ACJ Quiz - Root Canal Treatment X Rays 01

1 / 30

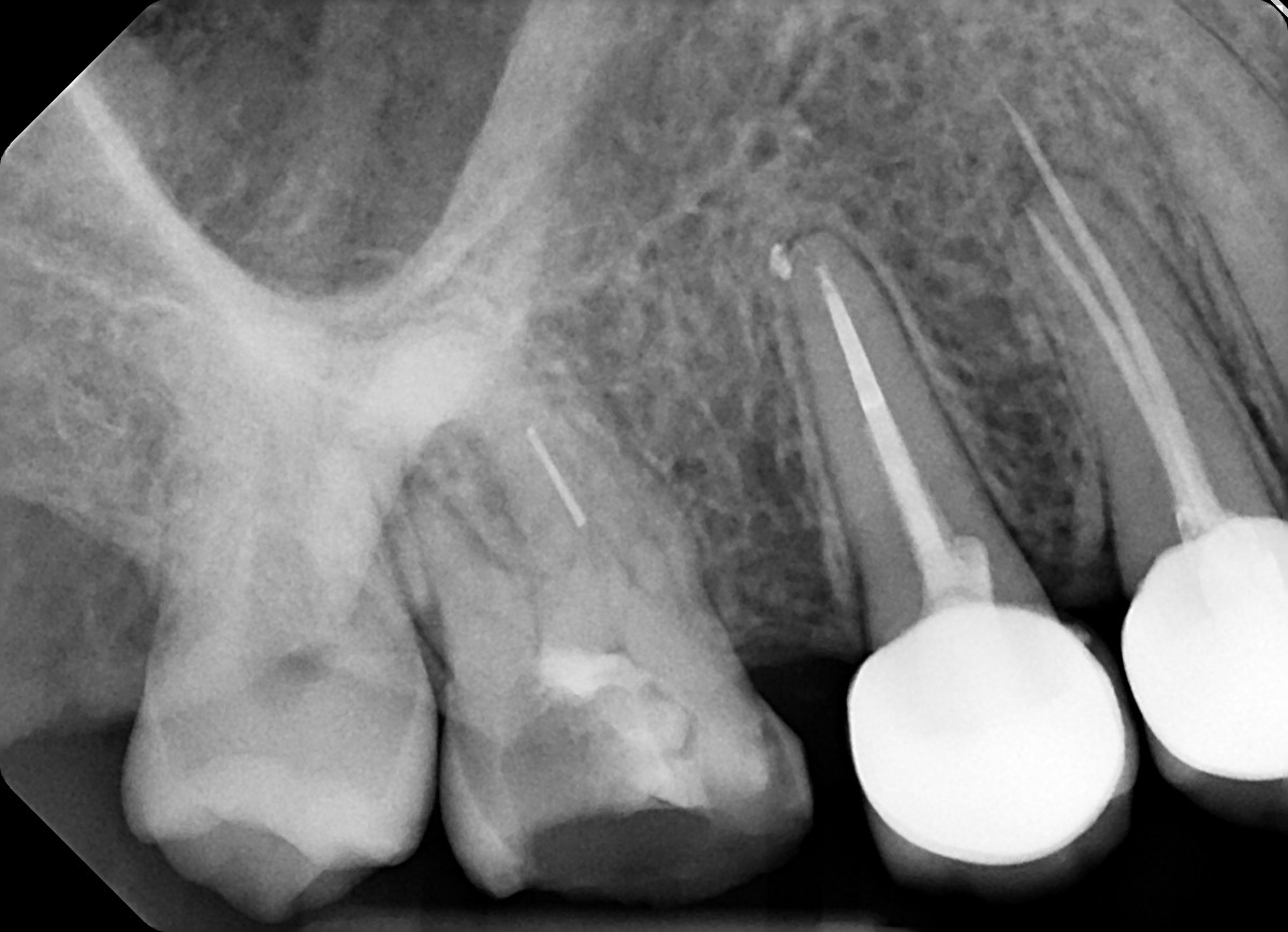
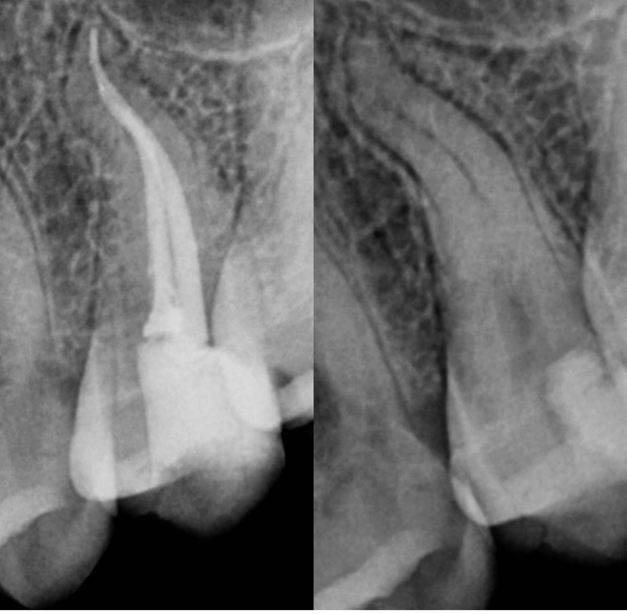
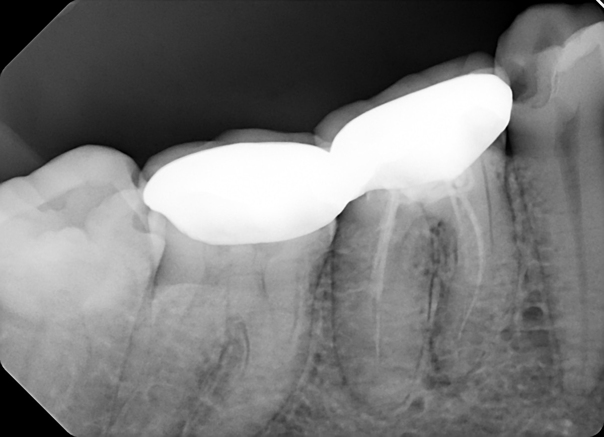
