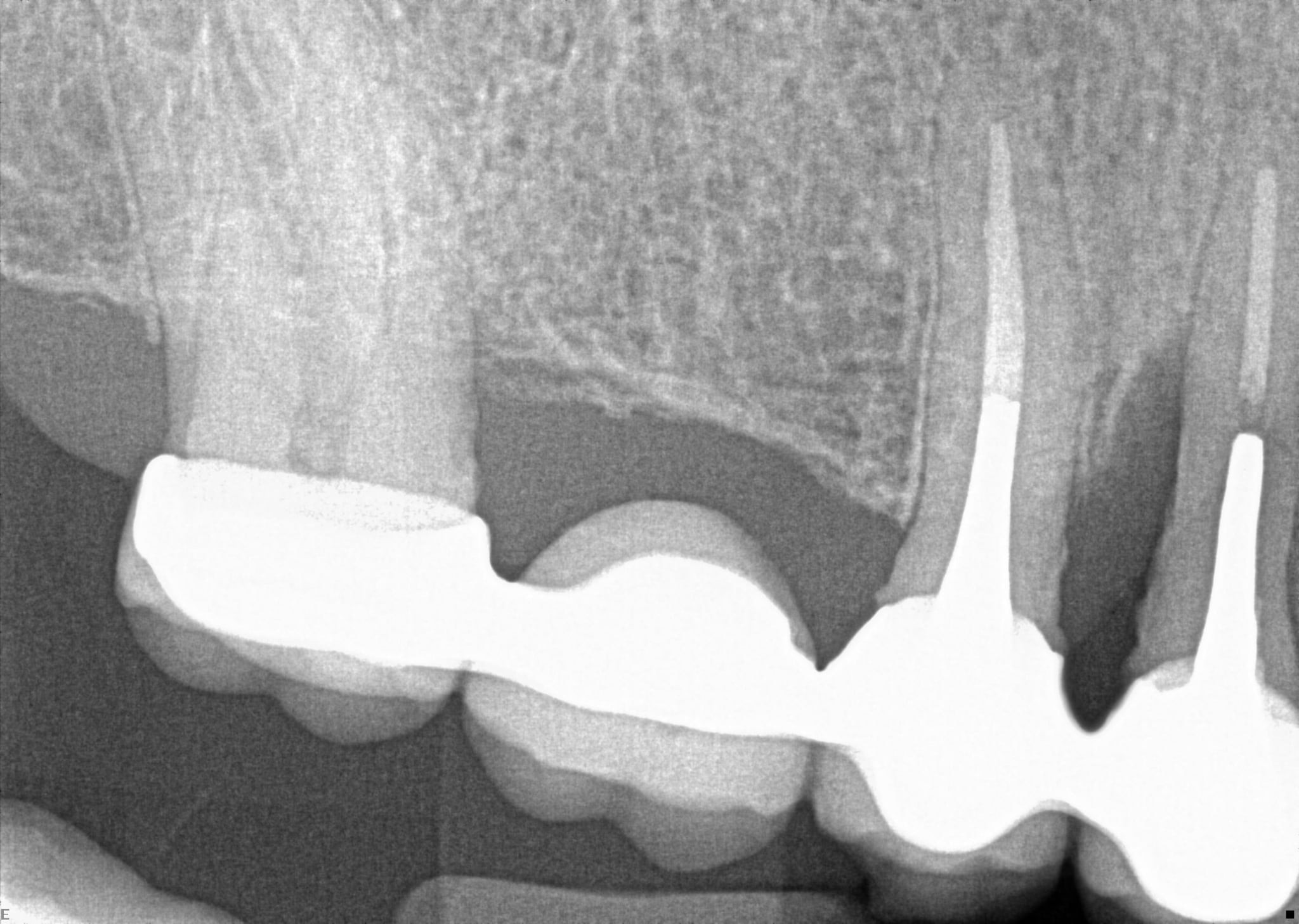
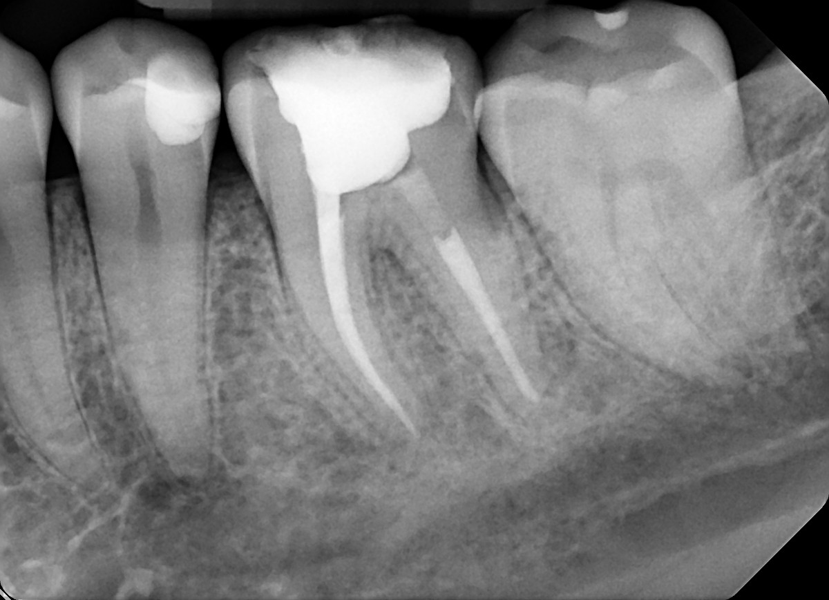
3. What option can describe the post placement in the X ray bellow for the tooth # 3.6?

