ACJ Quiz - Recurrent Caries
1 / 35
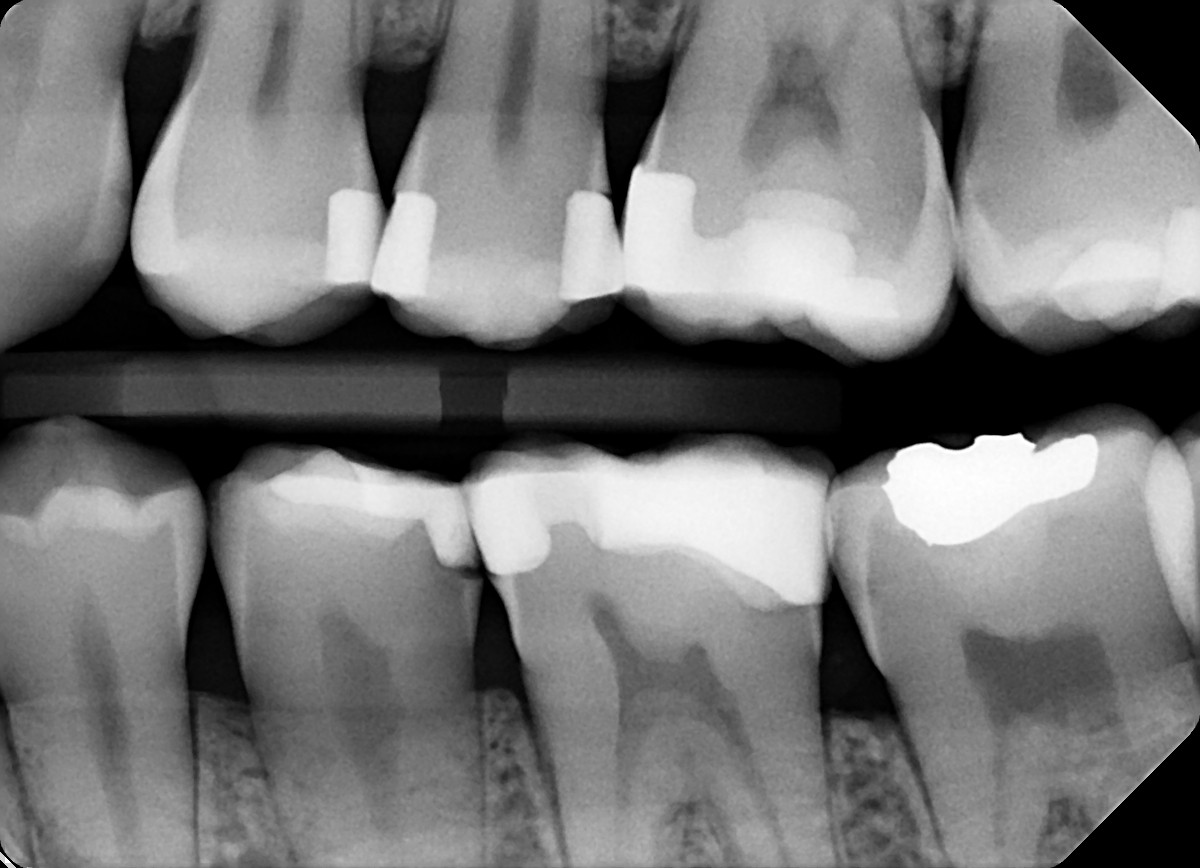
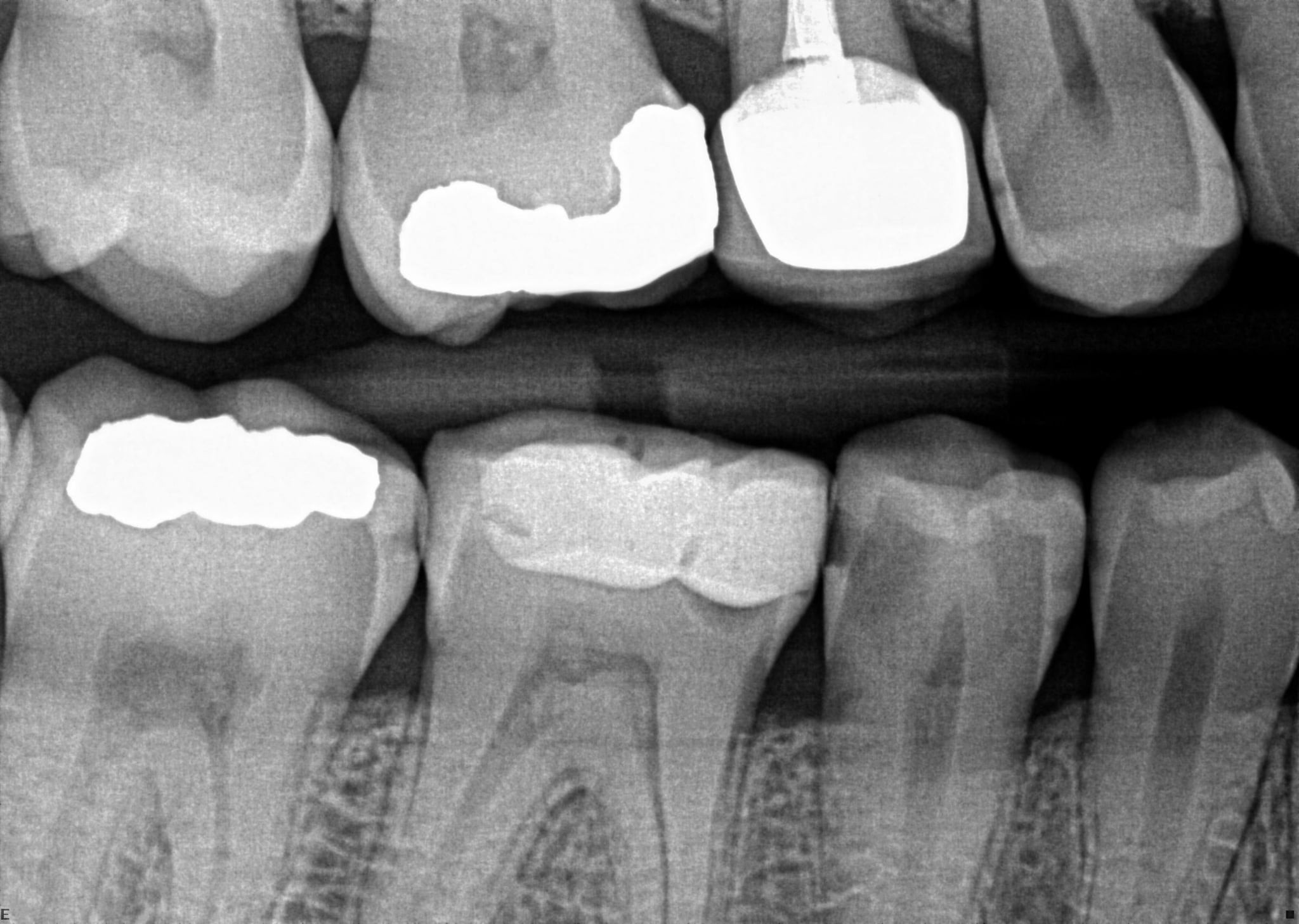
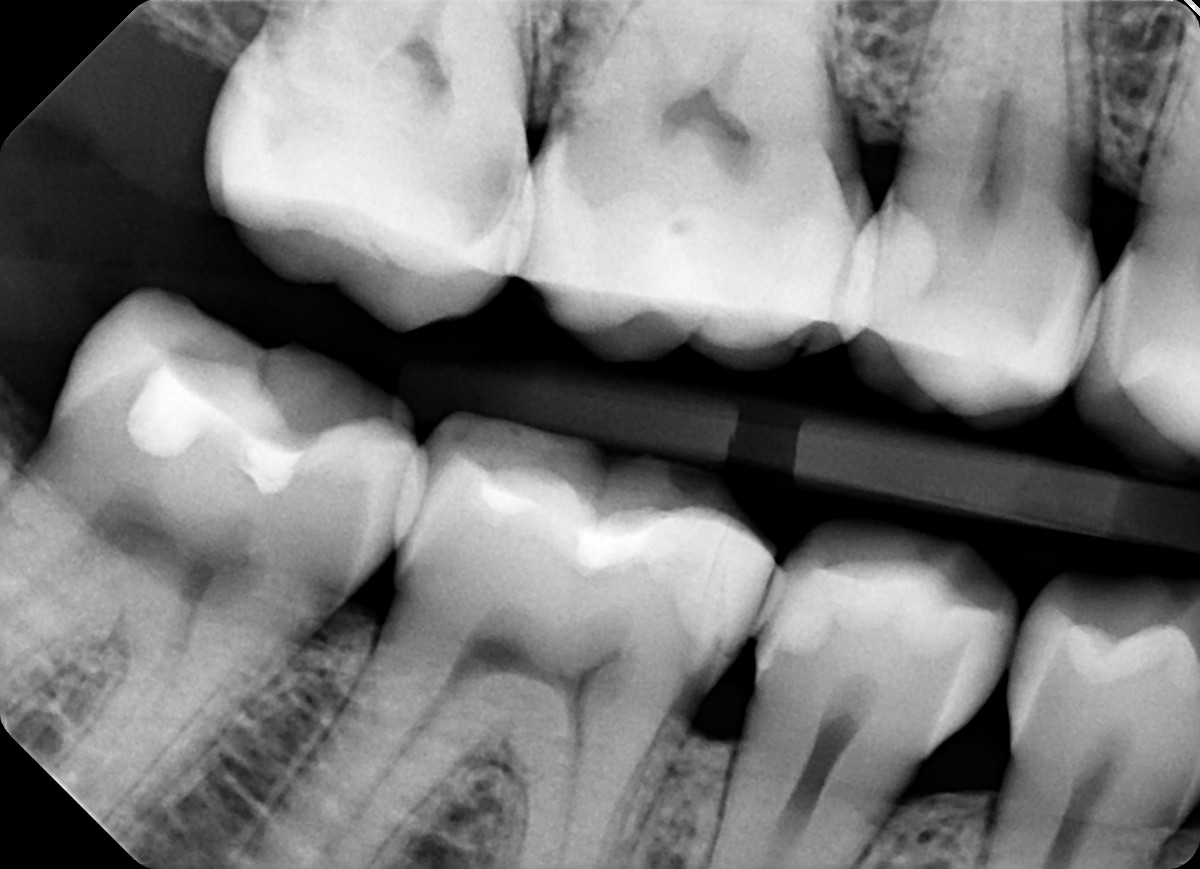
