ACJ Quiz - Pathological Lesions

1 / 21

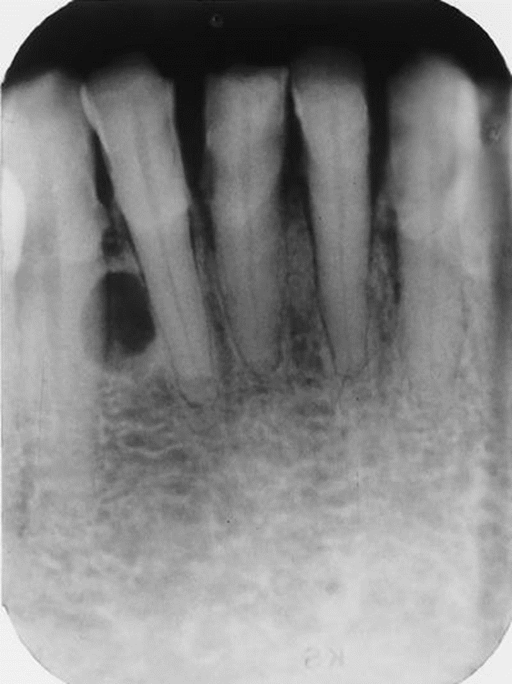
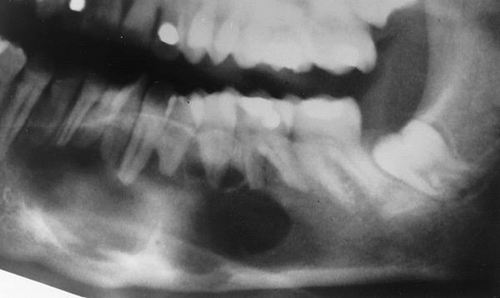
1. Mary is a 67-year-old who was referred to the periodontist. As part of the adiographic examination, this small radiolucent lesion was detected. The teeth were vital. Considering the patient’s age and the location, size, and clinical findings, what is your diagnostic impression?

2 / 21

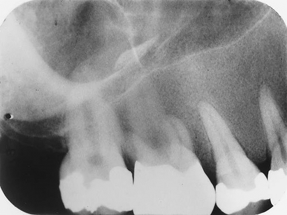
2. Bill is an asymptomatic 47-year-old who presented for routine dental treatment. This radiograph was taken as part of the full mouth survey.

What is your diagnosis?

3 / 21

3. This is a 35-year-old asymptomatic woman who has slight buccal and palatal enlargement of the alveolar bone in this area. Other studies indicated portions of the zygoma were involved. This condition was first detected at age 19 years and is slowly progressive. Her alkaline phosphatase was normal to high-normal, and her serum calcium was normal.

What is your diagnostic impression?

4 / 21

4. This 72-year-old woman presented with loose 20-yearold dentures and slight intermittent pain under the lower denture. She stated she had her teeth extracted because of severe untreated caries and abscessed teeth. The radiolucent lesion was detected on a radiograph of the painful area.

What is your diagnostic impression?

5 / 21

5. What is the most likely diagnosis for this radiopaque finding?

6 / 21

6.  What is the most likely diagnosis for this radiolucent mandibular lesion?

7 / 21

7. What is the most likely diagnosis for this mandibular lesion?

8 / 21

8. What is the most likely diagnosis for this mandibular lesion?

9 / 21

9. What is the most likely diagnosis for this radiolucent lesion?

10 / 21

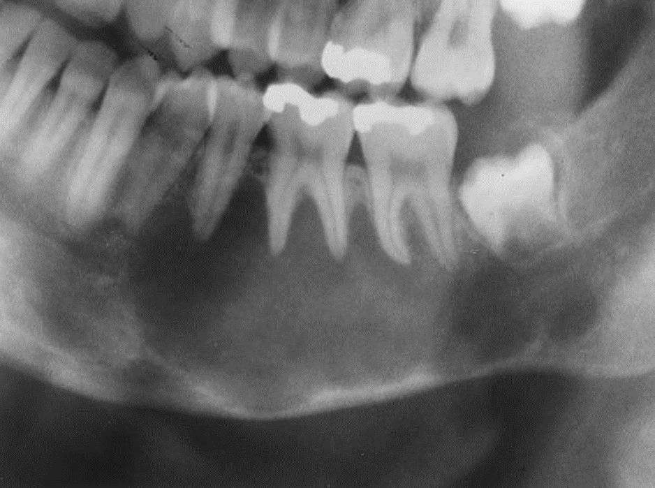
10. What is the most likely diagnosis for this mandibular lesion?

