ACJ Quiz - Panoramic X-rays 02

1 / 25

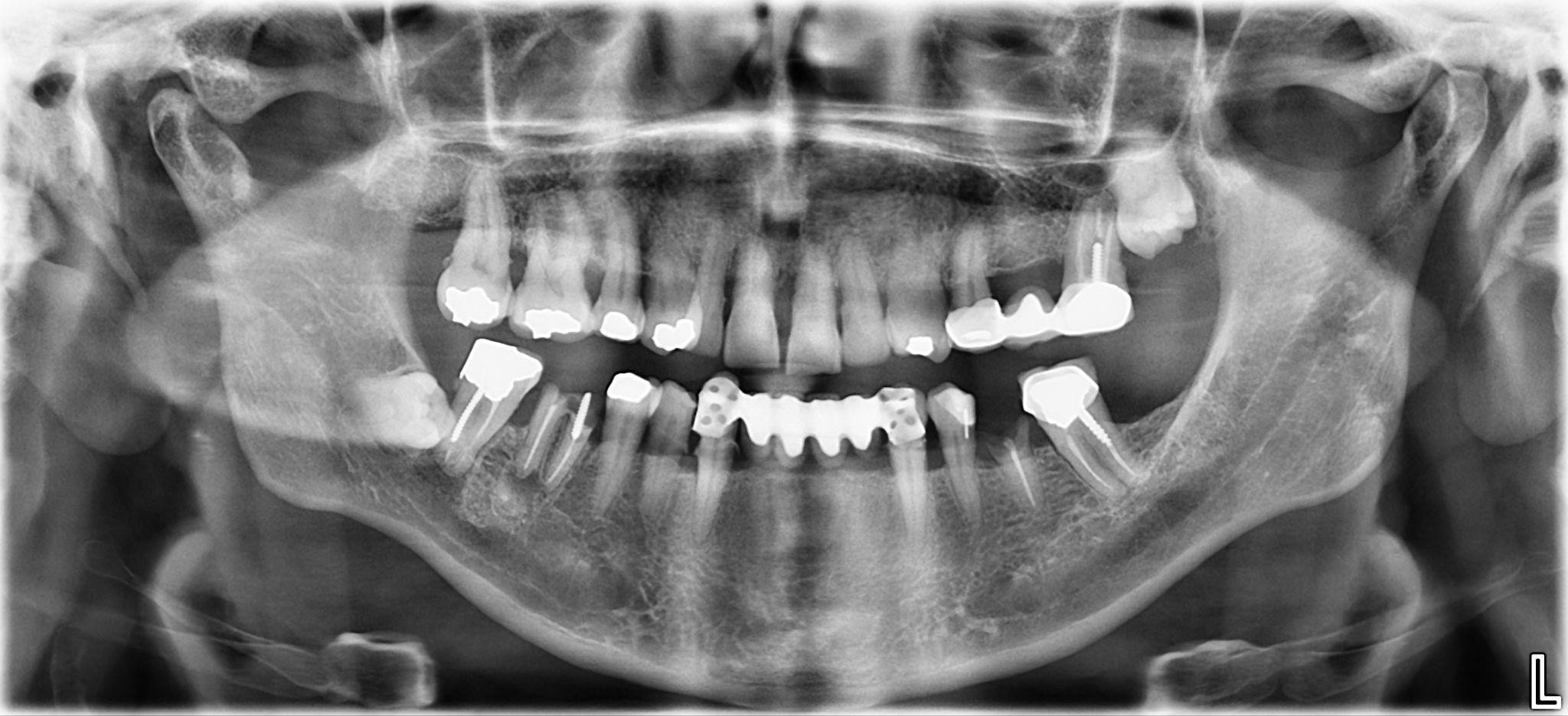
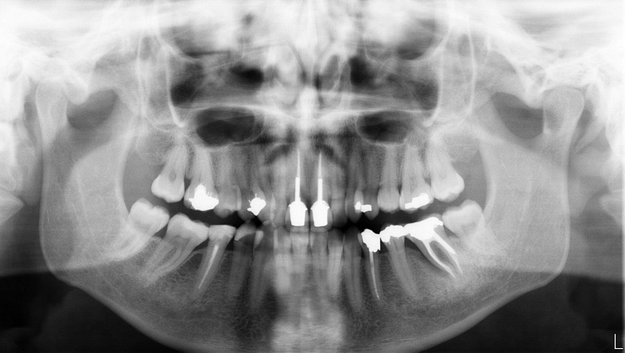