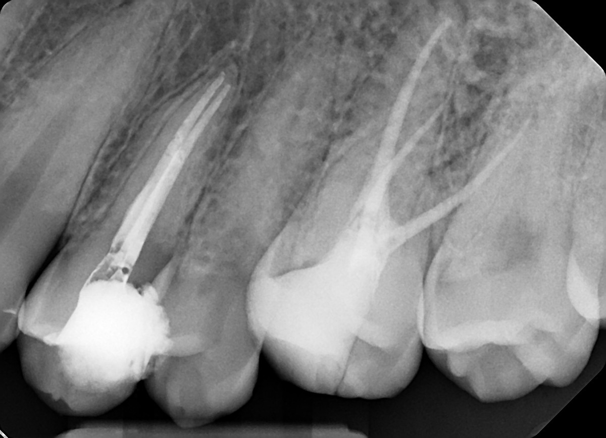
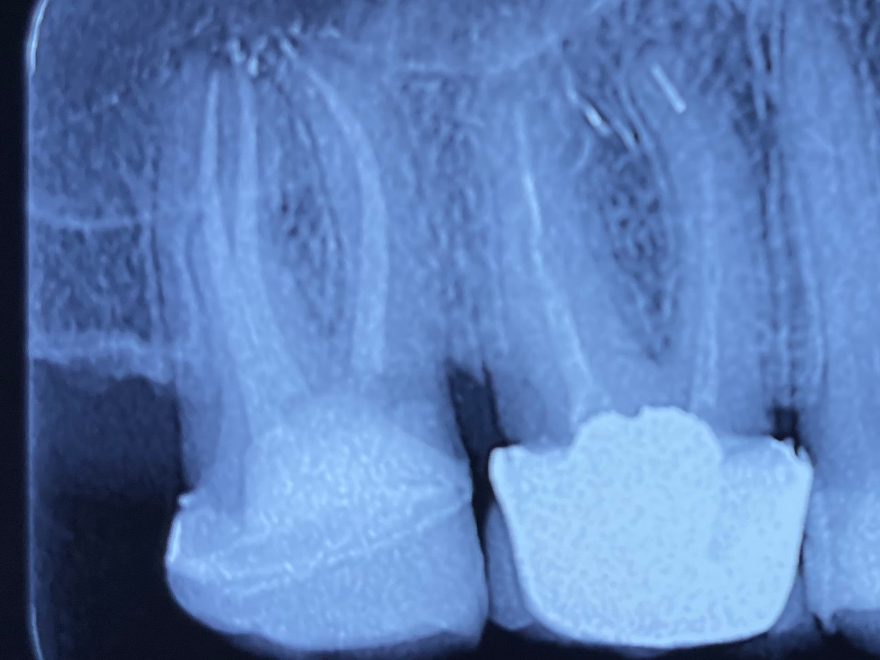
1. Evaluate the root canal treatment of tooth # 2.5?

