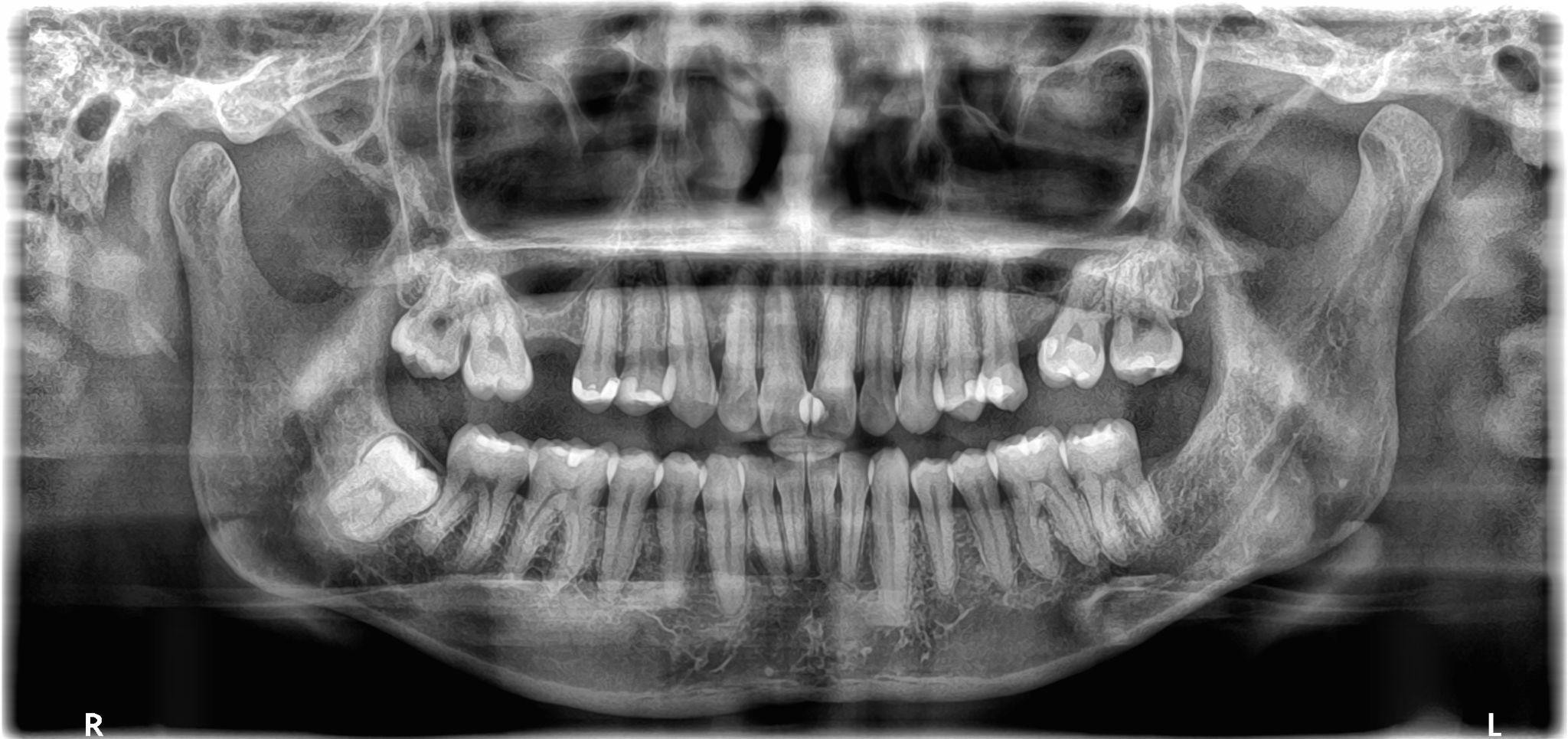
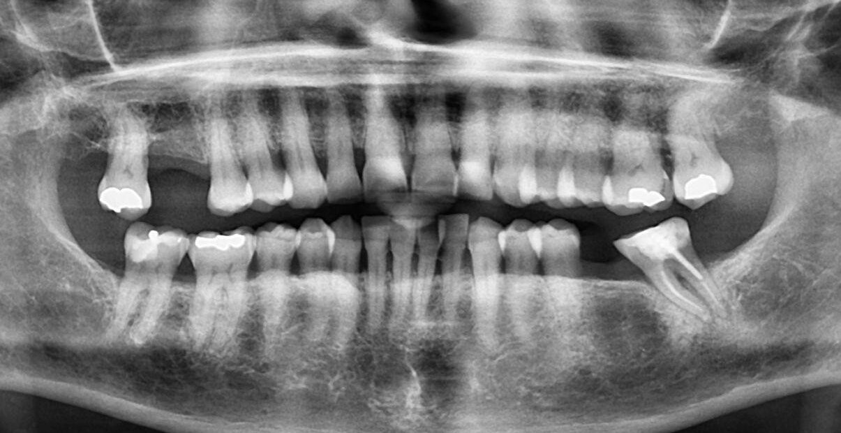
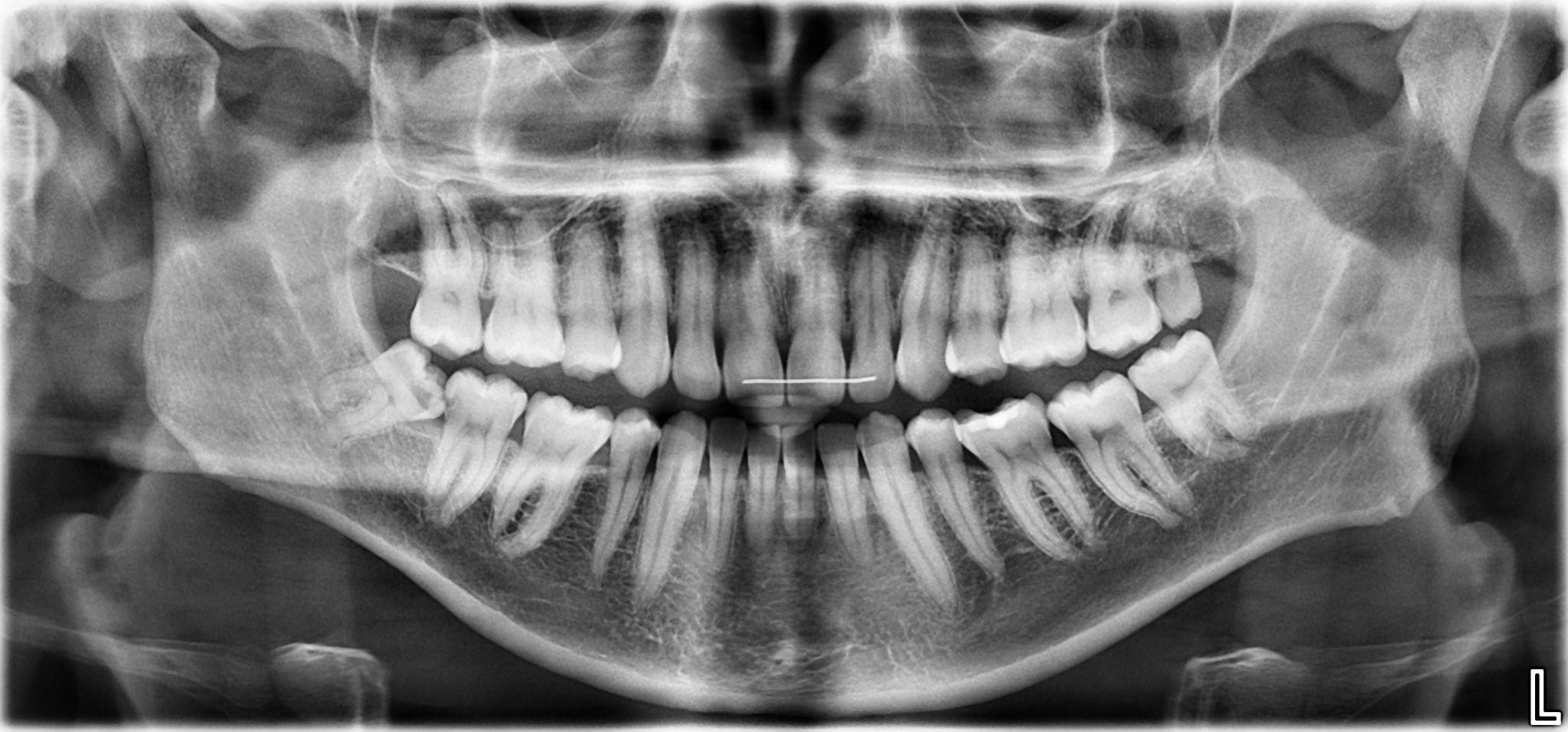
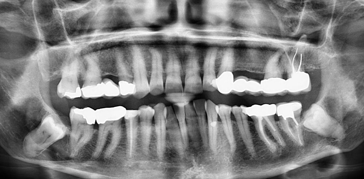
ACJ Quiz - Panoramic X-rays 03

