ACJ Quiz - Pediatric dentistry (age distinction) X ray 01

1 / 30

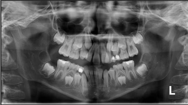
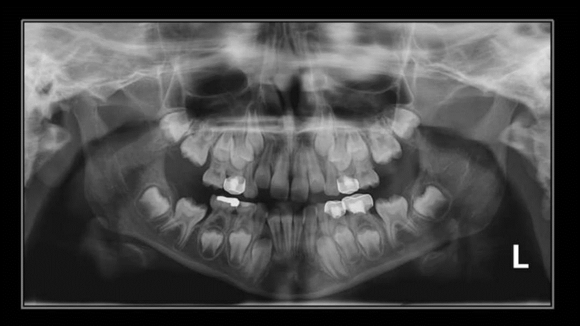
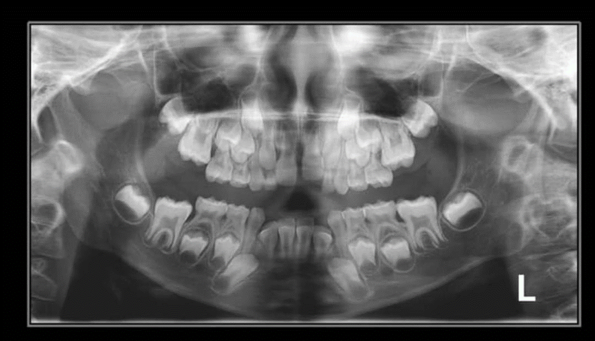
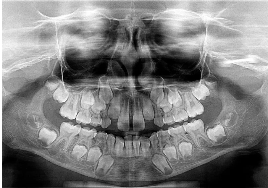
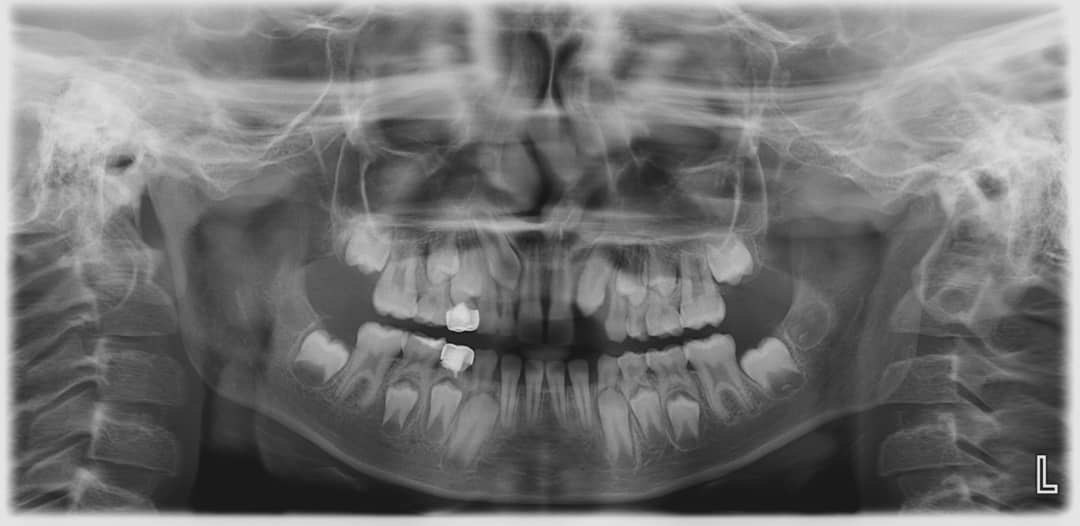
1. How old is the patient with the following X ray?

2 / 30

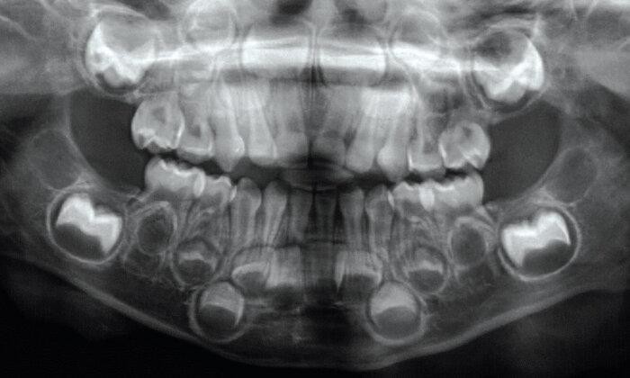
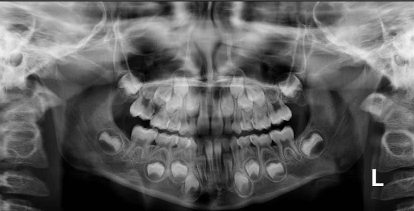
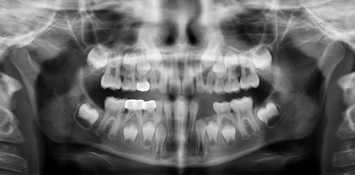
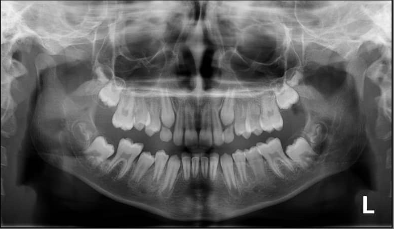
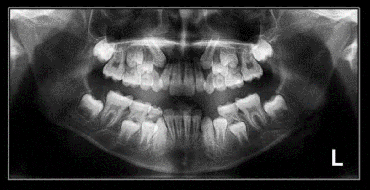
2. How old is the patient with the following X ray?