2 / 30

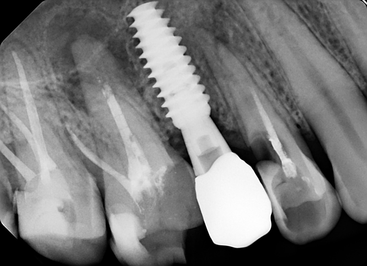
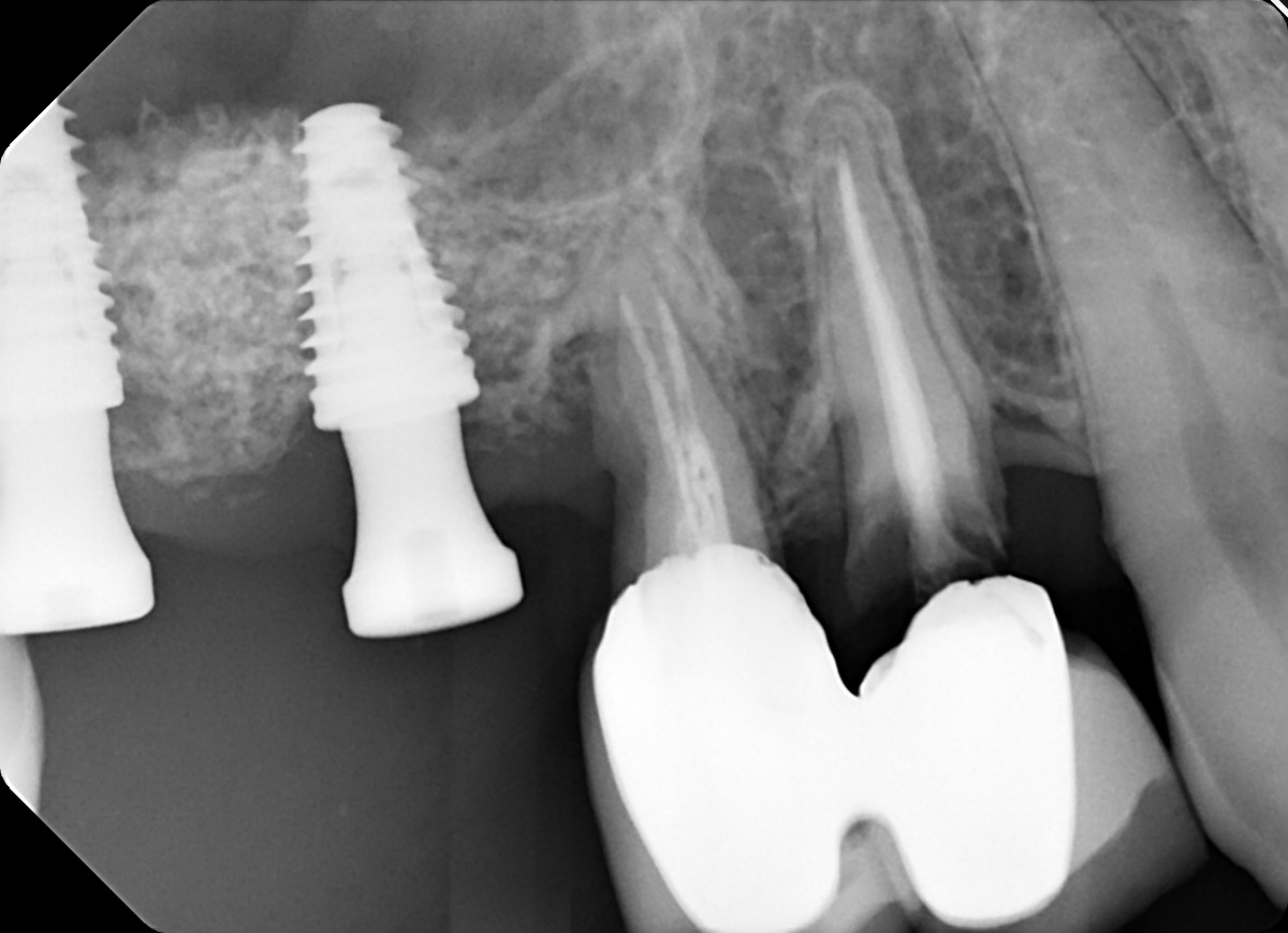
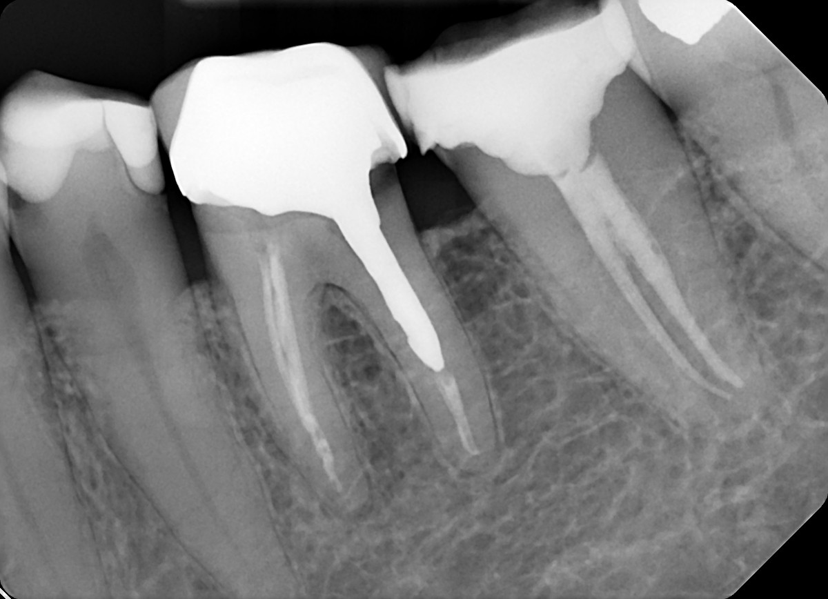
2. What option cannot be selected for root canal treatment of tooth # 2.6?

