ACJ Quiz - Soft Tissue Clacification
1 / 32
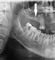
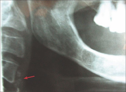
1. What condition can be seen in the following X ray? ( solid arrow)
the calcification within Stensen's duct of parotid
2 / 32
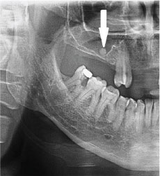
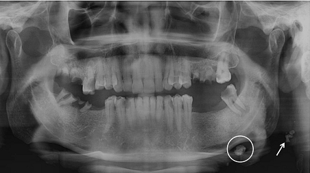
2. What condition can be seen in the following X ray? ( Open arrow)
3 / 32
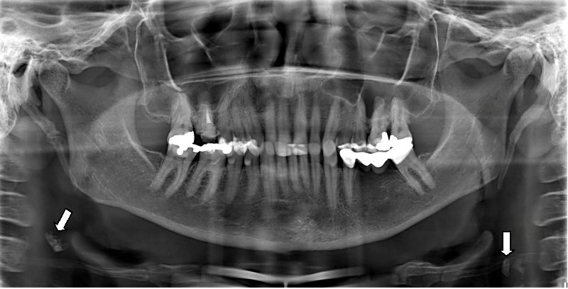
3. What condition can be seen in the following X ray?
4 / 32
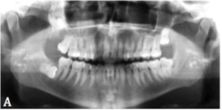
4. What condition can be seen in the following X ray?
5 / 32
5. What condition can be seen in the following X ray?
cluster of multiple small irregular opacities in the oropharyngeal area
6 / 32
6. What condition can be seen in the following X ray?
sound radiopaque above the floor of the maxillary sinus
7 / 32
7. What condition can be seen in the following X ray?
8 / 32
8. What condition can be seen in the following X ray? (the arrow)
9 / 32
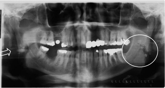
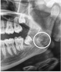
9. What condition can be seen in the following X ray? (the circle)
10 / 32
10. What condition can be seen in the following X ray?
11 / 32
11. What condition can be seen in the following X ray?
12 / 32
12. What condition can be seen in the following X ray?
13 / 32
13. What condition can be seen in the following X ray?
14 / 32
14. What condition can be seen in the following X ray?
15 / 32
15. What condition can be seen in the following X ray?
16 / 32
16. What condition can be seen in the following X ray?
17 / 32
17. What condition can be seen in the following X ray?
18 / 32
18. What condition can be seen in the following X ray?
19 / 32
19 . What condition can be seen in the following X ray?
20 / 32
20. What condition can be seen in the following X ray?
21 / 32
21. What condition can be seen in the following X ray?
22 / 32
22. What condition can be seen in the following X ray?
23 / 32
23. What condition can be seen in the following X ray?
24 / 32
24. What condition can be seen in the following X ray?
25 / 32
25. What condition can be seen in the following X ray?
26 / 32
27. What condition can be seen in the following X ray?
27 / 32
28 / 32
28. What condition can be seen in the following X ray?
29 / 32
29. What condition can be seen in the following X ray?
30 / 32
30. What condition can be seen in the following X ray?
31 / 32
31. What condition can be seen in the following X ray?
32 / 32
32. What condition can be seen in the following X ray?
Your score is
The average score is 69%
Restart quiz