ACJ Quiz - Surgery

1 / 25

1. (Select ONE OR MORE correct answers)

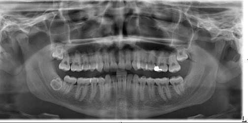
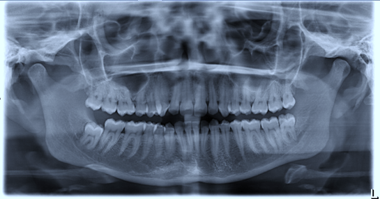
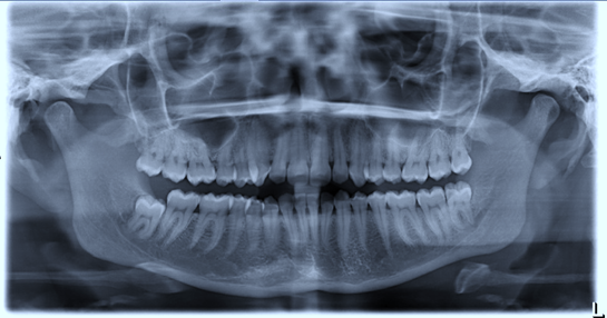
Which of the following may complicate the extraction of tooth 3.5?

2 / 25

2. (Select ONE OR MORE correct answers)

Which of the following may complicate the extraction of tooth 4.7?

3 / 25

3. (Select ONE OR MORE correct answers)

Which of the following may complicate the extraction of tooth 4.7?

4 / 25

4. Select ONE OR MORE correct answers)

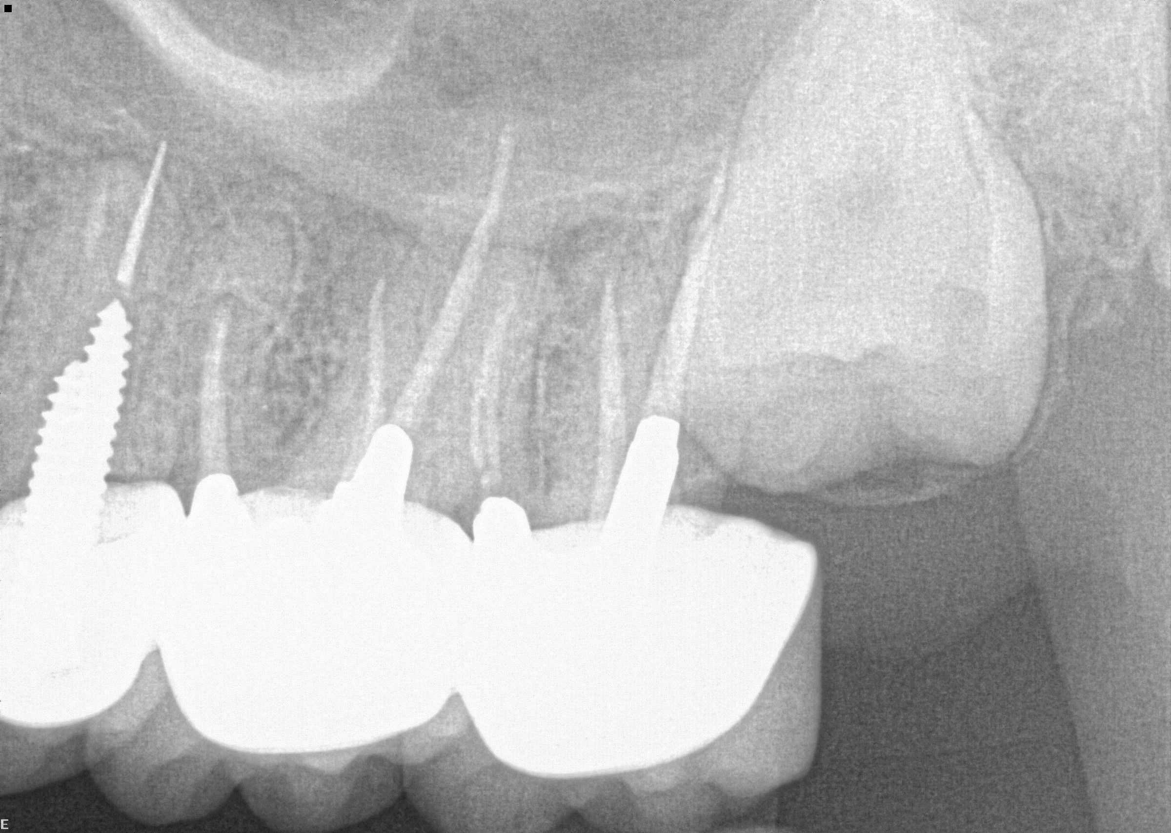
Which of the following may complicate the extraction of tooth 1.7?