1 / 23

1. What option can be selected for the upper jaw of this X ray?

2 / 23

2. What option cannot be selected for the lower jaw of this X ray?

3 / 23

3. What option cannot be selected for this X ray?

4 / 23

4. What option cannot be selected for this X ray?

5 / 23

5. What option can be selected for the upper jaw of this X ray?

6 / 23

6. What option can be selected for the lower jaw of this X ray?

7 / 23

7. What option cannot be selected for the upper jaw of this X ray?

8 / 23

8. What option cannot be selected for the lower jaw of this X ray?

9 / 23

9. What option cannot be selected for this X ray?

10 / 23

10. What option cannot be selected for the upper jaw of this X ray?

11 / 23

11. What option cannot be selected for the lower jaw of this X ray?

12 / 23

12. What option can be selected for this X ray?

13 / 23

13. What option cannot be selected for the upper jaw of this X ray?

14 / 23

14. What option cannot be selected for the lower jaw of this X ray?

15 / 23

15. What option cannot be selected for this X ray?

16 / 23

16. What option cannot be selected for the upper jaw of this X ray?

17 / 23

17. What option cannot be selected for the lower jaw of this X ray?

18 / 23

18. What option cannot be selected for the following panoramic X ray?

19 / 23

19. What option cannot be selected for this panoramic X ray?

20 / 23

20. What option can be selected for this panoramic X ray?

21 / 23

21. What option cannot be selected for upper jaw of this X ray?

22 / 23

22. What option cannot be selected for lower jaw of this X ray?

23 / 23

23. What option cannot be selected for this panoramic X ray?

Your score is

The average score is 100%

0%