Normal Anatomy Landmarks 3 Normal Anatomy Landmarks 3 1 / 19 83. what does arrow show? Hamular process Hamular notch Maxillary tubersity None of the above Hamular notch ⸻ • Shape: Narrow, curved radiolucent depression. • Location: Just behind the last maxillary molar (maxillary tuberosity), extending toward the pterygoid plates. • Medially: Ends at or near the hamulus, which appears as a small, pointed radiopaque structure. Hamular notch ⸻ • Shape: Narrow, curved radiolucent depression. • Location: Just behind the last maxillary molar (maxillary tuberosity), extending toward the pterygoid plates. • Medially: Ends at or near the hamulus, which appears as a small, pointed radiopaque structure. 2 / 19 84. What is the anatomical structure indicated by arrow in this radiograph? A.Maxillary sinus B.Periapical lesion C.lateral fossa D.Maxillary sinus septa Maxillary Sinus The borders of the maxillary sinus appear on periapical radiographs as a thin, delicate, tenuous radiopaque line. In adults the sinuses usually extend from the distal aspect of the canine to the posterior wall of the maxilla above the tuberosity. In older adults the sinus may extend farther into the alveolar process, and in the posterior region of the maxilla its floor may appear considerably below the level of the floor of the nasal cavity. Anteriorly each sinus is restricted by the canine fossa and is usually seen to sweep superiorly, crossing the level of the floor of the nasal cavity in the premolar or canine region. Consequently, on periapical radiographs of Maxillary Sinus The borders of the maxillary sinus appear on periapical radiographs as a thin, delicate, tenuous radiopaque line. In adults the sinuses usually extend from the distal aspect of the canine to the posterior wall of the maxilla above the tuberosity. In older adults the sinus may extend farther into the alveolar process, and in the posterior region of the maxilla its floor may appear considerably below the level of the floor of the nasal cavity. Anteriorly each sinus is restricted by the canine fossa and is usually seen to sweep superiorly, crossing the level of the floor of the nasal cavity in the premolar or canine region. Consequently, on periapical radiographs of 3 / 19 85. What is showing by arrow? Lingual foramen Incisive foramen Mental spine Periapical lesion Genial Tubercles (Mental Spine) bony protuberances located on the lingual surface of the mandible slightly above the inferior border and in the midline. serve to attach the genioglossus muscles (at the superior tubercles) and the geniohyoid muscles (at the inferior tubercles) to the mandible. Usually well visualized on mandibular occlusal radiographs as one or more small projections. Genial Tubercles (Mental Spine) bony protuberances located on the lingual surface of the mandible slightly above the inferior border and in the midline. serve to attach the genioglossus muscles (at the superior tubercles) and the geniohyoid muscles (at the inferior tubercles) to the mandible. Usually well visualized on mandibular occlusal radiographs as one or more small projections. 4 / 19 86. What is showing by arrow? Lower lip line Mental ridge Cortical plate of mandible Mental fossa Mental Ridge (protuberance) On periapical radiographs of the mandibular central incisors, the mental ridge may occasionally be seen as two radiopaque lines sweeping bilaterally forward and upward toward the midline. Mental Ridge (protuberance) On periapical radiographs of the mandibular central incisors, the mental ridge may occasionally be seen as two radiopaque lines sweeping bilaterally forward and upward toward the midline. 5 / 19 87. What is showing by arrow? Inferior border of mandible Nutrient canal Fracture line None of the above The inferior border of the mandible, also known as the base, is the lower edge of the lower jaw bone (mandible). It's a prominent, curved structure that runs along the bottom of the mandible. The inferior border of the mandible, also known as the base, is the lower edge of the lower jaw bone (mandible). It's a prominent, curved structure that runs along the bottom of the mandible. 6 / 19 88. what does the circle show? Periapical cyst RO Mental fossa Lowerborder of mandible Mental fossa a depression on the labial aspect of the mandible extending laterally from the midline and above the mental ridge. Mental fossa a depression on the labial aspect of the mandible extending laterally from the midline and above the mental ridge. 7 / 19 89. what does arrow show? Periapical cyst RO Mental fossa Lowerborder of mandible Mental fossa a depression on the labial aspect of the mandible extending laterally from the midline and above the mental ridge. Mental fossa a depression on the labial aspect of the mandible extending laterally from the midline and above the mental ridge. 