4 / 25

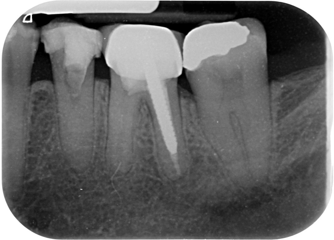
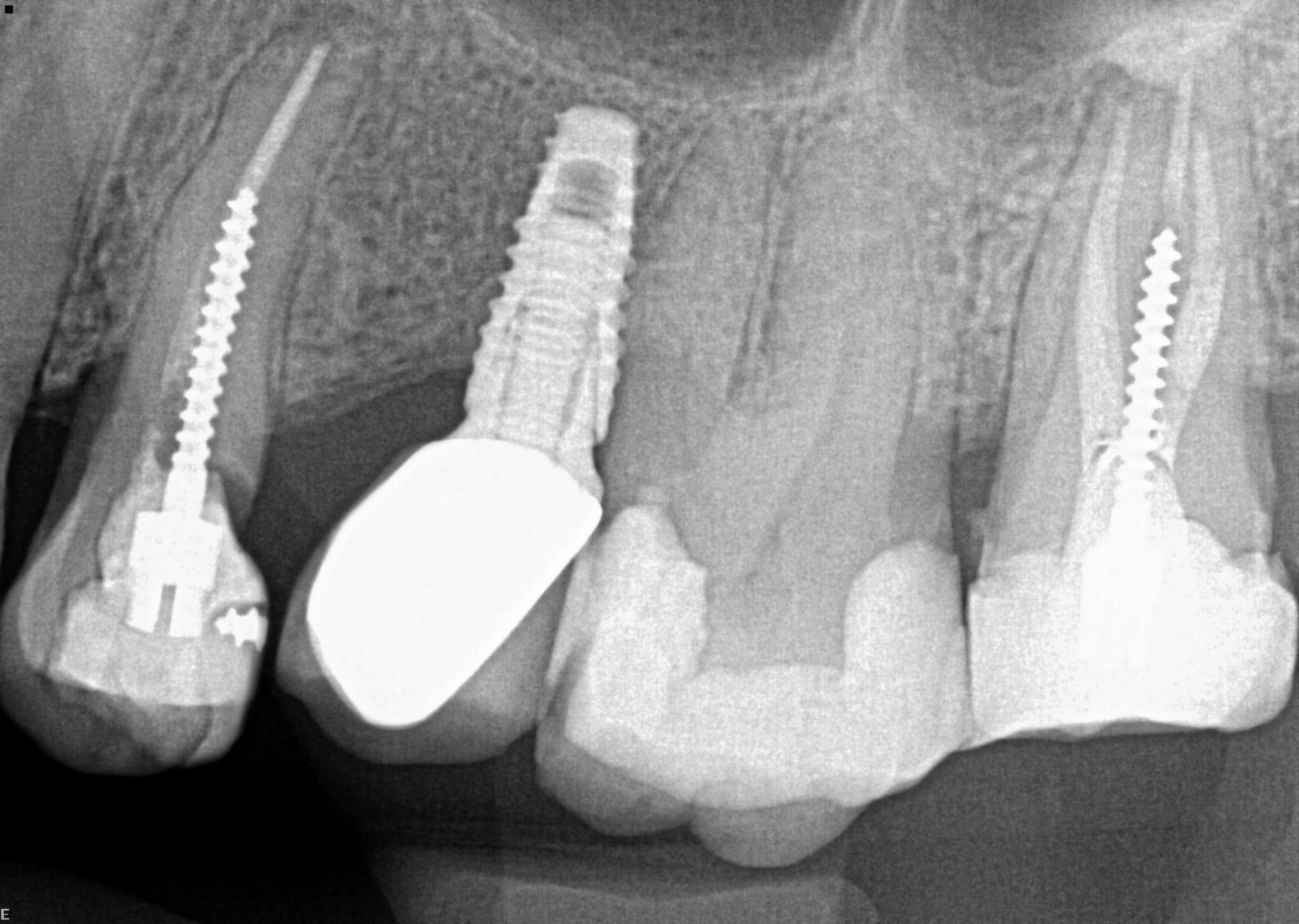
4. What option can describe the post placement in the X ray bellow for the tooth # 3.6?