1. On which surface a recurrent caries can be detected?
2 / 35
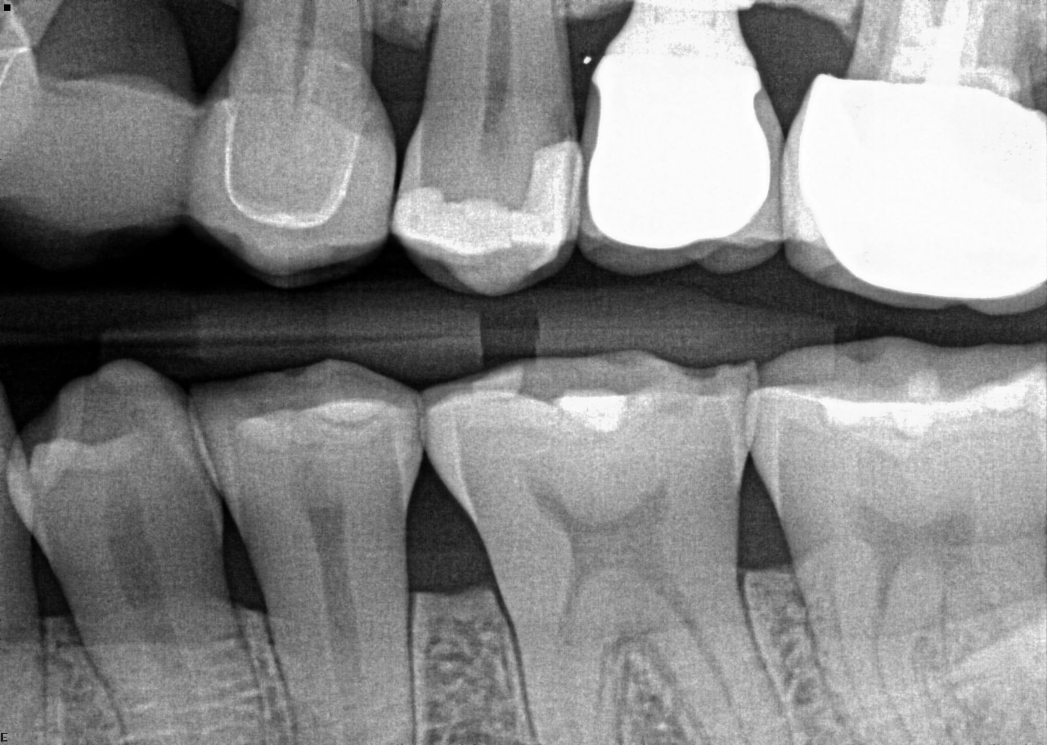
2. On which surface a recurrent caries can be detected?
None of the teeth shows recurrent caries