3 / 30

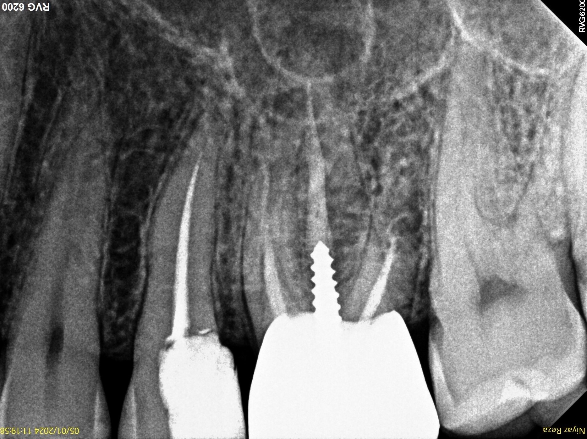
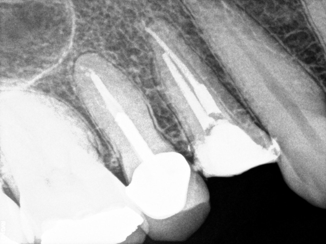
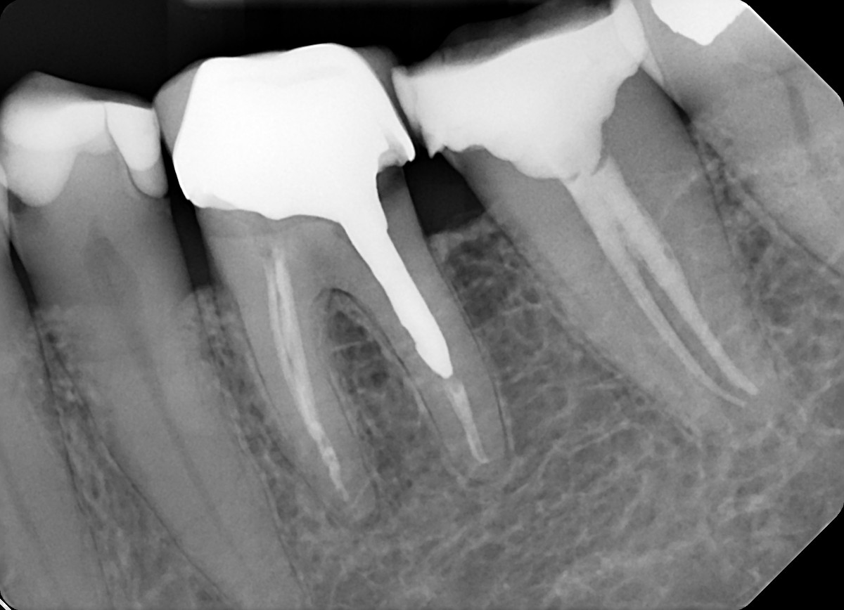
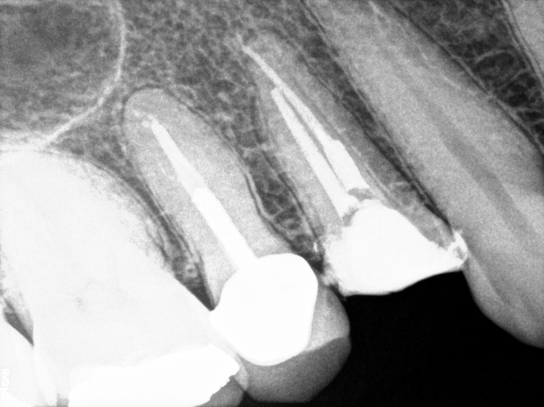
3. Evaluate the root canal treatment of tooth # 1.7?