8 / 19 90. What is showing by arrow? Lower lip line Mental ridge Cortical plate of mandible Mental fossa Mental Ridge (protuberance) On periapical radiographs of the mandibular central incisors, the mental ridge may occasionally be seen as two radiopaque lines sweeping bilaterally forward and upward toward the midline. Mental Ridge (protuberance) On periapical radiographs of the mandibular central incisors, the mental ridge may occasionally be seen as two radiopaque lines sweeping bilaterally forward and upward toward the midline. 9 / 19 91. what does arrow show? Mental foramen Periapical pathology Lingual foramen Mental spine Mental Foramen the anterior limit of the inferior dental canal that is apparent on periapical radiographs. seen about halfway between the lower border of the mandible and the crest of the alveolar process, usually in the region of the apex of the second premolar. (may be projected anywhere from just mesial of the permanent first molar roots to as far anterior as mesial of the first premolar root) When the mental foramen is projected over one of the premolar apices, it may mimic periapical disease . Mental Foramen the anterior limit of the inferior dental canal that is apparent on periapical radiographs. seen about halfway between the lower border of the mandible and the crest of the alveolar process, usually in the region of the apex of the second premolar. (may be projected anywhere from just mesial of the permanent first molar roots to as far anterior as mesial of the first premolar root) When the mental foramen is projected over one of the premolar apices, it may mimic periapical disease . 10 / 19 92. what does arrow show? Mental foramen Periapical pathology Lingual foramen Mental spine Mental Foramen the anterior limit of the inferior dental canal that is apparent on periapical radiographs. seen about halfway between the lower border of the mandible and the crest of the alveolar process, usually in the region of the apex of the second premolar. (may be projected anywhere from just mesial of the permanent first molar roots to as far anterior as mesial of the first premolar root) When the mental foramen is projected over one of the premolar apices, it may mimic periapical disease . Mental Foramen the anterior limit of the inferior dental canal that is apparent on periapical radiographs. seen about halfway between the lower border of the mandible and the crest of the alveolar process, usually in the region of the apex of the second premolar. (may be projected anywhere from just mesial of the permanent first molar roots to as far anterior as mesial of the first premolar root) When the mental foramen is projected over one of the premolar apices, it may mimic periapical disease . 11 / 19 93. what does arrow show? Periapical pathology Mental foramen Lingual foramen Mental spine Mental Foramen the anterior limit of the inferior dental canal that is apparent on periapical radiographs. seen about halfway between the lower border of the mandible and the crest of the alveolar process, usually in the region of the apex of the second premolar. (may be projected anywhere from just mesial of the permanent first molar roots to as far anterior as mesial of the first premolar root) When the mental foramen is projected over one of the premolar apices, it may mimic periapical disease . Mental Foramen the anterior limit of the inferior dental canal that is apparent on periapical radiographs. seen about halfway between the lower border of the mandible and the crest of the alveolar process, usually in the region of the apex of the second premolar. (may be projected anywhere from just mesial of the permanent first molar roots to as far anterior as mesial of the first premolar root) When the mental foramen is projected over one of the premolar apices, it may mimic periapical disease . 12 / 19 94. what does arrow show? Periapical lesion Stafne bone cyst Submandibular fossa None of the above Submandibular Gland Fossa a bone depression on the lingual surface of the mandibular body, immediately below the mylohyoid ridge in the molar area. often appears as a radiolucent area with the sparse trabecular pattern Submandibular Gland Fossa a bone depression on the lingual surface of the mandibular body, immediately below the mylohyoid ridge in the molar area. often appears as a radiolucent area with the sparse trabecular pattern 13 / 19 95. What is showing by red arrow? Internal oblique ridge External oblique ridge Submandibular fossa None of the above External Oblique Ridge a continuation of the anterior border of the mandibular ramus. It follows an anteroinferior course lateral to the alveolar process. External Oblique Ridge a continuation of the anterior border of the mandibular ramus. It follows an anteroinferior course lateral to the alveolar process. 