ACJ Quiz - Endo Perforation

1 / 20

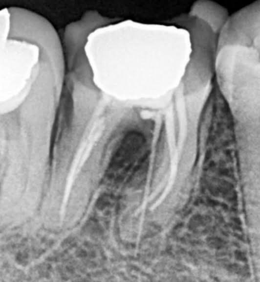
1. What Condition can be seen in this X ray regarding the tooth # 1.1.?

2 / 20

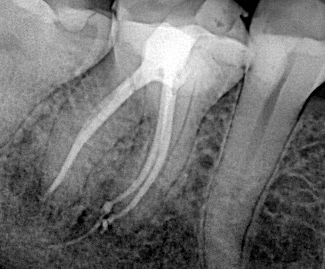
2. What Condition can be seen in this X ray regarding the tooth # 4.4.?

3 / 20

3. What Condition can be seen in this X ray regarding the tooth # 2.2?

4 / 20

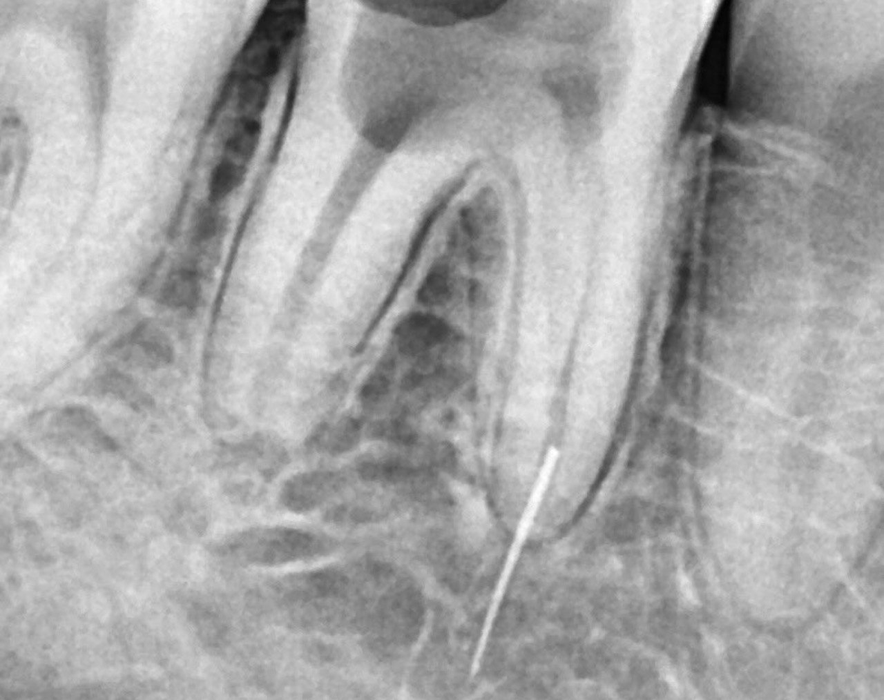
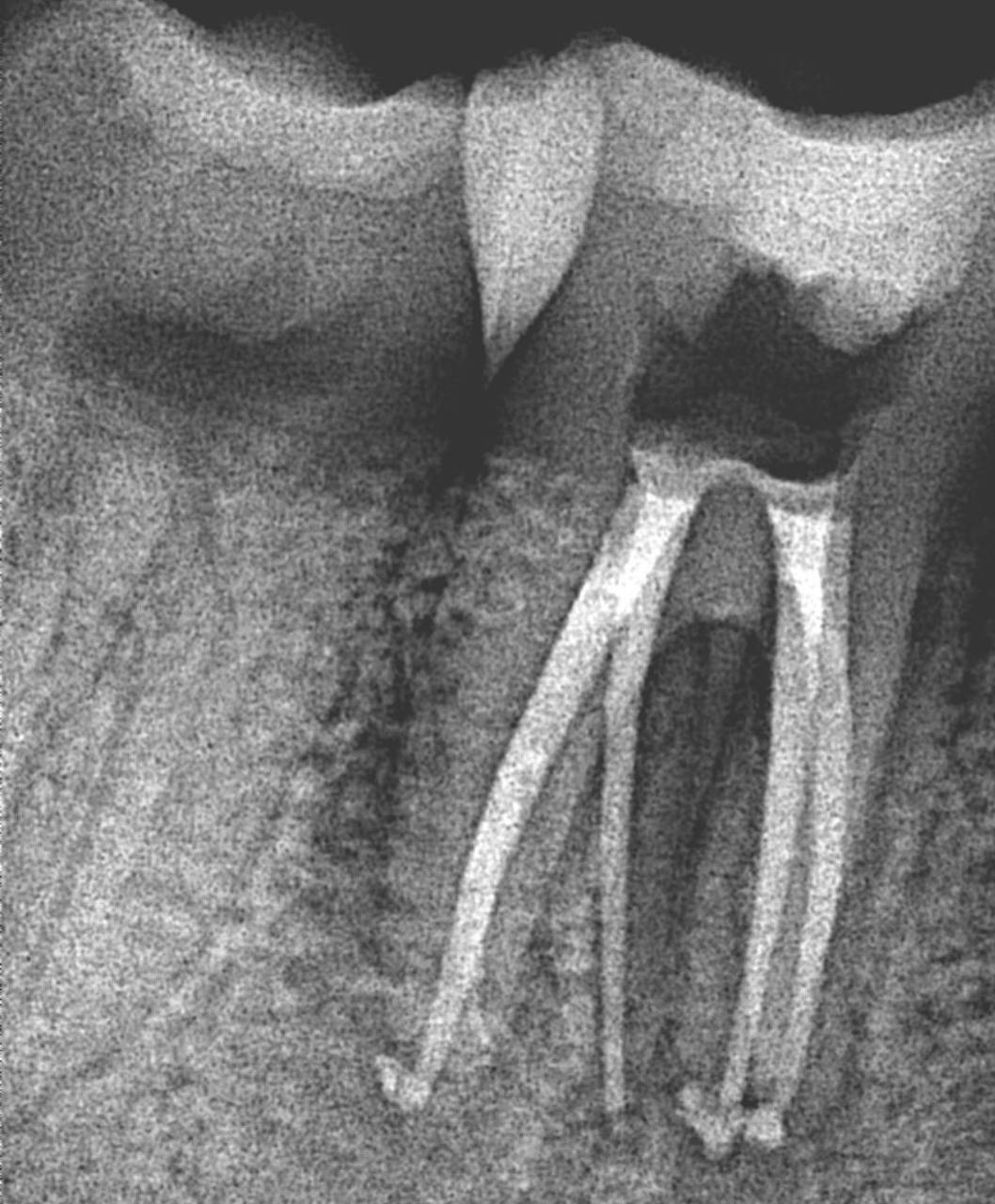
4. What type of perforation is being treated by an endodontist in this X ray?