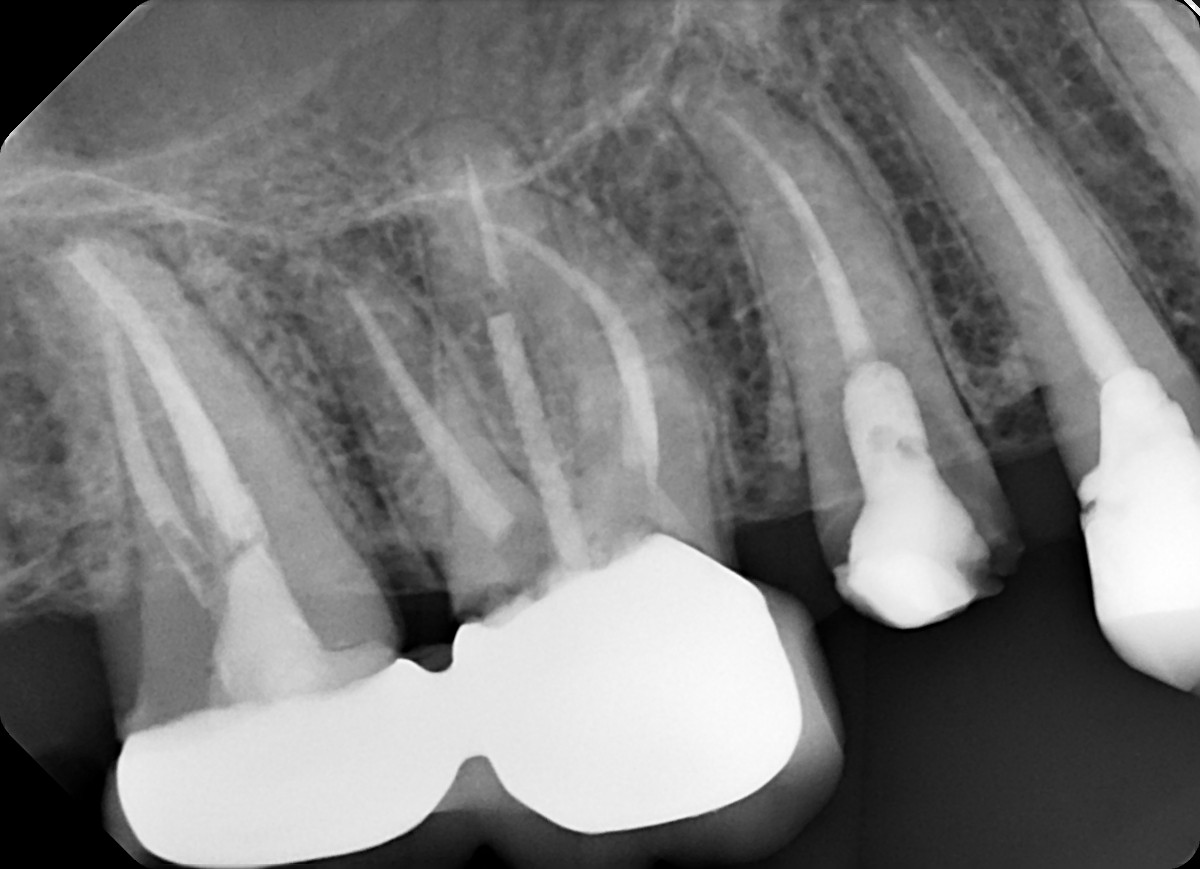
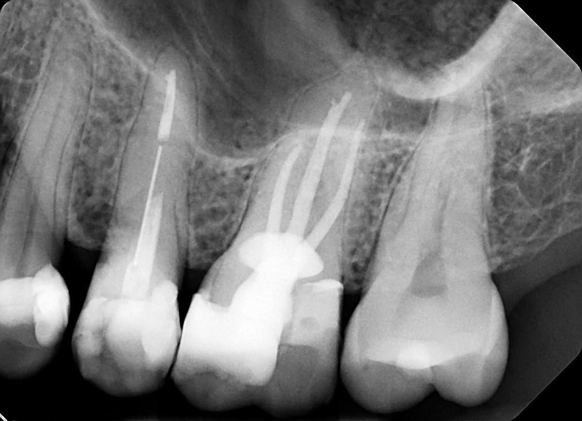
3 / 35
3. On which surface a recurrent caries can be detected?
mesial tooth # 3.7 is CBO
