ACJ Quiz - Panoramic X-rays 01

1 / 24

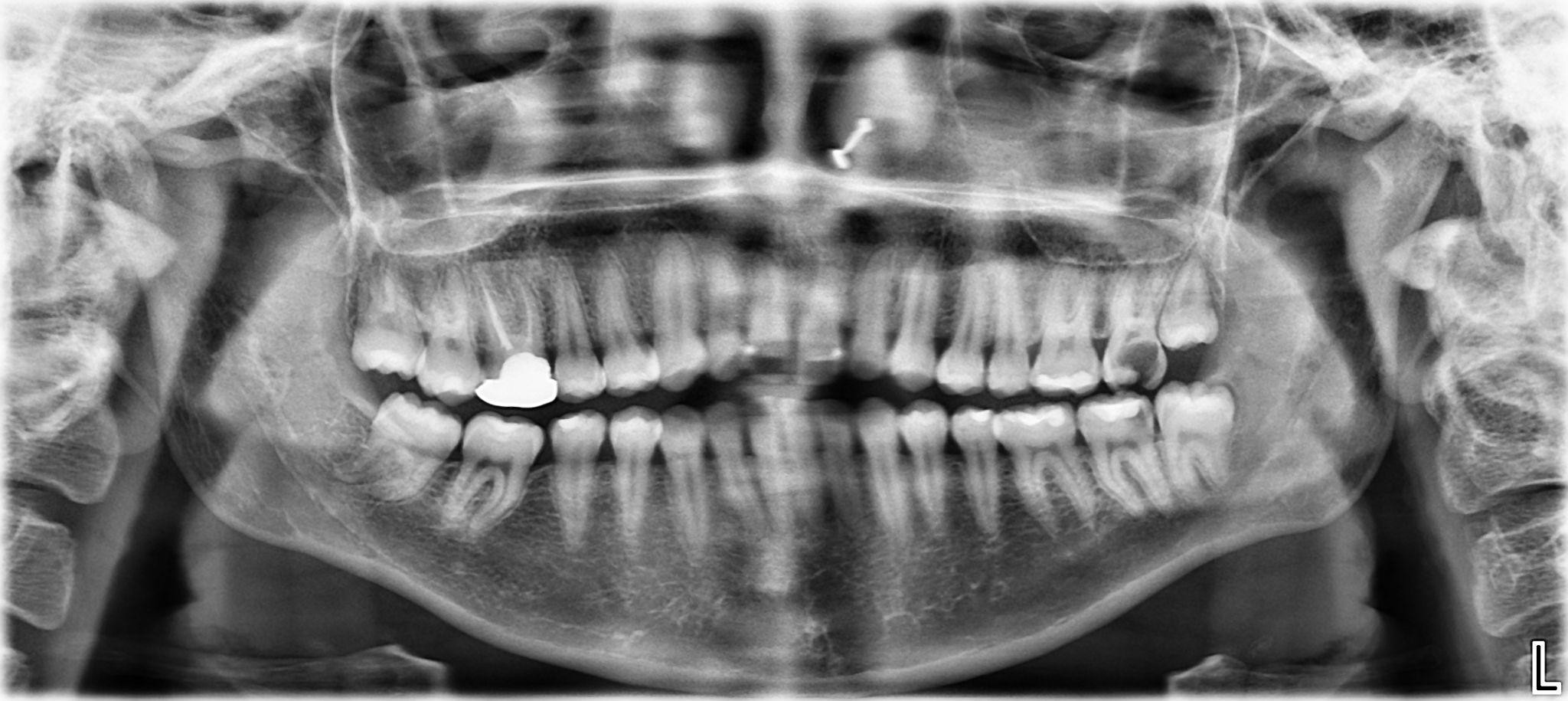
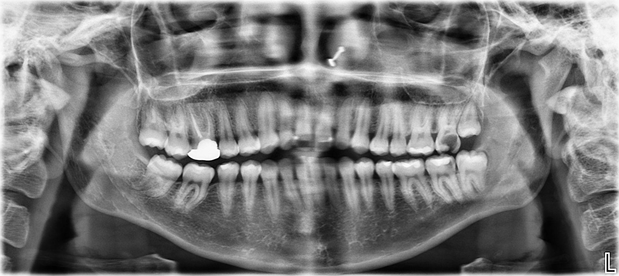