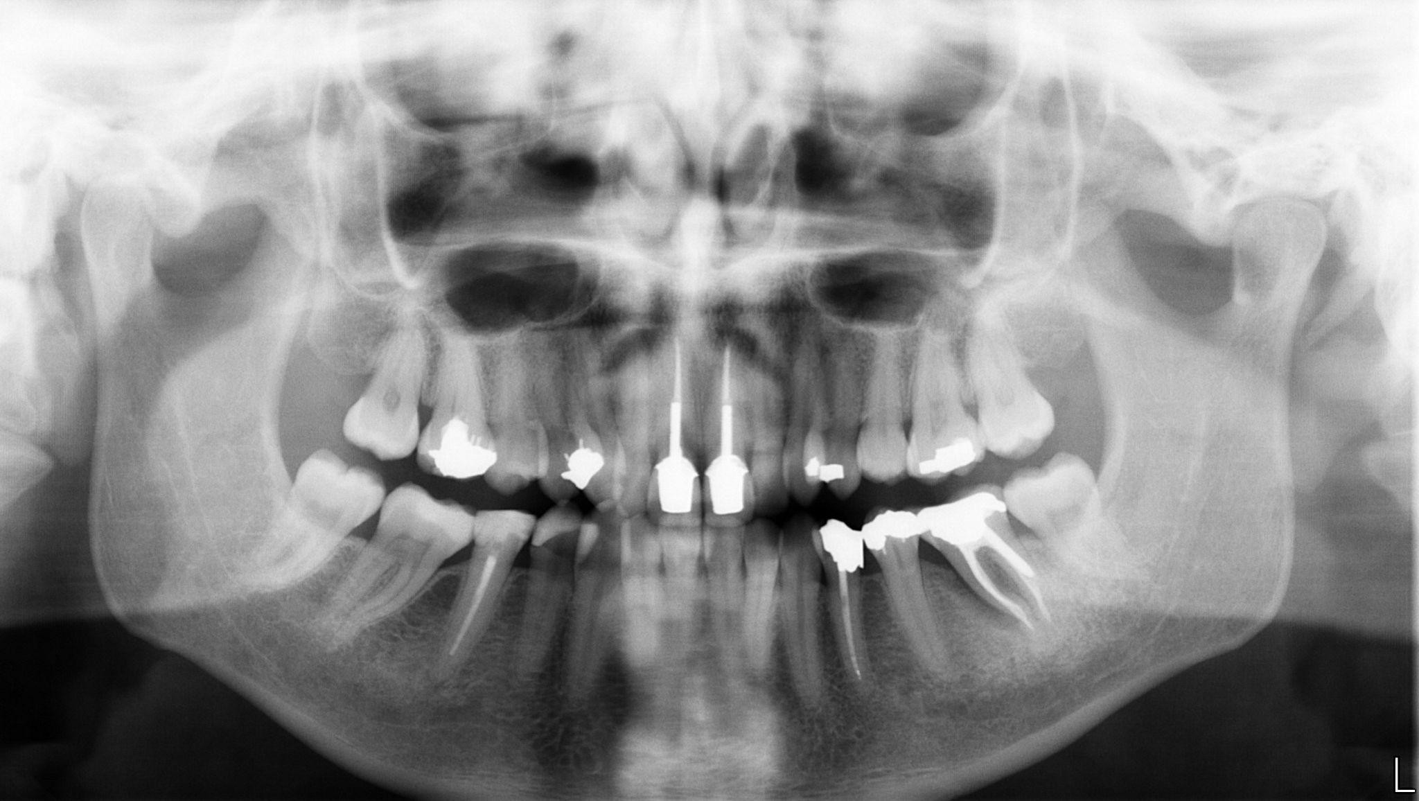
1. What option cannot be selected for the first quadrant of this panoramic X ray?