4 / 30

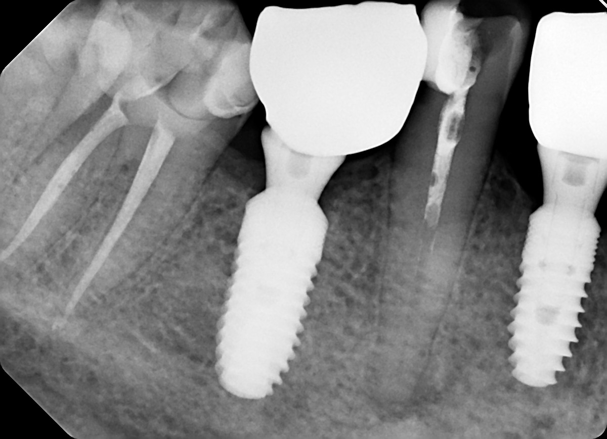
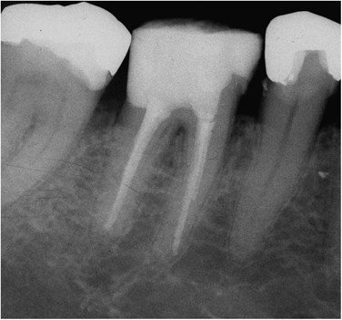
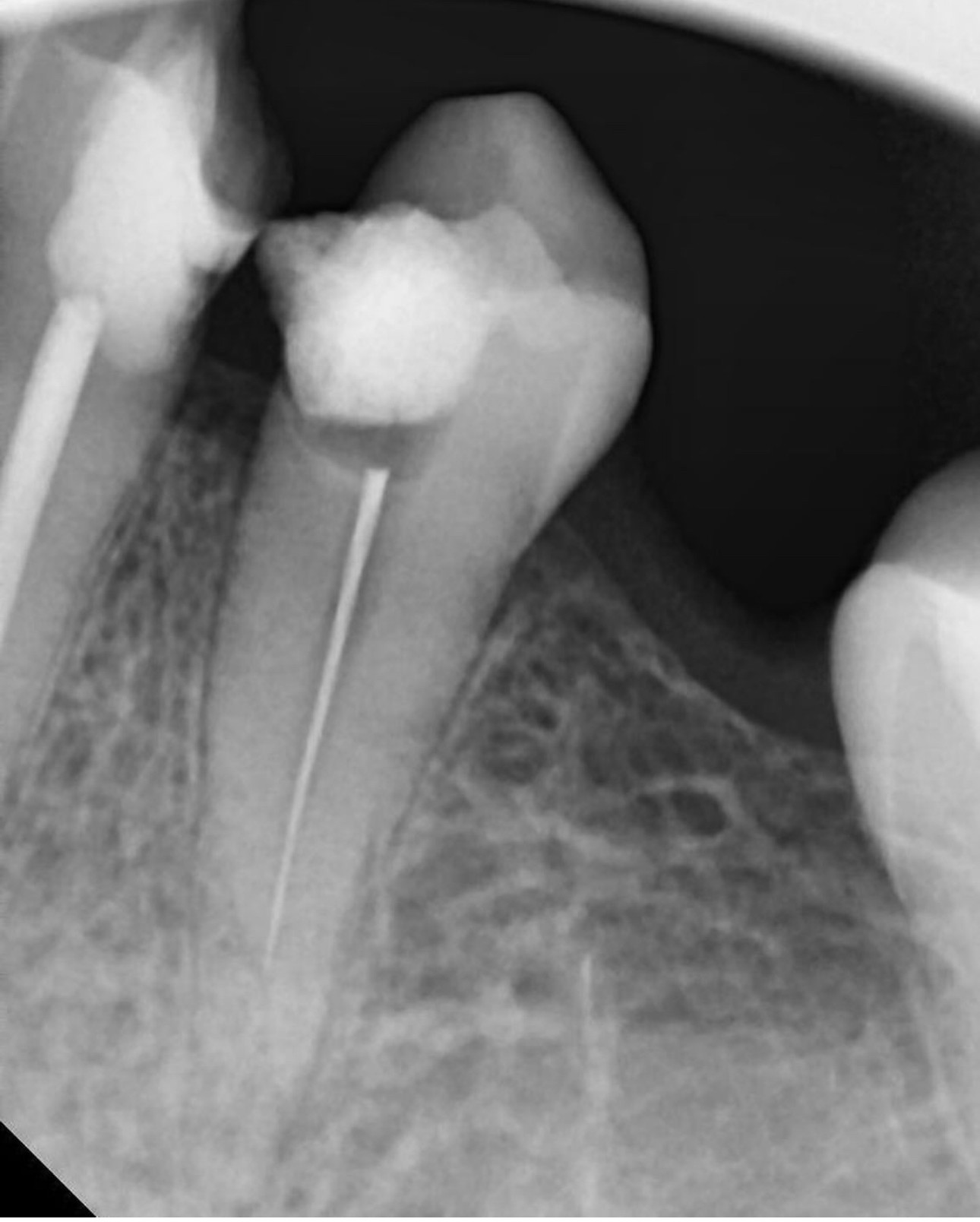