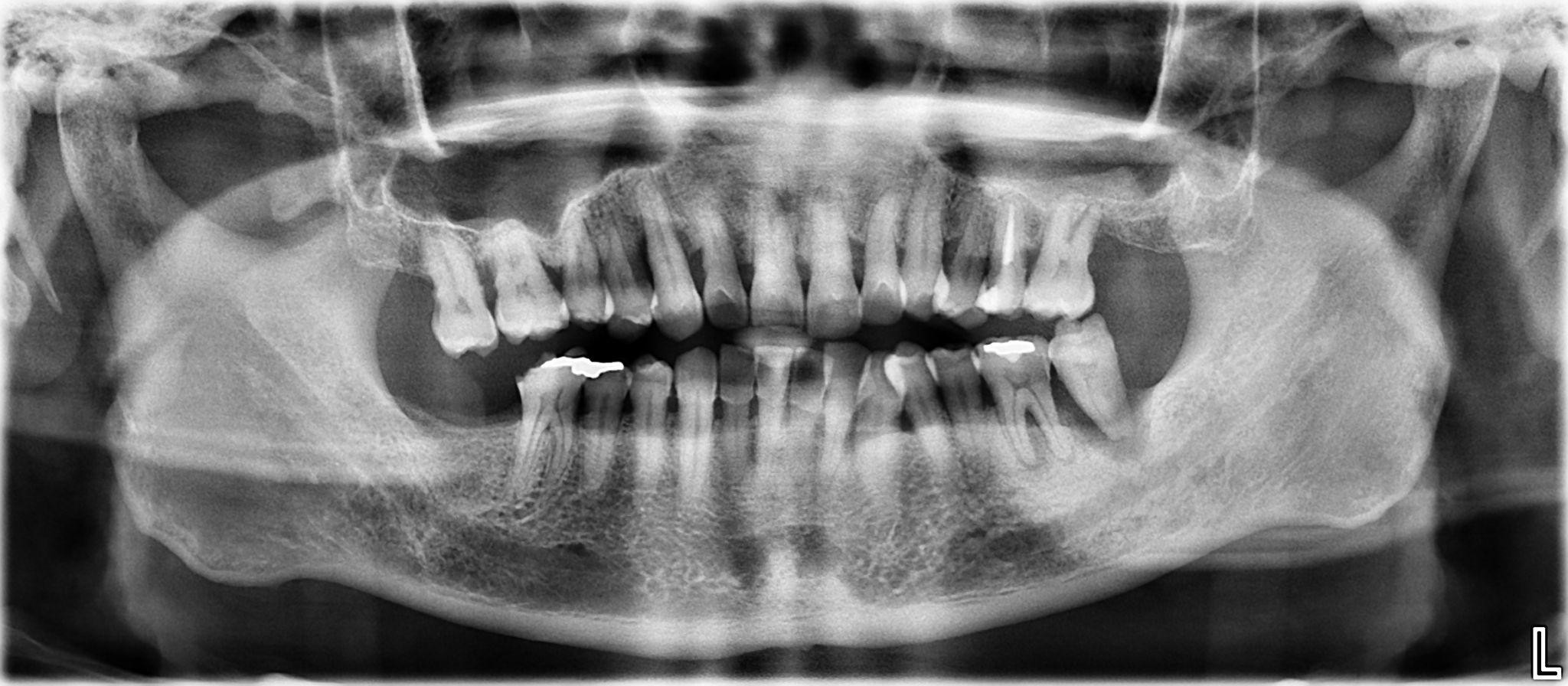
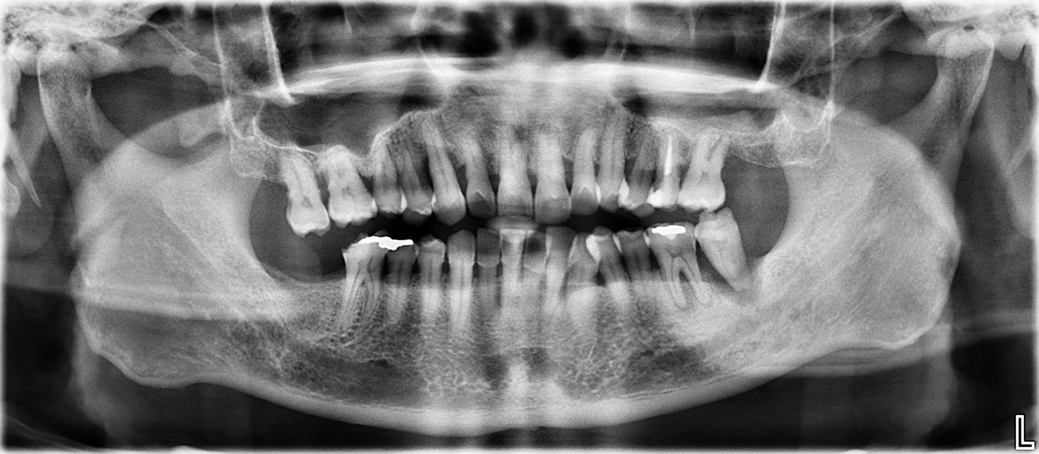
1. What options can be selected for the first quadrant of this panoramic X ray?