2 / 25

2. What option cannot be selected for the second quadrant of this panoramic X ray?

3 / 25

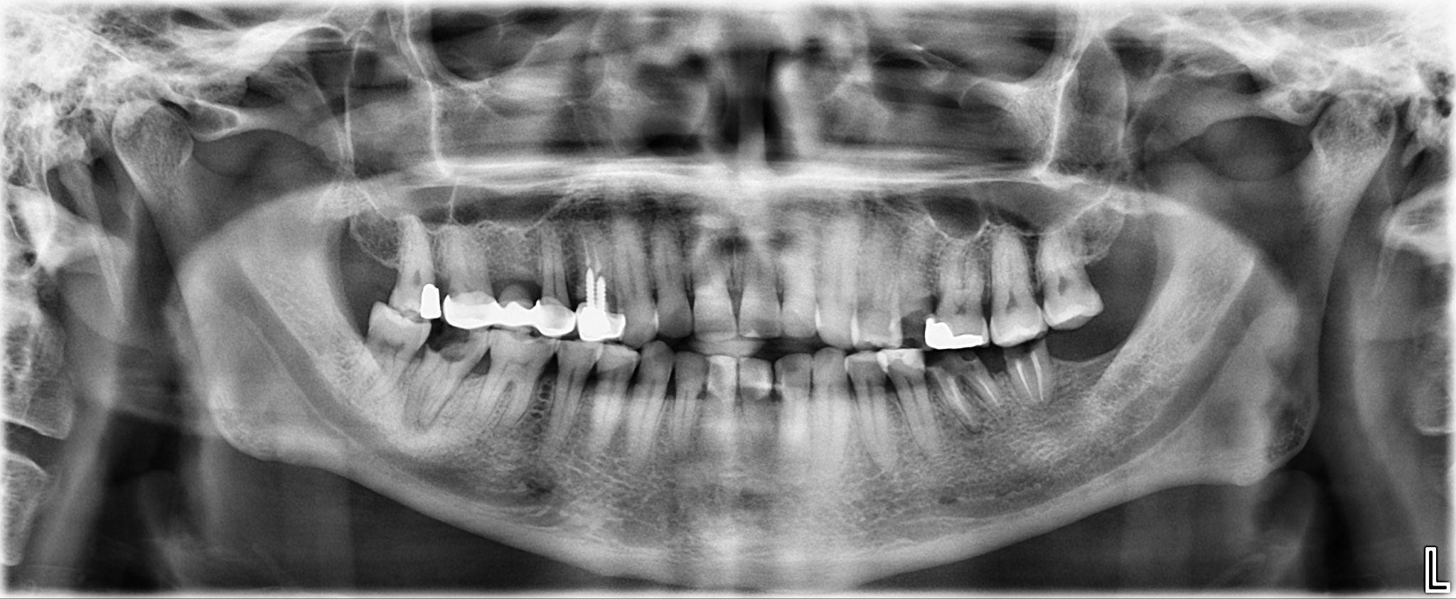
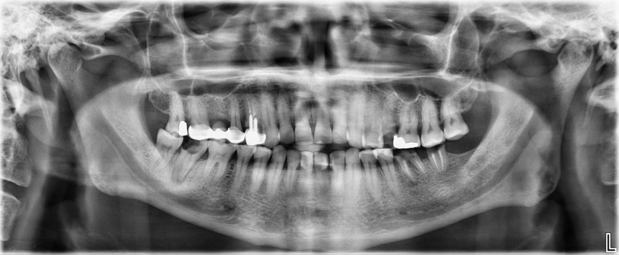
3. What option can be selected for the third quadrant of this panoramic X ray?