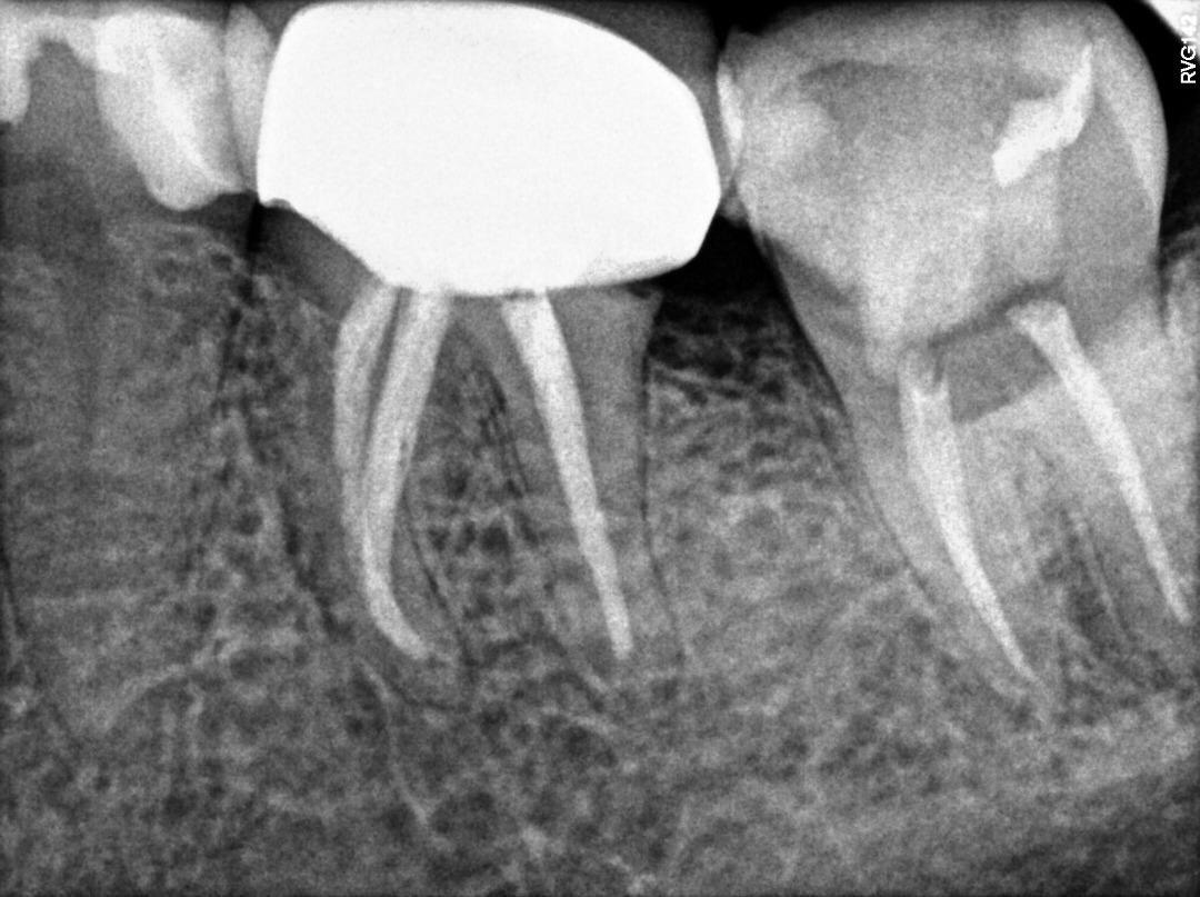
4. Evaluate the root canal treatment of tooth # 3.6?