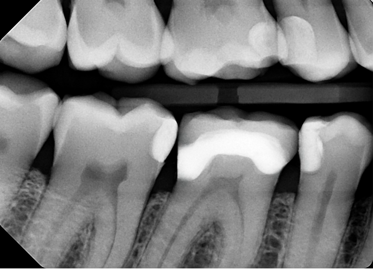
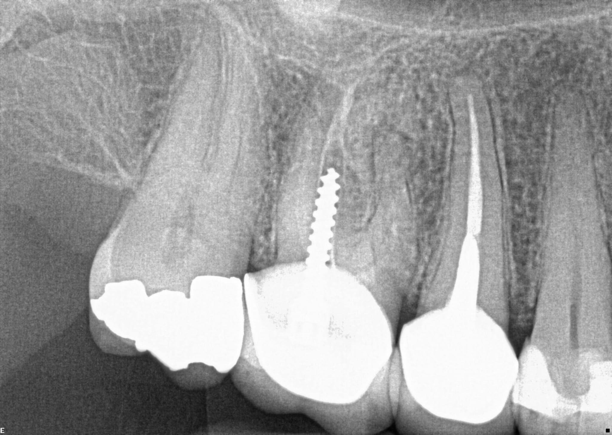
4 / 35
4. On which surface a recurrent caries can be detected?
distal tooth # 2.5 is bonding pooling