4 / 25

4. What option cannot be selected for the forth quadrant of this panoramic X ray?

5 / 25

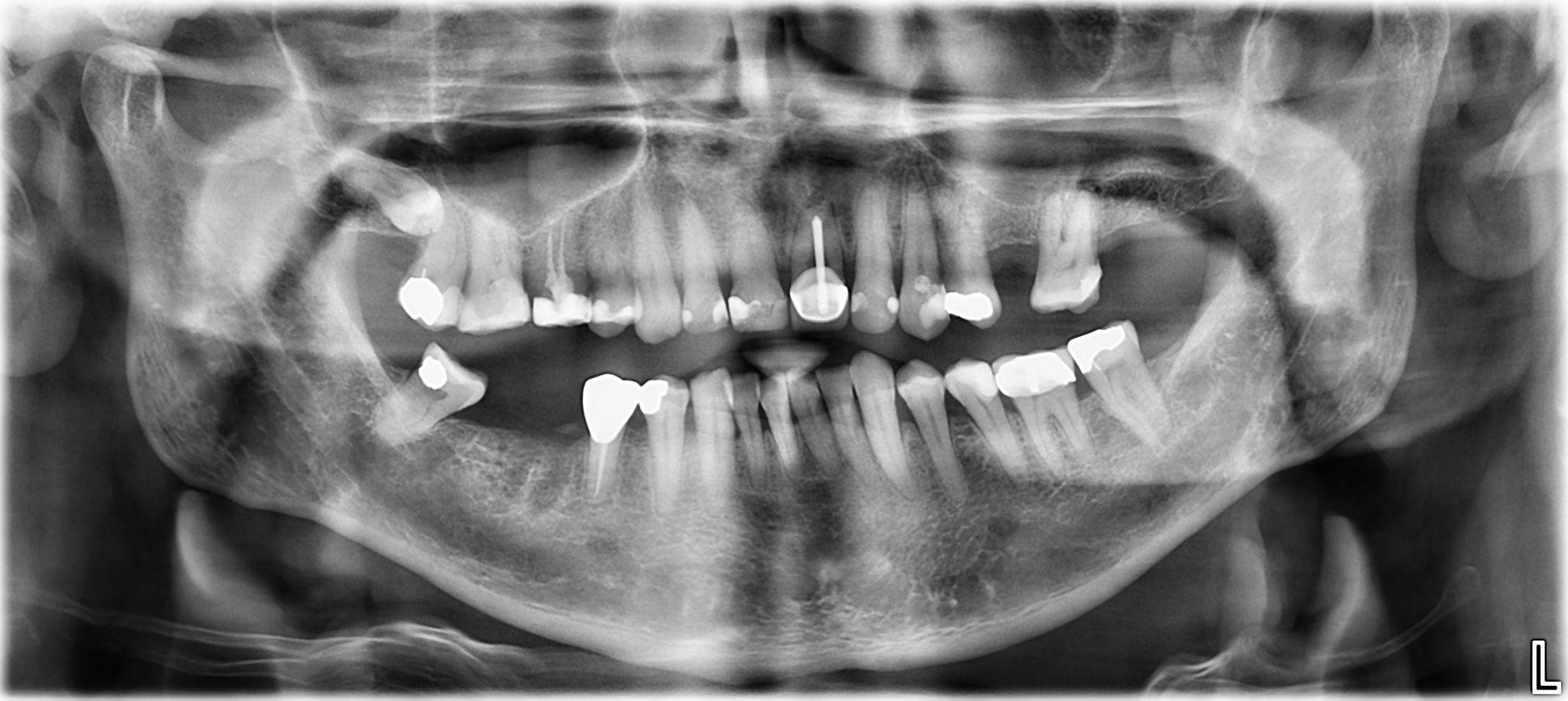