5 / 25

5. What option can describe the post placement in the X ray bellow for the tooth # 1.6?

6 / 25

6. What option can describe the post placement in the X ray bellow for the tooth # 3.6?

7 / 25

7. What option can describe the post placement in the X ray bellow for the tooth # 1.5?

8 / 25

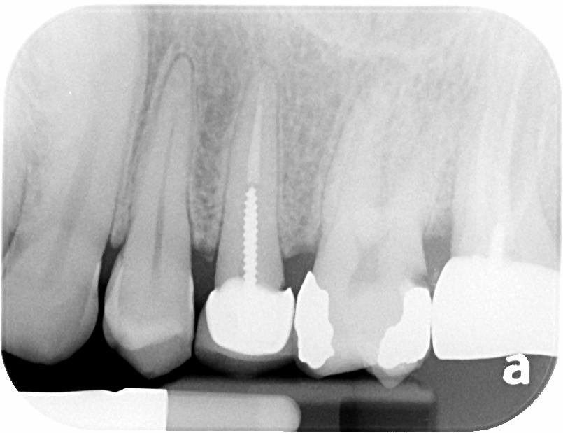
8. What option can describe the post placement in the X ray bellow for the tooth #2.5?

9 / 25

9. What option can describe the post placement in the X ray bellow for the tooth #3.5?

10 / 25

10. What option can describe the post placement in the X ray bellow for the tooth #1.6

11 / 25

11. What option can describe the post placement in the X ray bellow for the tooth #1.5?

12 / 25

12. What option can describe the post placement in the X ray bellow for the tooth #4.2?

13 / 25

13. What option can describe the post placement in the X ray bellow for the tooth #1.1?

14 / 25

14. What option can describe the post placement in the X ray bellow for the tooth #2.2?

15 / 25

15. What option can describe the post placement in the X ray bellow for the tooth #3.6?

16 / 25

16. What option can describe the post placement in the X ray bellow for the tooth #2.1?

17 / 25

17. What option can describe the post placement in the X ray bellow for the tooth #1.6?

18 / 25

18. What option can describe the post placement in the X ray bellow for the tooth #3.6?

19 / 25

19. What option can describe the post placement in the X ray bellow for the tooth #1.4?

20 / 25

20. What option can describe the post placement in the X ray bellow for the tooth #1.1?

21 / 25

21. What option can describe the post placement in the X ray bellow for the tooth #4.6?

22 / 25

22. What option can describe the post placement in the X ray bellow for the tooth #2.5?

23 / 25

23. What option can describe the post placement in the X ray bellow for the tooth #4.5?

24 / 25

24. What option can describe the post placement in the X ray bellow for the tooth #1.4?

25 / 25

25. What option can describe the post placement in the X ray bellow for the tooth #1.1?

Your score is

The average score is 61%

0%