5 / 30

5. What option can be selected for root canal treatment of tooth # 1.5?

6 / 30

6. What option can be selected for root canal treatment of tooth # 1.4?

7 / 30

7. What condition can be selected or the root canal treatment of tooth # 4.6?

8 / 30

8. What condition can be selected or the root canal treatment of tooth # 3.6?

9 / 30

9. What condition can be selected or the root canal treatment of tooth # 1.1?.

10 / 30

10. What condition can be selected or the root canal treatment of tooth # 3.6?

11 / 30

11. What option can be selected for root canal treatment of the tooth #3.6?

12 / 30

12. What option can be selected for root canal treatment of the tooth #3.7?

13 / 30

13. What options can be selected for root canal treatment of the tooth # 2.7?

14 / 30

14. What options can be selected for tooth # 4.6?

15 / 30

15. What option can be selected for the RCT of the tooth # 4.6?

16 / 30

16. What option can be selected about the root canal treatment of the tooth # 2.6?

17 / 30

17. What option can be selected for the root canal treatment of the tooth # 2.7?

18 / 30

18. What option can be selected for the root canal treatment of the tooth # 2.6?

19 / 30

19. What options can be selected for the RCT of the tooth # 1.5?

20 / 30

20. What option can be selected for the tooth # 1.4?

21 / 30

21. What option can be selected for the root canal treatment of the tooth # 4.5?

22 / 30

22. What option can be selected fot the tooth # 1.4?

23 / 30

23. What option can be selected for the tooth # 4.6?

24 / 30

24. What option can be selected for the tooth # 3.6?

25 / 30

25. What option can be selected for RCT of tooth # 1.4?

26 / 30

26. What option can be selected for the tooth # 3.6?

27 / 30

27. What option can be selected for RCT of tooth # 2.4?

28 / 30

28. What option can be selected for the RCT of tooth # 2.2?

29 / 30

29. What option can be selected for the root canal treatment of tooth # 3.5?

30 / 30

30. What option can be selected for RCT of the tooth # 1.4?

Your score is

The average score is 0%

0%