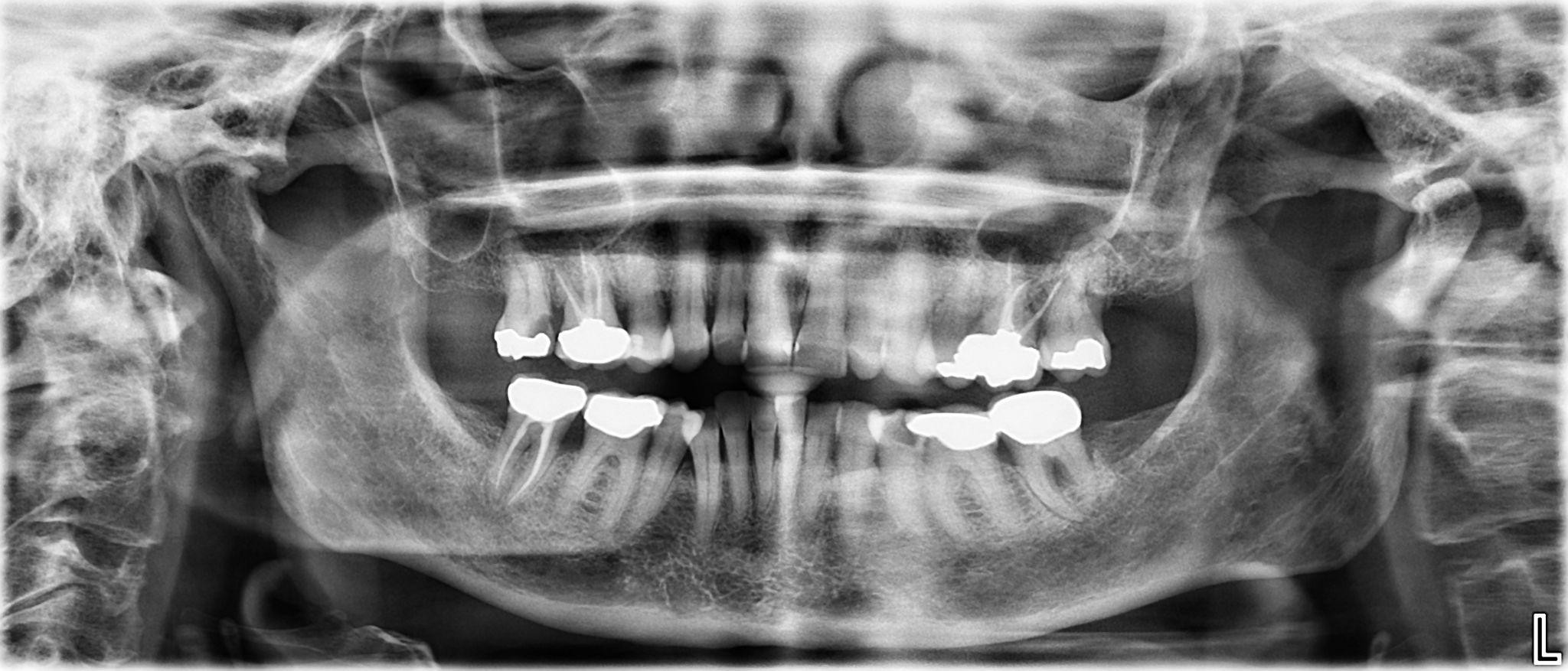
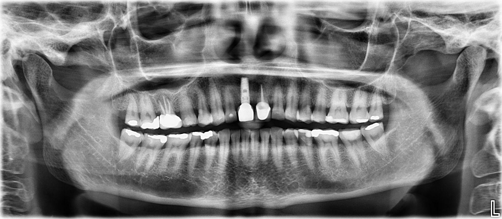
5. What option cannot be selected for the first quadrant of this panoramic X ray?