2 / 24

2. What options can be selected for the second quadrant of this panoramic X ray?

3 / 24

3. What options can be selected for the third quadrant of this panoramic X ray?

4 / 24

4. What options can be selected for the forth quadrant of this panoramic X ray?

5 / 24

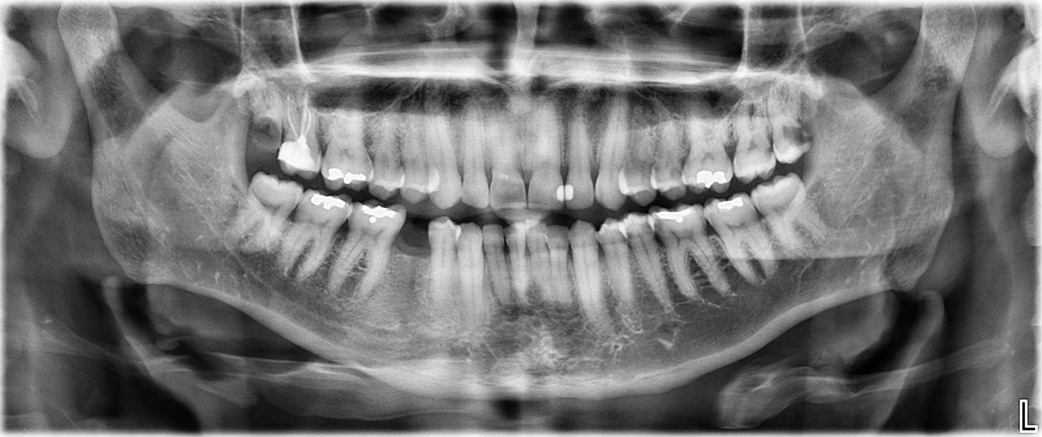
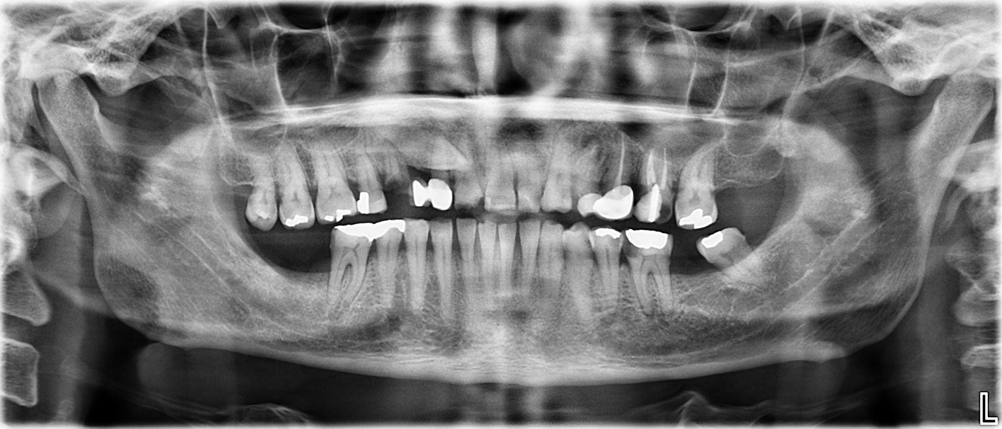
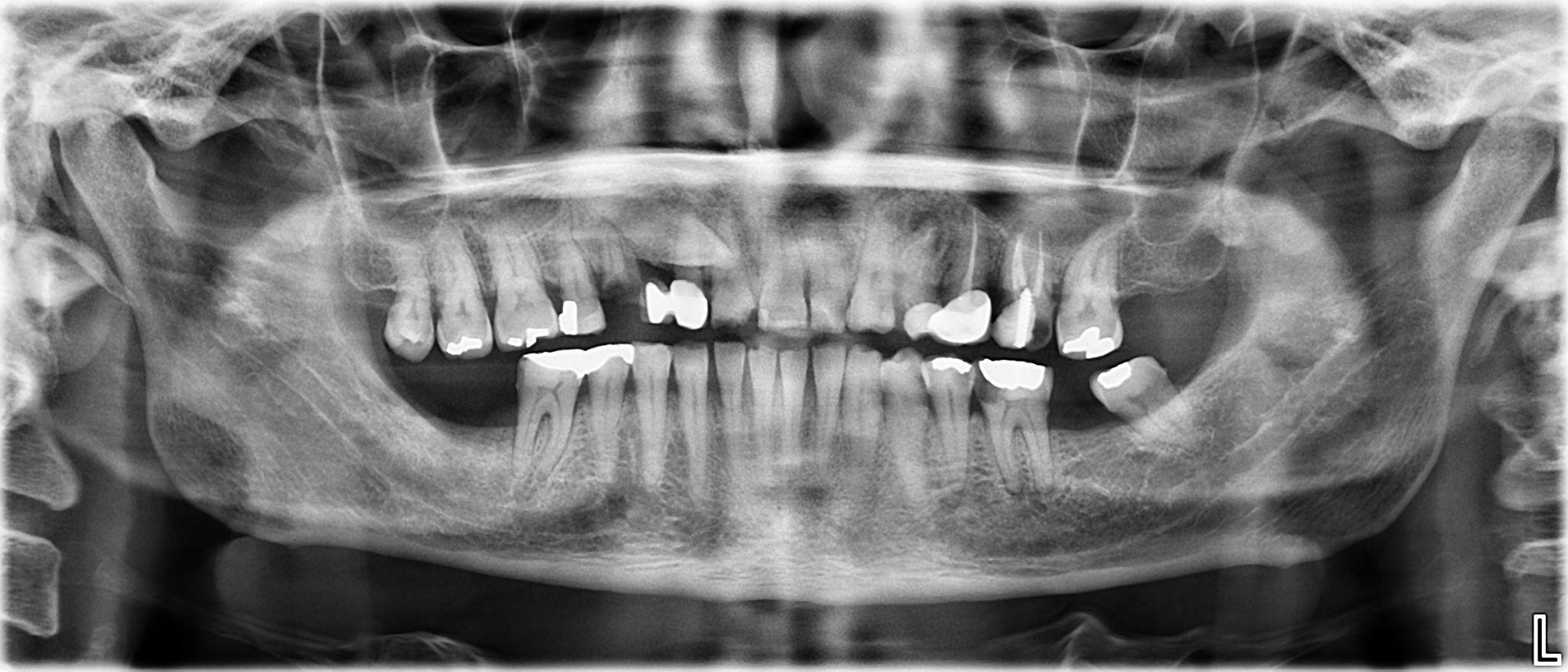
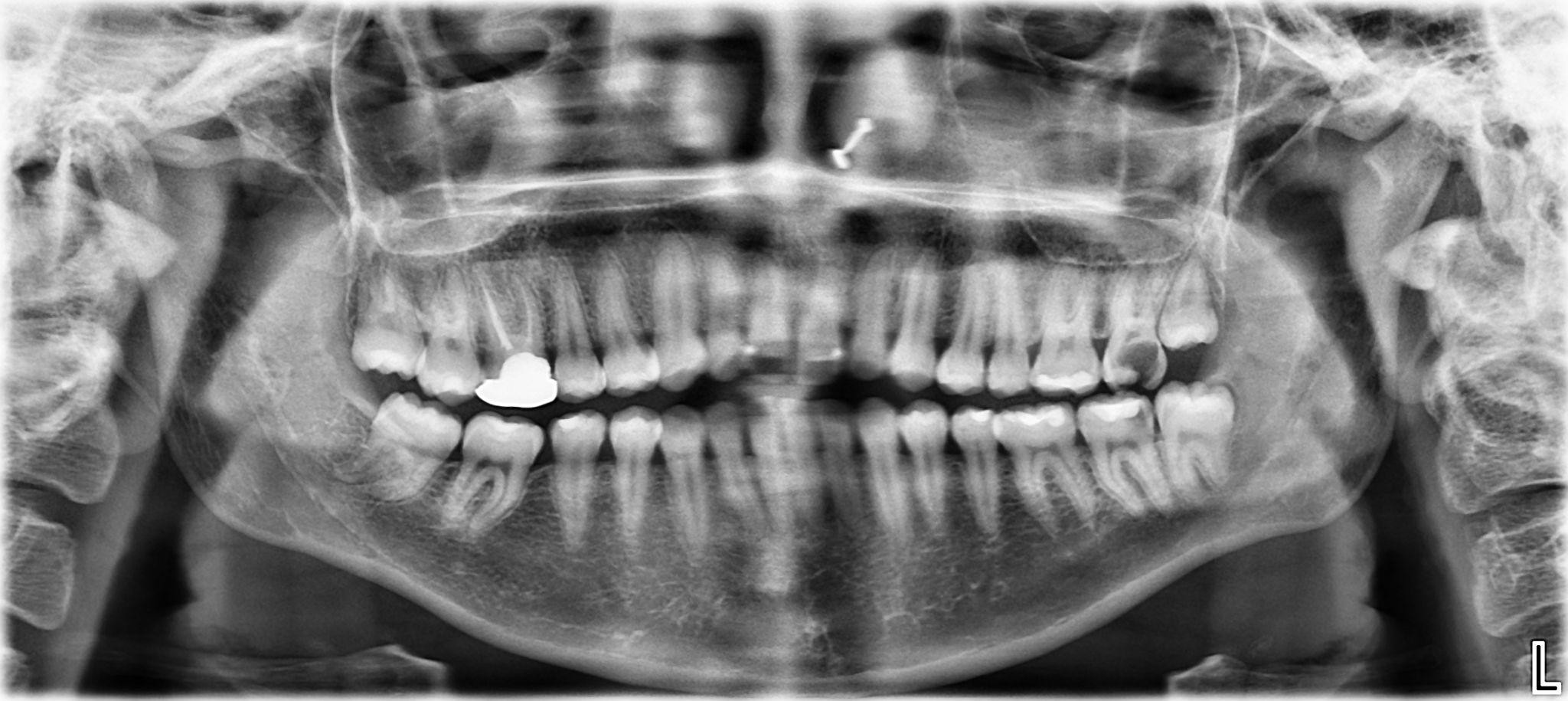
5. What options can be selected for the first quadrant of this panoramic X ray?