3 / 30

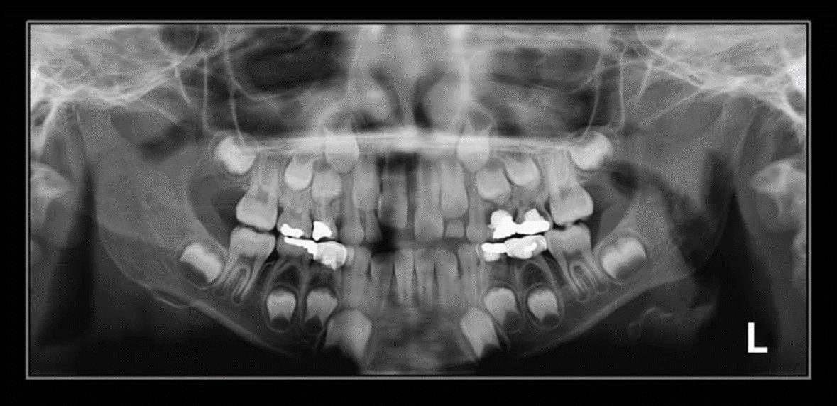
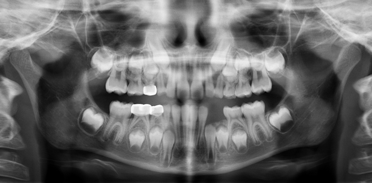
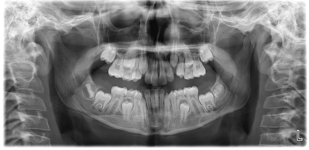
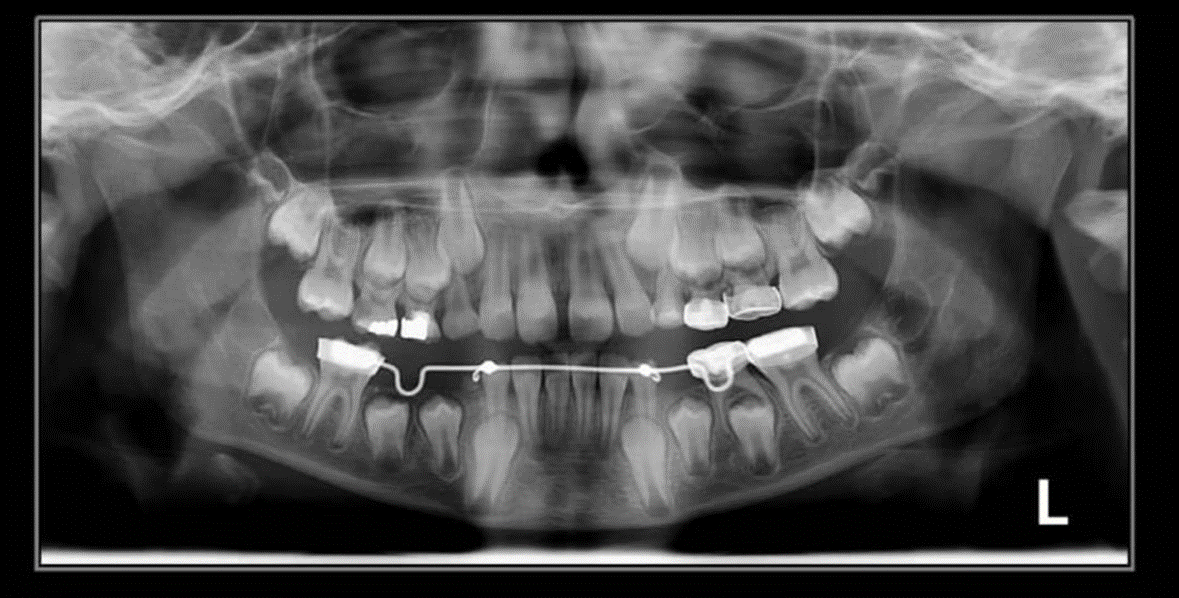
3. How old is the patient with the following X ray?