5 / 20

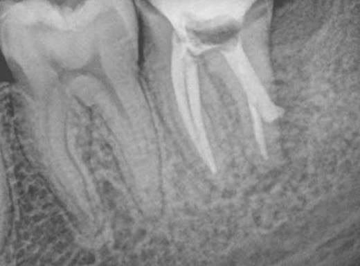
5. What Condition can be seen in this X ray regarding the tooth # 4.6?

6 / 20

6.What Condition can be seen in this X ray regarding the tooth # 4.6?

7 / 20

7. What Condition can be seen in this X ray regarding the tooth # 3.7?

8 / 20

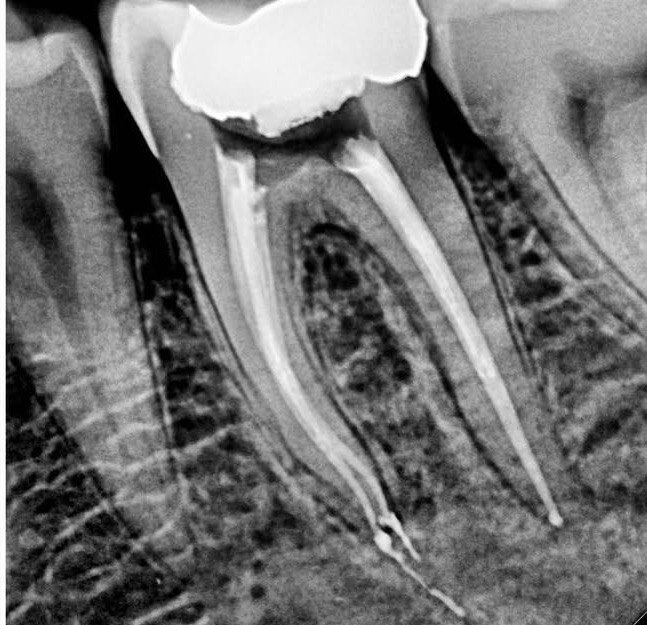
8. What Condition can be seen in this X ray regarding the tooth # 4.6?

9 / 20

9. What Condition can be seen in this X ray regarding the tooth # 3.6?

10 / 20

10. What Condition can be seen in this X ray regarding the tooth # 4.6?

11 / 20

11. What Condition can be seen in this X ray regarding the tooth # 3.6?

12 / 20

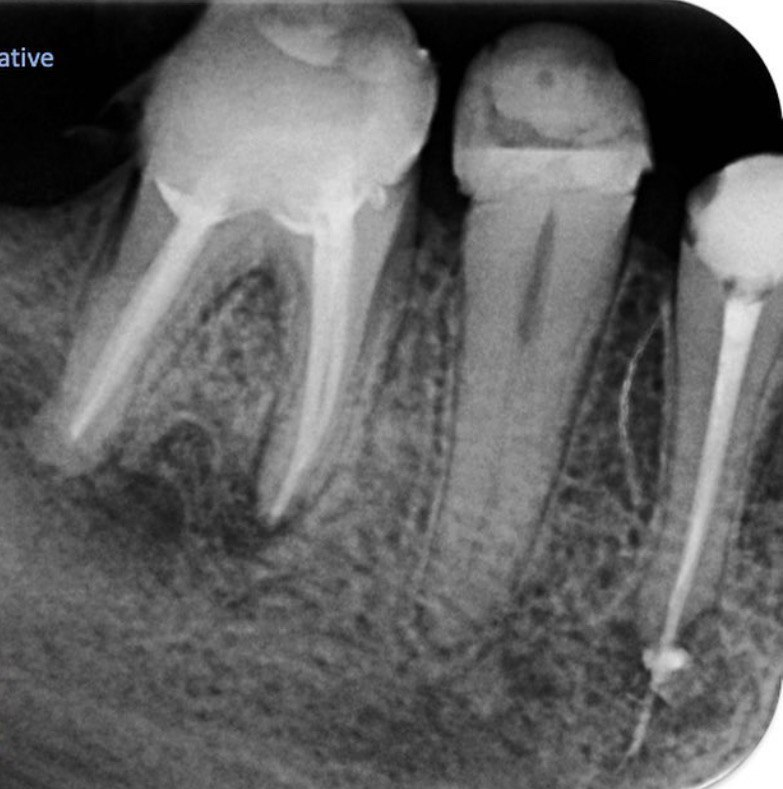
12. What Condition can be seen in this X ray regarding the tooth # 4.7?

13 / 20

13. What Condition can be seen in this X ray regarding the tooth # 4.6?

14 / 20

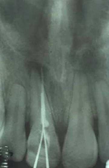
14. What Condition can be seen in this X ray regarding the tooth # 2.2?

15 / 20

15. What Condition can be seen in this X ray regarding the tooth # 4.6?

16 / 20

16. What Condition can be seen in this X ray regarding the tooth # 1.6?

17 / 20

17. What Condition can be seen in this X ray regarding the tooth # 3.1?

18 / 20

18. What Condition can be seen in this X ray regarding the tooth # 3.6?

19 / 20

19. What Condition can be seen in this X ray regarding the tooth # 4.6?

20 / 20

20. What Condition can be seen in this X ray regarding the tooth # 4.6?

Your score is

The average score is 84%

0%