ACJ Quiz - Endodontics

1 / 27

1.  (Select ONE OR MORE correct answers)

What observation(s) can be made for tooth 3.4?

2 / 27

2. (Select ONE OR MORE correct answers)

What observation(s) can be made for tooth 4.7?

3 / 27

3. (Select ONE OR MORE correct answers)

What observation(s) can be made for tooth 1.5?

4 / 27

4. (Select ONE OR MORE correct answers)

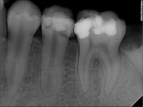
What observation(s) can be made for tooth 3.6?

5 / 27

5. (Select ONE OR MORE correct answers)

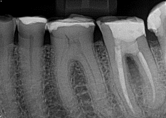
What observation(s) can be made for tooth 4.6?

6 / 27

6. (Select ONE OR MORE correct answers)

What observation(s) can be made for tooth 2.5?

7 / 27

7. (Select ONE OR MORE correct answers)

What observation(s) can be made for tooth 4.6?

8 / 27

8. (Select ONE OR MORE correct answers)

Which of the following describe(s) the endodontic treatment of tooth 3.6?

9 / 27

9. (Select ONE OR MORE correct answers)

Which of the following describe(s) the endodontic treatment of tooth 3.4?

10 / 27

10. (Select ONE OR MORE correct answers)

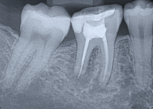
Which of the following describe(s) the endodontic treatment of tooth 1.6?

11 / 27

11. (Select ONE OR MORE correct answers)

Which of the following describe(s) the endodontic treatment of tooth 3.6?

12 / 27

12. (Select ONE OR MORE correct answers)

Which of the following describe(s) the endodontic treatment of tooth 3.6?

13 / 27

13. (Select ONE OR MORE correct answers)

Which of the following describe(s) the endodontic treatment of tooth 4.6?

14 / 27

14. (Select ONE OR MORE correct answers)

Which of the following describe(s) the endodontic treatment of tooth 4.4?

15 / 27

15. (Select ONE OR MORE correct answers)

Which of the following describe(s) the endodontic treatment of tooth 4.6?

16 / 27

16. (Select ONE OR MORE correct answers)

What observation(s) can be made for tooth 3.7?

17 / 27

17. (Select ONE OR MORE correct answers)

Which of the following describe(s) the endodontic treatment of tooth 3.6?

18 / 27

18. (Select ONE OR MORE correct answers)

Which of the following describe(s) the endodontic treatment of tooth 2.5?

19 / 27

19. (Select ONE OR MORE correct answers)

Which of the following describe(s) the endodontic treatment of tooth 1.5?

20 / 27

20. (Select ONE OR MORE correct answers.)

Which of the following may complicate the root canal treatment on tooth 3.6?

21 / 27

21. (Select ONE OR MORE correct answers.)

Which of the following may complicate the root canal treatment on tooth 2.6?

22 / 27

22. (Select ONE OR MORE correct answers.)

Which of the following may complicate the root canal treatment on tooth 2.2??

23 / 27

23. (Select ONE OR MORE correct answers.)

Which of the following may complicate the root canal treatment on tooth 2.1?

24 / 27

24. (Select ONE OR MORE correct answers.)

Which of the following may complicate the root canal treatment on tooth 3.5?

25 / 27

25. (Select ONE OR MORE correct answers.)

Which of the following may complicate the root canal treatment on tooth 1.2?

26 / 27

26. (Select ONE OR MORE correct answers)

Which of the following describe(s) the endodontic treatment of tooth 3.4?

27 / 27

27. (Select ONE OR MORE correct answers)

Which of the following describe(s) the endodontic treatment of tooth 2.4?

Your score is

The average score is 35%

0%