4 / 30

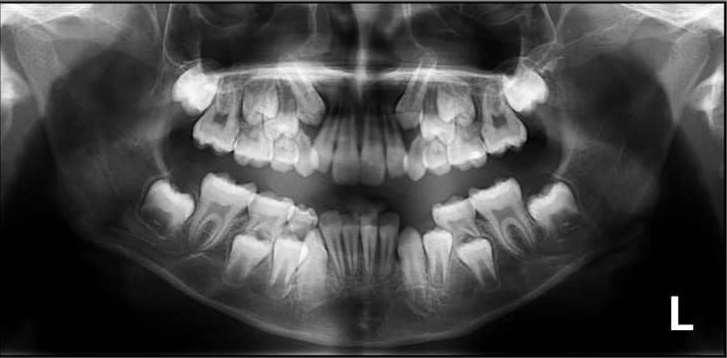
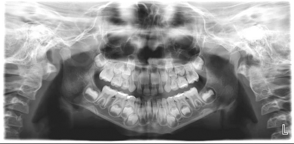
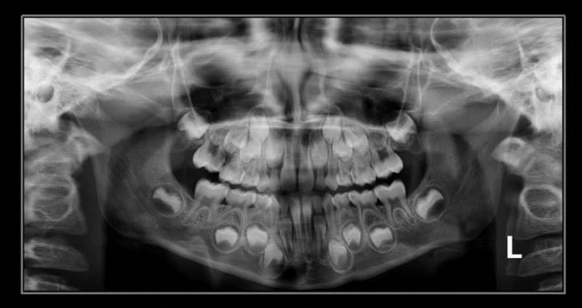
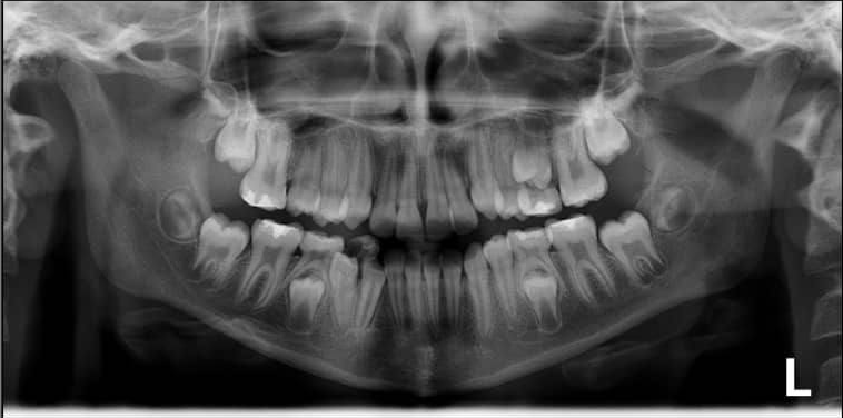
4. How old is the patient with the following X ray?

5 / 30

5. How old is the patient with the following X ray?

6 / 30

6. How old is the patient with the following X ray?

7 / 30

7. How old is the patient with the following X ray?

8 / 30

8. How old is the patient with the following X ray?

9 / 30

9. How old is the patient with the following X ray?

10 / 30

10. How old is the patient with the following X ray?

11 / 30

11. How old is the patient with the following X ray?

12 / 30

12. How old is the patient with the following X ray?

13 / 30

13. How old is the patient with the following X ray?

14 / 30

14. How old is the patient with the following X ray?

15 / 30

15. How old is the patient with the following X ray?

16 / 30

16. How old is the patient with the following X ray?

17 / 30

17. How old is the patient with the following X ray?

18 / 30

18. How old is the patient with the following X ray?

19 / 30

19. How old is the patient with the following X ray?

20 / 30

20. How old is the patient with the following X ray?

21 / 30

21. How old is the patient with the following X ray?

22 / 30

22. How old is the patient with the following X ray?

23 / 30

23. How old is the patient with the following X ray?

24 / 30

24. How old is the patient with the following X ray?

25 / 30

25. How old is the patient with the following X ray?

26 / 30

26. How old is the patient with the following X ray?

27 / 30

27. How old is the patient with the following X ray?

28 / 30

28. How old is the patient with the following X ray?

29 / 30

29. How old is the patient with the following X ray?

30 / 30

30. How old is the patient with the following X ray?

Your score is

The average score is 52%

0%