5 / 25

5. (Select ONE OR MORE correct answers)

Which of the following may complicate the extraction of tooth 3.8?

6 / 25

6. Select ONE OR MORE correct answers)

Which of the following may complicate the extraction of tooth 1.5?

7 / 25

7. Select ONE OR MORE correct answers)

Which of the following may complicate the extraction of tooth 2.7?

8 / 25

8. Select ONE OR MORE correct answers)

Which of the following may complicate the extraction of tooth 1.6?

9 / 25

9. Select ONE OR MORE correct answers)

Which of the following may complicate the extraction of tooth 1.3?

10 / 25

10. (Select ONE OR MORE correct answers.)

Which of the following may complicate the extraction of tooth 3.6?

11 / 25

11. (Select ONE OR MORE correct answers.)

Which of the following may complicate the extraction of tooth 4.5?

12 / 25

12. (Select ONE OR MORE correct answers.)

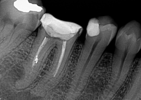
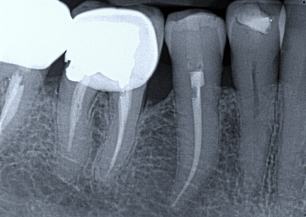
Tooth 4.8 is planned for extraction. Which radiographic findings suggest an increase in the degree of difficulty of the extraction?

13 / 25

13. (Select ONE OR MORE correct answers.)

Tooth 2.8 is planned for extraction. Which radiographic findings suggest an increase in the degree of difficulty of the extraction?

14 / 25

14. (Select ONE OR MORE correct answers.)

Which of the following may complicate the extraction of tooth 2.5?

15 / 25

15. (Select ONE OR MORE correct answers.)

Which of the following may complicate the extraction of tooth 2.2?

16 / 25

16. (Select ONE OR MORE correct answers.)

Tooth 1.8 is planned for surgical extraction. Which radiographic findings suggest an increase in the degree of difficulty of the extraction?

17 / 25

17. (Select ONE OR MORE correct answers)

Which of the following may complicate the extraction of tooth 7.4?

18 / 25

18. Select ONE OR MORE correct answers.)

Tooth 2.8 is planned for surgical extraction. Which radiographic findings suggest an increase in the degree of difficulty of the extraction?

19 / 25

19. (Select ONE OR MORE correct answers.)

Which of the following may complicate the extraction of tooth 3.7?

20 / 25

20. (Select ONE OR MORE correct answers.)

Which of the following may complicate the surgical extraction of tooth 1.6?

21 / 25

21. (Select ONE OR MORE correct answers.)

Which of the following may complicate the extraction of tooth 4.6?

22 / 25

22. (Select ONE OR MORE correct answers.)

Tooth 1.6 is planned for extraction. Which are the most likely postoperative complications?

23 / 25

23. Select ONE OR MORE correct answers)

Which of the following may complicate the extraction of tooth 1.4?

24 / 25

24. (Select ONE OR MORE correct answers.)

Tooth 3.8 is planned for extraction. Which are the most likely postoperative complications?

25 / 25

25. (Select ONE OR MORE correct answers.)

Tooth 4.8 is planned for extraction. Which radiographic findings suggest an increase in the degree of difficulty of the extraction?

Your score is

The average score is 47%

0%