ACJ Quiz - Trauma X ray 01

1 / 25

1. What condition can be detected in the print of the X ray?

2 / 25

2. What condition can be detected in the print of the X ray?

3 / 25

3. What condition can be detected in the print of the X ray?

4 / 25

4. What condition can be detected in the print of the X ray?

5 / 25

5. What condition can be detected in the print of the X ray?

6 / 25

6. What condition can be detected in the print of the X ray?

7 / 25

7. What condition can be detected in the print of the X ray?

8 / 25

8. What condition can be detected in the print of the X ray?

9 / 25

9. What condition can be detected in the print of the X ray?

10 / 25

10. What condition can be detected in the print of the X ray?

11 / 25

11. What condition can be detected in the print of the X ray?

12 / 25

12. What condition can be detected in the print of the X ray?

13 / 25

13. What condition can be detected in the print of the X ray?

14 / 25

14. What condition can be detected in the print of the X ray?

15 / 25

15.  What condition can be detected in the print of the X ray?

16 / 25

16. What condition can be detected in the print of the X ray?

17 / 25

18. What condition can be detected in the print of the X ray?

18 / 25

19. What condition can be detected in the print of the X ray?

19 / 25

20. What condition can be detected in the print of the X ray?

20 / 25

21. What condition can be detected in the print of the X ray?

21 / 25

22. What condition can be detected in the print of the X ray?

22 / 25

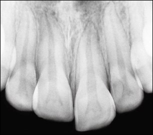
23. What condition can be detected in the print of the X ray about tooth # 2.1?

23 / 25

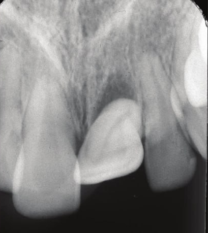
24. What condition can be detected in the print of the X ray abot the tooth # 2.1?

24 / 25

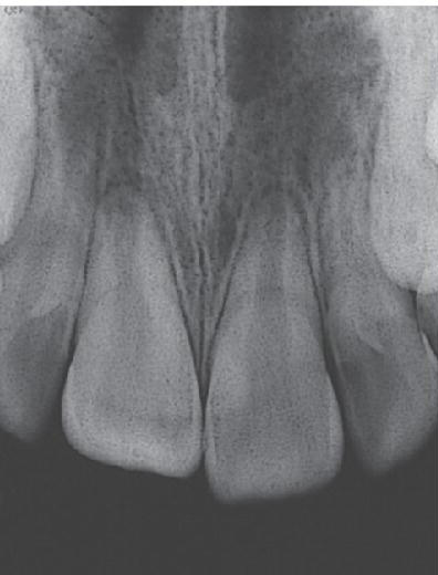
25. What condition can be seen regarding the tooth # 2.1?

25 / 25

26. What condition can be seen in the print of the X ray?

Your score is

The average score is 71%

0%