6 / 25

6. What option cannot be selected for the third quadrant of this panoramic X ray?

7 / 25

7. What option cannot be selected for the forth quadrant of this panoramic X ray?

8 / 25

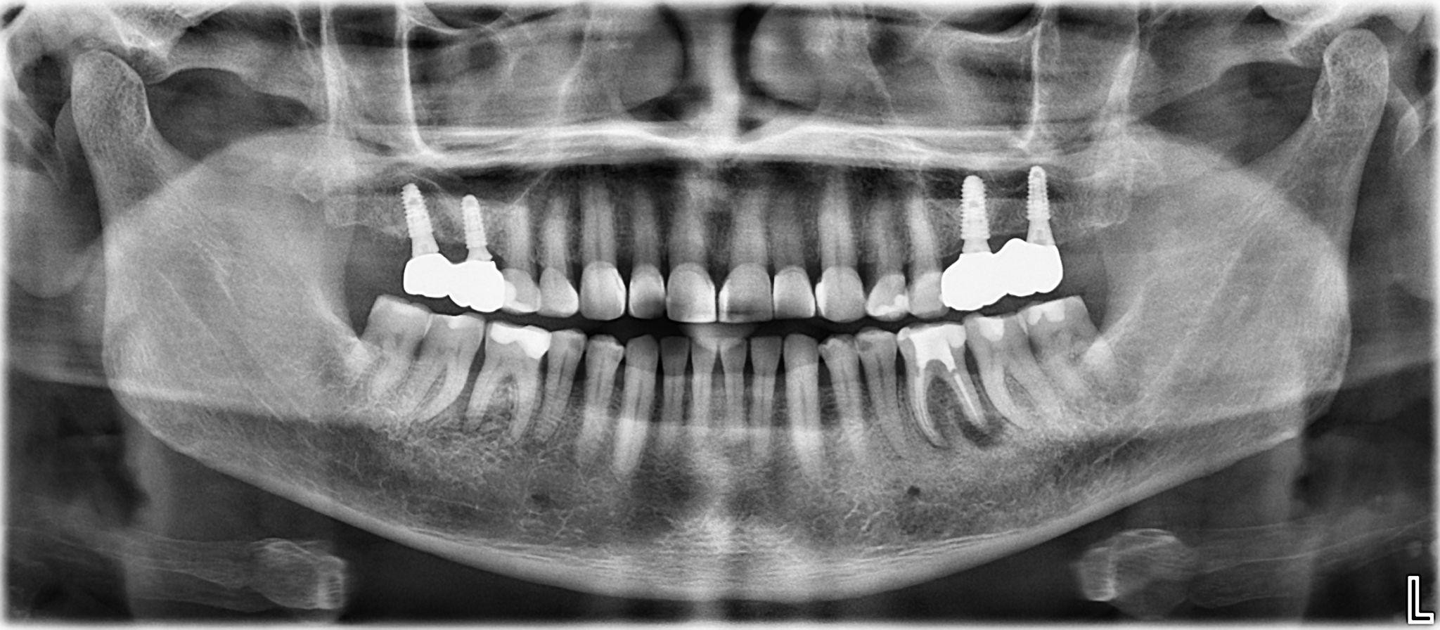
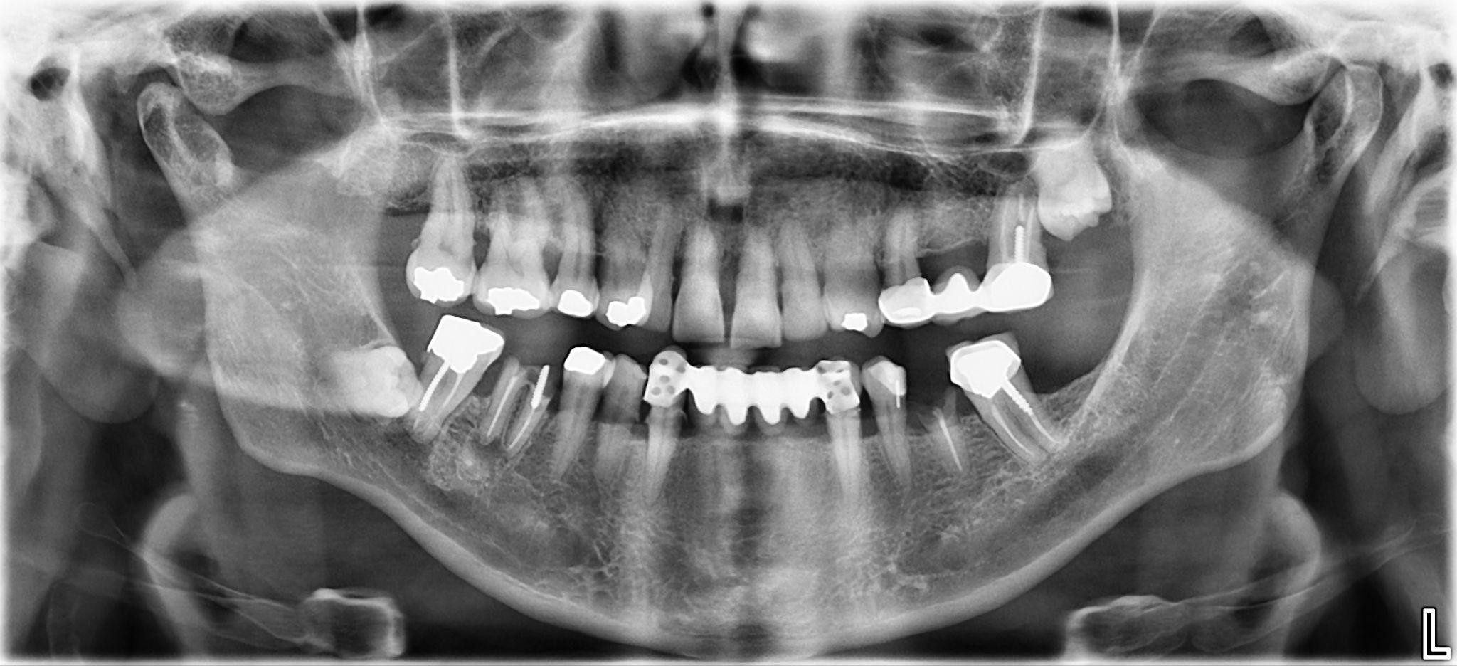
8. What option cannot be selected for the upper jaw of this panoramic X ray?