6 / 24

6. What options can be selected for the second quadrant of this panoramic X ray?

7 / 24

7. What options can be selected for the third quadrant of this panoramic X ray?

8 / 24

8. What options can be selected for the forth quadrant of this panoramic X ray?

9 / 24

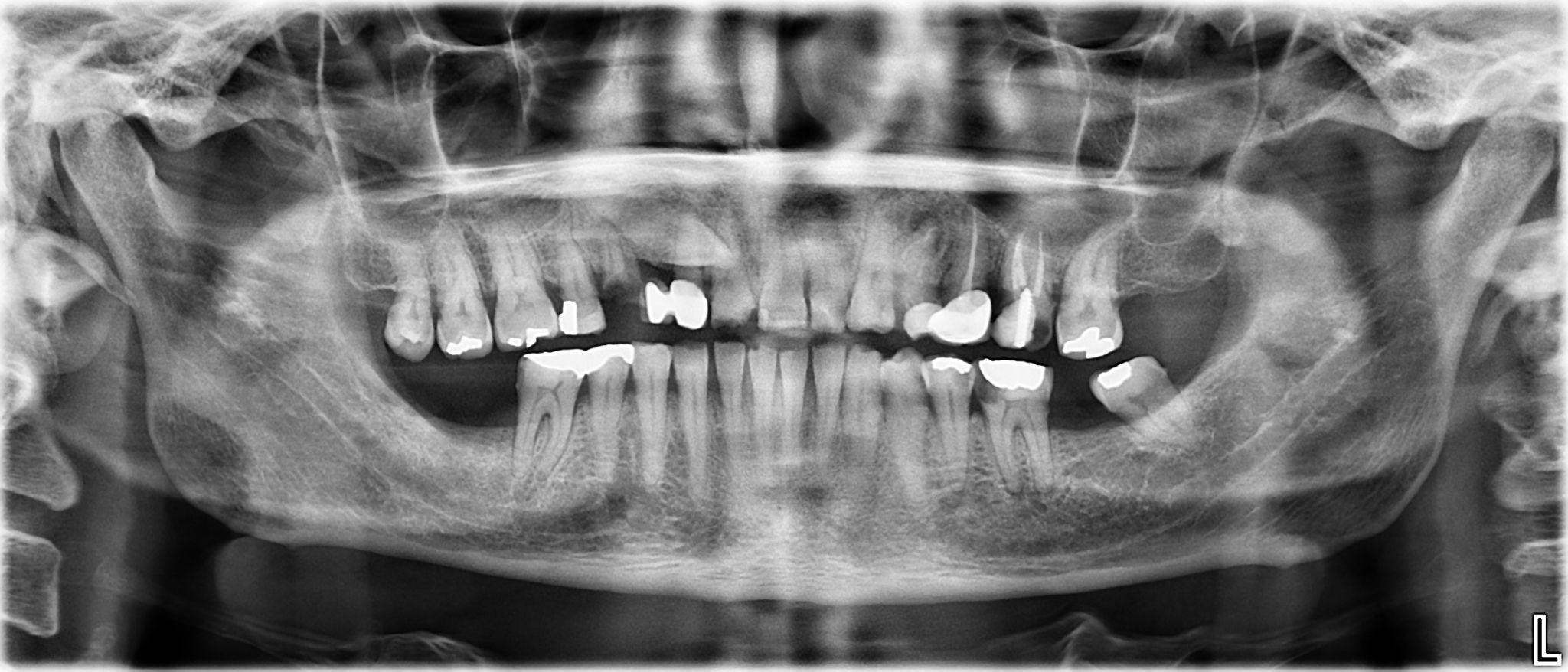
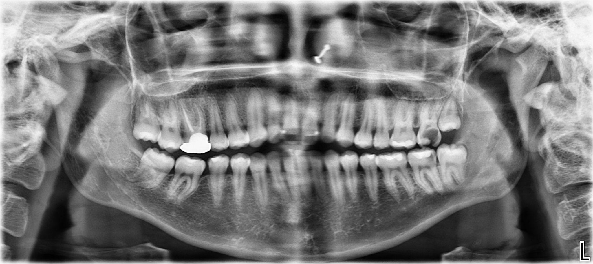
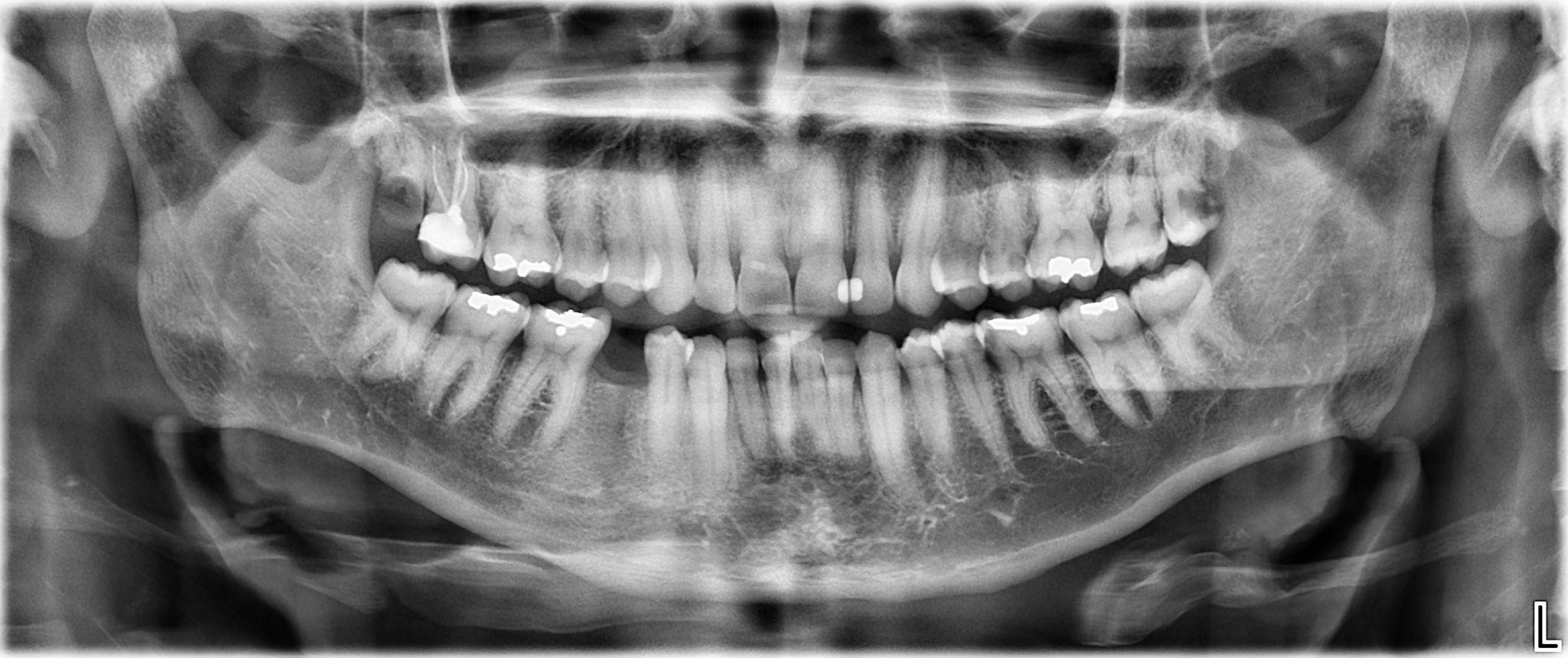
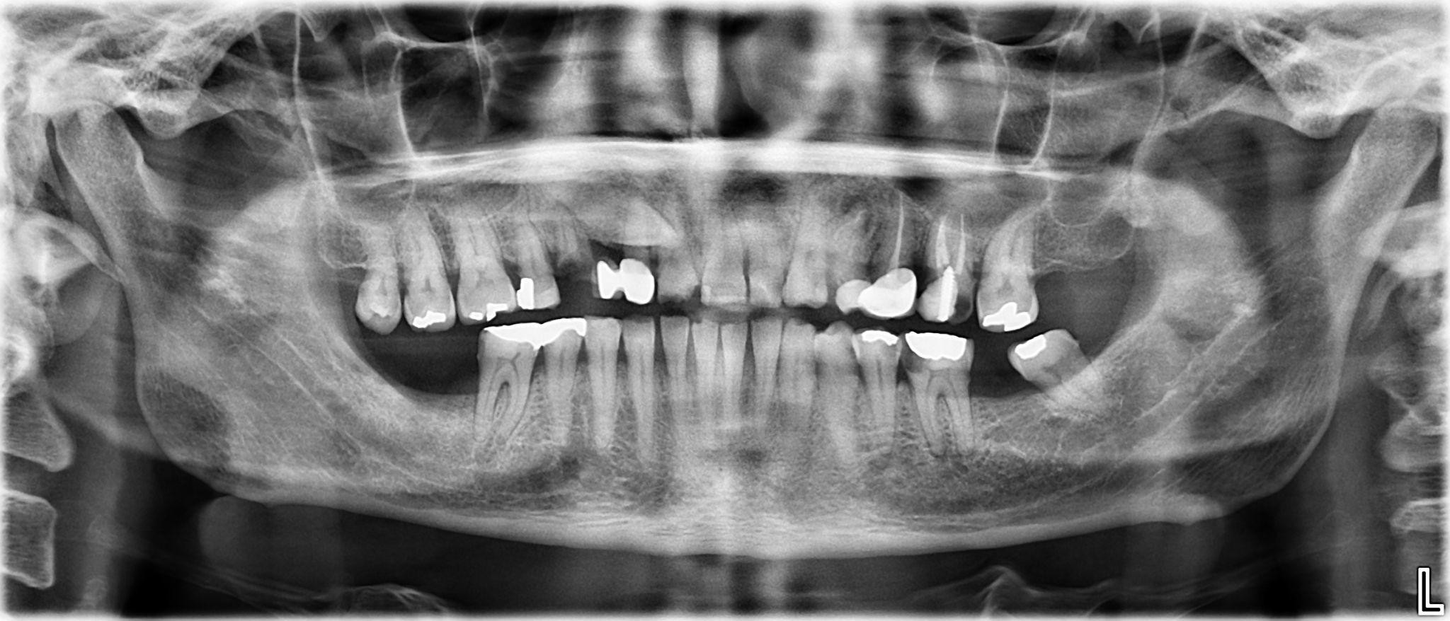
9. What options can be selected for the first quadrant of this panoramic X ray?

