ACJ Quiz - Dental Implants 01

1 / 20

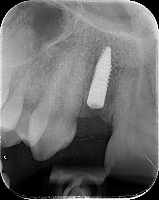
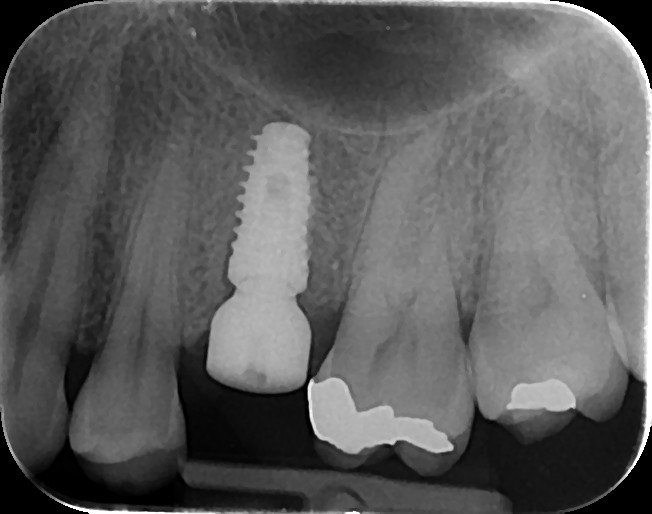
1. What option can be selected regarding the implant seen in this X ray?

2 / 20

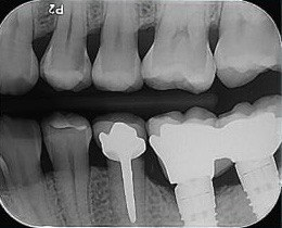
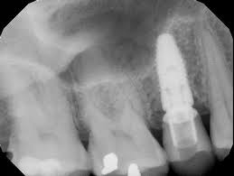
2. What option can be selected regarding the implant seen in this X ray?

3 / 20

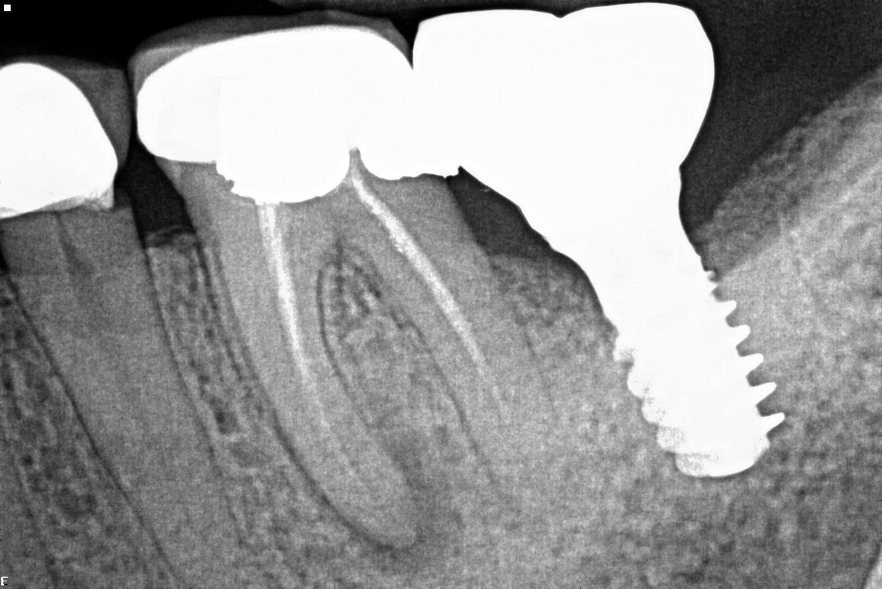
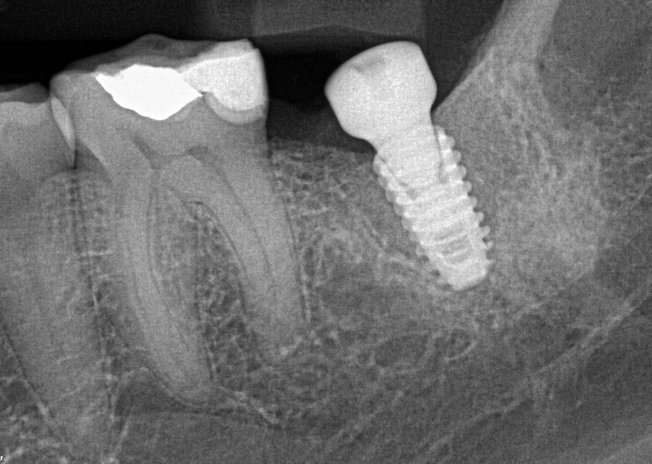
3. What option can be selected regarding the implant seen in this X ray?

4 / 20

4. What option can be selected regarding the implant seen in this X ray?

5 / 20

5. What option can be selected regarding the implant seen in this X ray?

6 / 20

6. What option can be selected regarding the implant seen in this X ray?

7 / 20

7. What option can be selected regarding the implant seen in this X ray?

8 / 20

8. What option can be selected regarding the implant seen in this X ray?

9 / 20

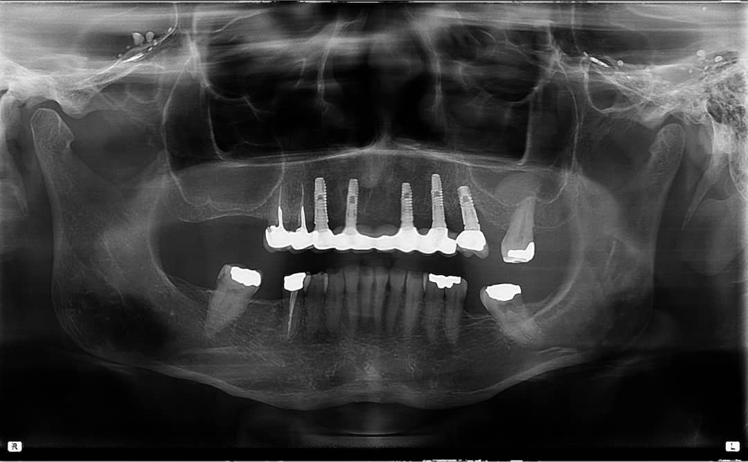
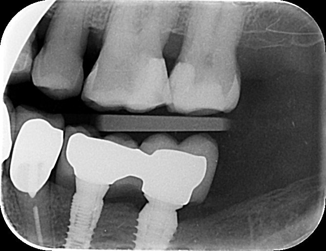
9. What option can be selected regarding the implants seen in this X ray?

10 / 20

10. What option can be selected regarding the implant seen in this X ray?

11 / 20

11. What option can be selected regarding the implant seen in this X ray?

12 / 20

12. What option can be selected regarding the implants seen in this X ray?

13 / 20

13. What option can be selected regarding the implants seen in this X ray?

14 / 20

14. What option can be selected regarding the implants seen in this X ray?

15 / 20

15. What option can be selected regarding the implants seen in this X ray?

16 / 20

16. What option can be selected regarding the implants seen in this X ray?

17 / 20

17. What option can be selected regarding the implants seen in this X ray?

18 / 20

18. What option can be selected regarding the implants seen in this X ray?

19 / 20

19. What option can be selected regarding the implants seen in this X ray?

20 / 20

20.What option can be selected regarding the implants seen in this X ray?

Your score is

The average score is 70%

0%