11 / 21

11. What is the most likely diagnosis for this mandibular lesion?

12 / 21

12. What is the most likely diagnosis for this mandibular lesion?

13 / 21

13. What is the most likely diagnosis for this mandibular lesion?

14 / 21

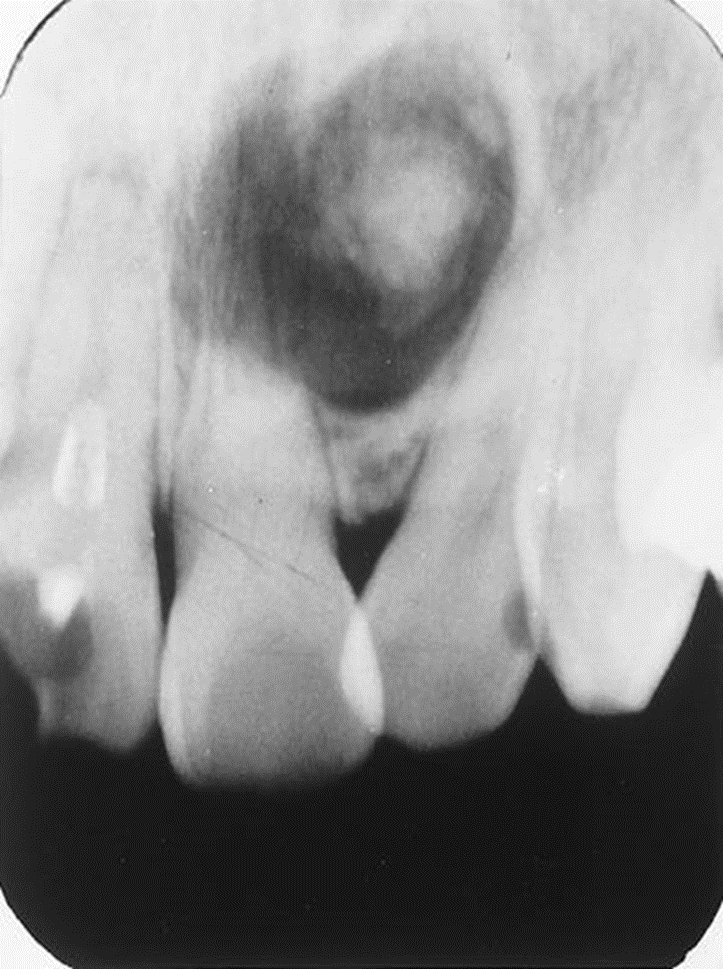
14. What is the most likely diagnosis for this anterior maxillary lesion?

15 / 21

15. What is the most likely diagnosis for this maxillary midline lesion?

16 / 21

16. What is the most likely diagnosis for the radiopaque lesion at the apex of the mandibular right 2nd molar?

17 / 21

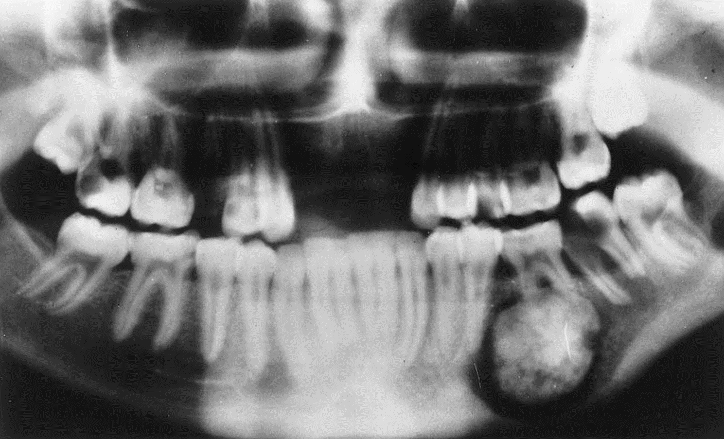
17. What is the most likely diagnosis for this mandibular lesion in a 28-year-old man?

18 / 21

18. What is the most likely diagnosis for this mandibular lesion?

19 / 21

19. What is the most likely diagnosis for this mandibular periapical lesion?

20 / 21

20. What is the most likely diagnosis for these mandibular changes?

21 / 21

21. What is the most likely diagnosis for these periapical lesions of the mandibular incisors?

Your score is

The average score is 76%

0%