10 / 24

10. What options can be selected for the second quadrant of this panoramic X ray?

11 / 24

11. What options can be selected for the third quadrant of this panoramic X ray?

12 / 24

12. What options can be selected for the forth quadrant of this panoramic X ray?

13 / 24

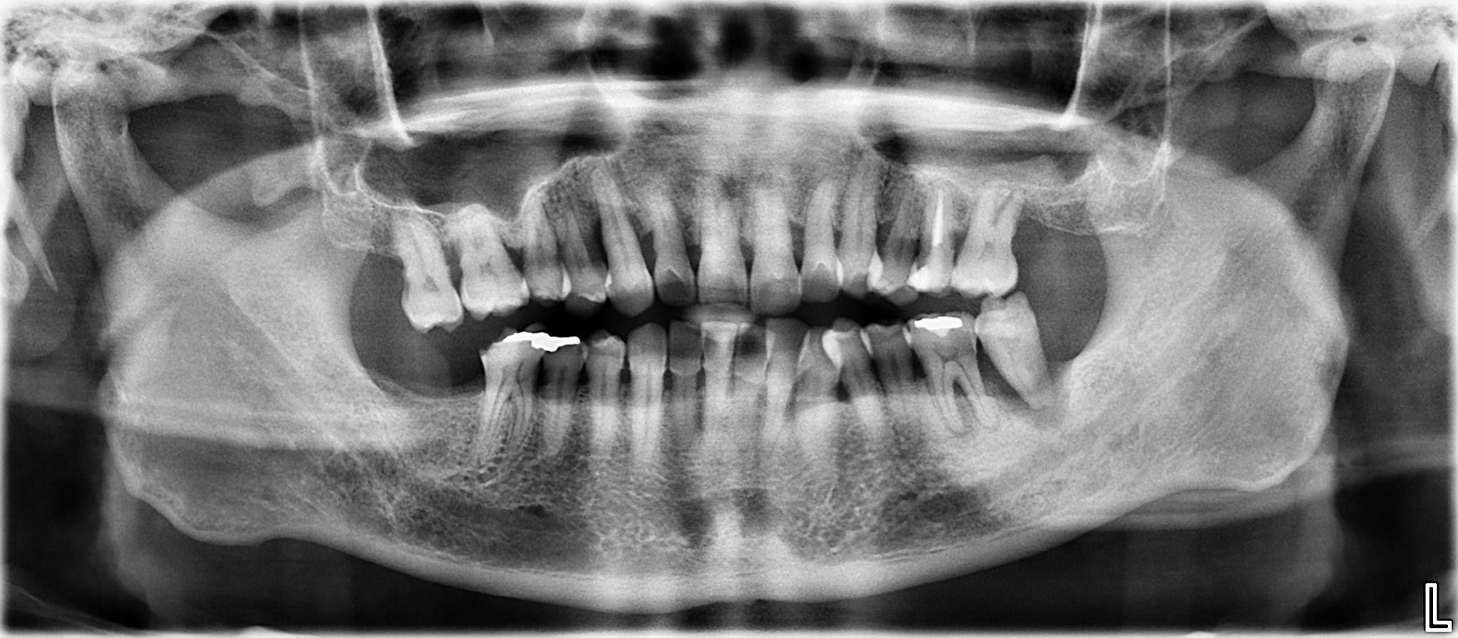
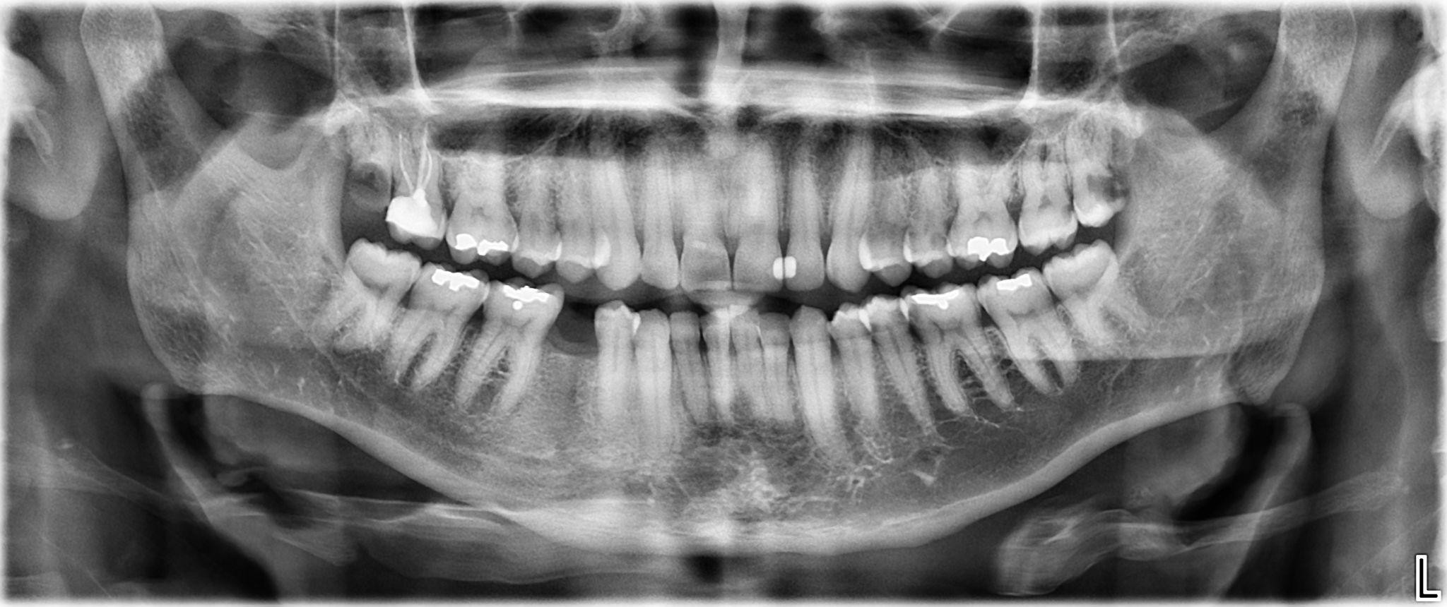
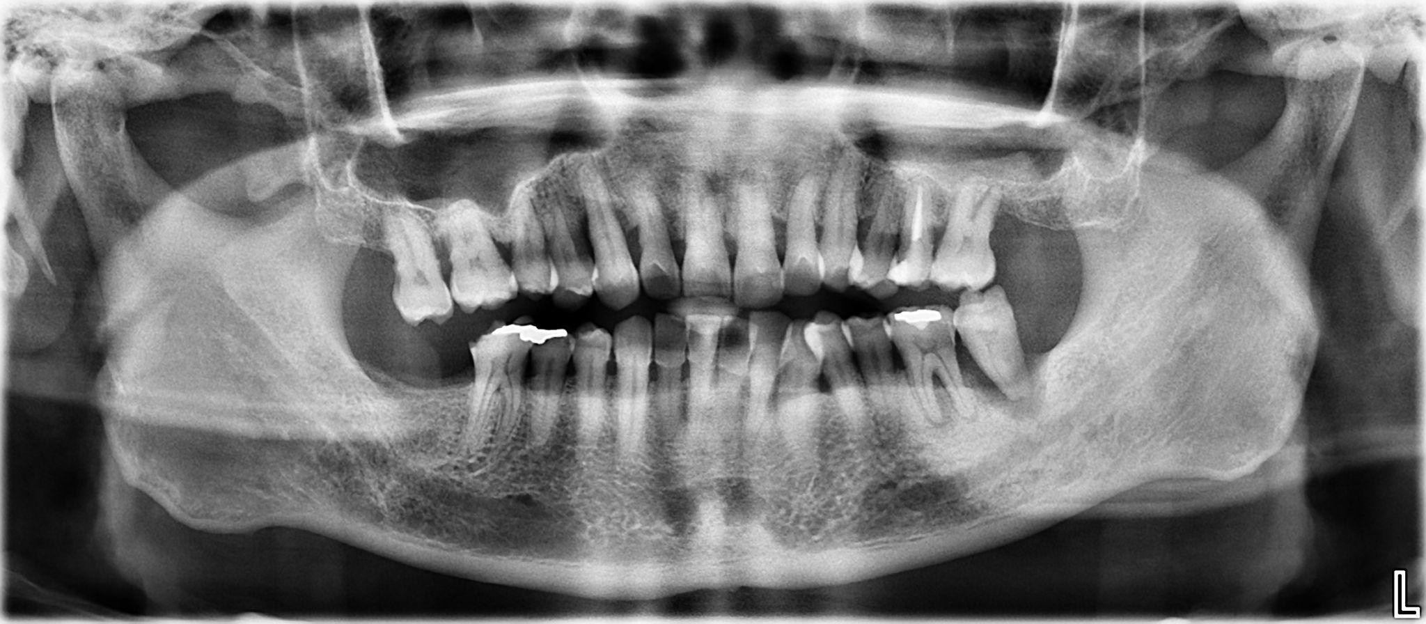
13. What options cannot be selected for the first quadrant of this panoramic X ray?

14 / 24

14. What options cannot be selected for the second quadrant of this panoramic X ray?

15 / 24

15. What options cannot be selected for the third quadrant of this panoramic X ray?

16 / 24

16. What options can be selected for the forth quadrant of this panoramic X ray?

17 / 24

17. What options can be selected for the first quadrant of this panoramic X ray?

18 / 24

18. What options can be selected for the second quadrant of this panoramic X ray?

19 / 24

19. What options can be selected for the third quadrant of this panoramic X ray?

20 / 24

20. What options cannot be selected for the forth quadrant of this panoramic X ray?

21 / 24

21. What options can be selected for the first quadrant of this panoramic X ray?

22 / 24

22. What options cannot be selected for the second quadrant of this panoramic X ray?

23 / 24

23. What options can be selected for the third quadrant of this panoramic X ray?

24 / 24

24. What options can be selected for the forth quadrant of this panoramic X ray?

Your score is

The average score is 100%

0%