14 / 19 96. what does arrow show? Internal oblique ridge External oblique ridge Submandibular fossa None of the above External Oblique Ridge a continuation of the anterior border of the mandibular ramus. It follows an anteroinferior course lateral to the alveolar process. External Oblique Ridge a continuation of the anterior border of the mandibular ramus. It follows an anteroinferior course lateral to the alveolar process. 15 / 19 97. What is showing by arrow? Fracture line Root fracture Nutrient canal Periapical lesion Nutrient Canals: carry a neurovascular bundle and appear as radiolucent lines of uniform width. most often seen on mandibular periapical radiographs running vertically from the inferior dental canal directly to the apex of a tooth or into the interdental space between the mandibular incisors. may appear as a small round radiolucency if they are oriented perpendicular to the cortex. Nutrient Canals: carry a neurovascular bundle and appear as radiolucent lines of uniform width. most often seen on mandibular periapical radiographs running vertically from the inferior dental canal directly to the apex of a tooth or into the interdental space between the mandibular incisors. may appear as a small round radiolucency if they are oriented perpendicular to the cortex. 16 / 19 98. what does arrow show? Hamular process Lower border of mandible Mandibular canal Submandibular fossa Inferior Alveolar Canal appears as a dark linear shadow with thin radiopaque superior and inferior borders cast by the lamella of bone that bounds the canal. Inferior Alveolar Canal appears as a dark linear shadow with thin radiopaque superior and inferior borders cast by the lamella of bone that bounds the canal. 17 / 19 99. what does arrow show? Periapical lesion Stafne bone cyst Submandibular fossa None of the above Submandibular Gland Fossa a bone depression on the lingual surface of the mandibular body, immediately below the mylohyoid ridge in the molar area. often appears as a radiolucent area with the sparse trabecular pattern Submandibular Gland Fossa a bone depression on the lingual surface of the mandibular body, immediately below the mylohyoid ridge in the molar area. often appears as a radiolucent area with the sparse trabecular pattern 18 / 19 100. what does arrow show? Periapical lesion Stafne bone cyst Submandibular fossa None of the above Submandibular Gland Fossa a bone depression on the lingual surface of the mandibular body, immediately below the mylohyoid ridge in the molar area. often appears as a radiolucent area with the sparse trabecular pattern Submandibular Gland Fossa a bone depression on the lingual surface of the mandibular body, immediately below the mylohyoid ridge in the molar area. often appears as a radiolucent area with the sparse trabecular pattern 19 / 19 101. what does arrow show? Maxillary tubersity Zygomatic process of maxilla Coronoid process Zygomatic arch Coronoid Process - frequently apparent on periapical radiographs of the maxillary molar region as a triangular radiopacity, with its apex directed superiorly and somewhat anteriorly, superimposed on the region of the third molar. Coronoid Process - frequently apparent on periapical radiographs of the maxillary molar region as a triangular radiopacity, with its apex directed superiorly and somewhat anteriorly, superimposed on the region of the third molar. Your score isThe average score is 93% 0% Restart quiz
Normal Anatomy Landmarks 3
1 / 19
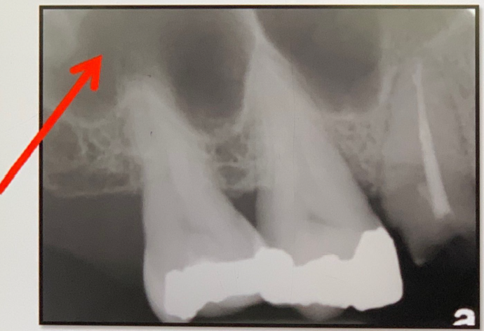
83. what does arrow show?
Hamular notch
⸻
• Shape: Narrow, curved radiolucent depression. • Location: Just behind the last maxillary molar (maxillary tuberosity), extending toward the pterygoid plates. • Medially: Ends at or near the hamulus, which appears as a small, pointed radiopaque structure.
2 / 19
84. What is the anatomical structure indicated by arrow in this radiograph?
Maxillary Sinus The borders of the maxillary sinus appear on periapical radiographs as a thin, delicate, tenuous radiopaque line. In adults the sinuses usually extend from the distal aspect of the canine to the posterior wall of the maxilla above the tuberosity. In older adults the sinus may extend farther into the alveolar process, and in the posterior region of the maxilla its floor may appear considerably below the level of the floor of the nasal cavity. Anteriorly each sinus is restricted by the canine fossa and is usually seen to sweep superiorly, crossing the level of the floor of the nasal cavity in the premolar or canine region. Consequently, on periapical radiographs of
3 / 19
85. What is showing by arrow?
Genial Tubercles (Mental Spine) bony protuberances located on the lingual surface of the mandible slightly above the inferior border and in the midline. serve to attach the genioglossus muscles (at the superior tubercles) and the geniohyoid muscles (at the inferior tubercles) to the mandible. Usually well visualized on mandibular occlusal radiographs as one or more small projections.