9 / 25

9. What option cannot be selected for the lower jaw of this panoramic X ray?

10 / 25

10. What option cannot be selected for the first quadrant of this panoramic X ray?

11 / 25

11. What option cannot be selected for the second quadrant of this panoramic X ray?

12 / 25

12. What option cannot be selected for the third quadrant of this panoramic X ray?

13 / 25

13. What option cannot be selected for the forth quadrant of this panoramic X ray?

14 / 25

14. What option cannot be selected for the upper jaw of this panoramic X ray?

15 / 25

15. What option cannot be selected for the lower jaw of this panoramic X ray?

16 / 25

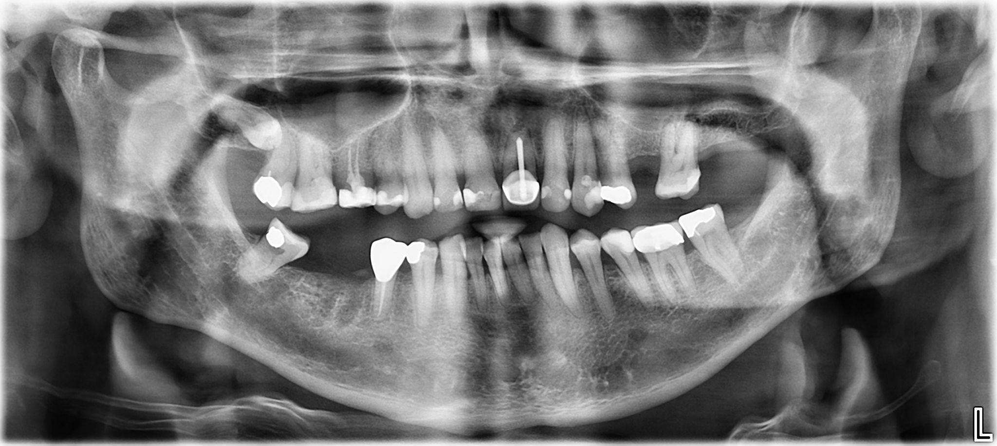
16. What option cannot be selected for the upper jaw of this panoramic X ray?

17 / 25

17. What option cannot be selected for the lower jaw of this panoramic X ray?

18 / 25

18. What option cannot be selected for the upper jaw of this panoramic X ray?

19 / 25

19. What option cannot be selected for the lower jaw of this panoramic X ray?

20 / 25

20. What option can be selected for the upper jaw of this panoramic X ray?

21 / 25

21. What option cannot be selected for the lower jaw of this panoramic X ray?

22 / 25

22. What option cannot be selected for the upper jaw of this panoramic X ray?

23 / 25

23. What option cannot be selected for the lower jaw of this panoramic X ray?

24 / 25

24. What option cannot be selected for the upper jaw of this panoramic X ray?

25 / 25

25. What option cannot be selected for the lower jaw of this panoramic X ray?

Your score is

The average score is 96%

0%