4 / 19
86. What is showing by arrow?
Mental Ridge (protuberance) On periapical radiographs of the mandibular central incisors, the mental ridge may occasionally be seen as two radiopaque lines sweeping bilaterally forward and upward toward the midline.
5 / 19
87. What is showing by arrow?
The inferior border of the mandible, also known as the base, is the lower edge of the lower jaw bone (mandible). It's a prominent, curved structure that runs along the bottom of the mandible.
6 / 19
88. what does the circle show?
Mental fossa a depression on the labial aspect of the mandible extending laterally from the midline and above the mental ridge.
7 / 19
89. what does arrow show?
8 / 19
90. What is showing by arrow?
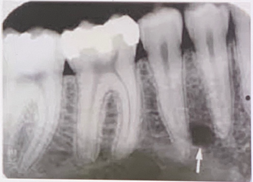
9 / 19
91. what does arrow show?
Mental Foramen the anterior limit of the inferior dental canal that is apparent on periapical radiographs. seen about halfway between the lower border of the mandible and the crest of the alveolar process, usually in the region of the apex of the second premolar. (may be projected anywhere from just mesial of the permanent first molar roots to as far anterior as mesial of the first premolar root) When the mental foramen is projected over one of the premolar apices, it may mimic periapical disease .
10 / 19
92. what does arrow show?
11 / 19
93. what does arrow show?
12 / 19
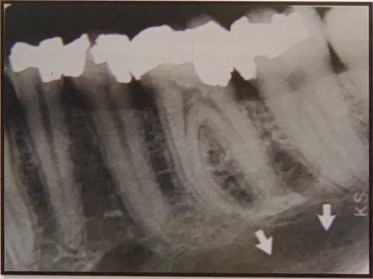
94. what does arrow show?
Submandibular Gland Fossa a bone depression on the lingual surface of the mandibular body, immediately below the mylohyoid ridge in the molar area. often appears as a radiolucent area with the sparse trabecular pattern
13 / 19
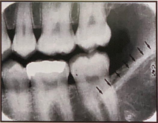
95. What is showing by red arrow?
External Oblique Ridge a continuation of the anterior border of the mandibular ramus. It follows an anteroinferior course lateral to the alveolar process.
14 / 19
96. what does arrow show?
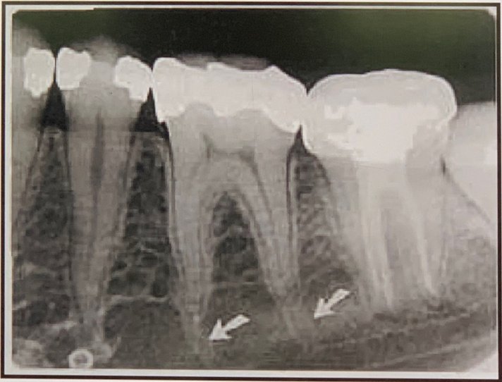
15 / 19
97. What is showing by arrow?
Nutrient Canals: carry a neurovascular bundle and appear as radiolucent lines of uniform width. most often seen on mandibular periapical radiographs running vertically from the inferior dental canal directly to the apex of a tooth or into the interdental space between the mandibular incisors. may appear as a small round radiolucency if they are oriented perpendicular to the cortex.
16 / 19
98. what does arrow show?
Inferior Alveolar Canal appears as a dark linear shadow with thin radiopaque superior and inferior borders cast by the lamella of bone that bounds the canal.
17 / 19
99. what does arrow show?
18 / 19
100. what does arrow show?
19 / 19
101. what does arrow show?
Coronoid Process - frequently apparent on periapical radiographs of the maxillary molar region as a triangular radiopacity, with its apex directed superiorly and somewhat anteriorly, superimposed on the region of the third molar.
Your score is
The average score is 93%
Restart quiz