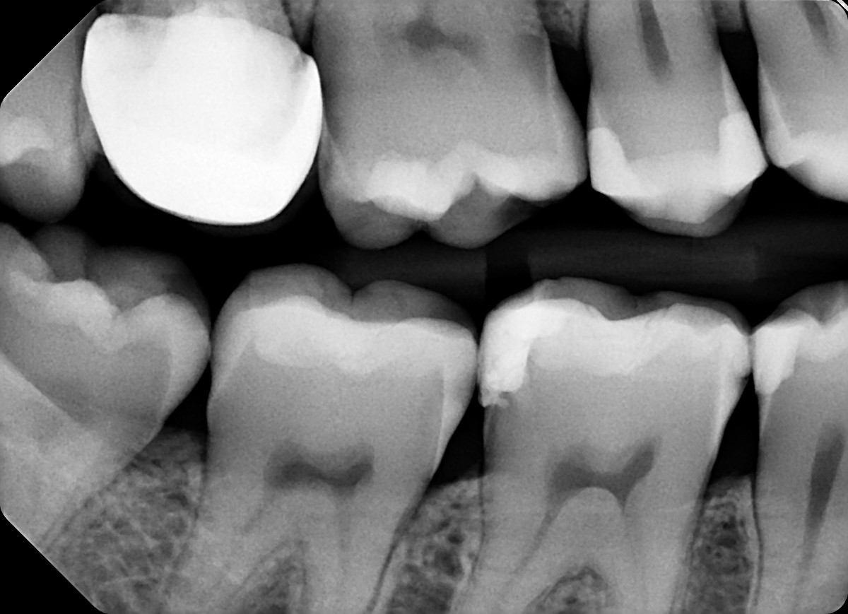
5 / 35
5. On which surface a recurrent caries can be detected?
the radiolucent area in mesial and distal tooth # 3.6 are bonding
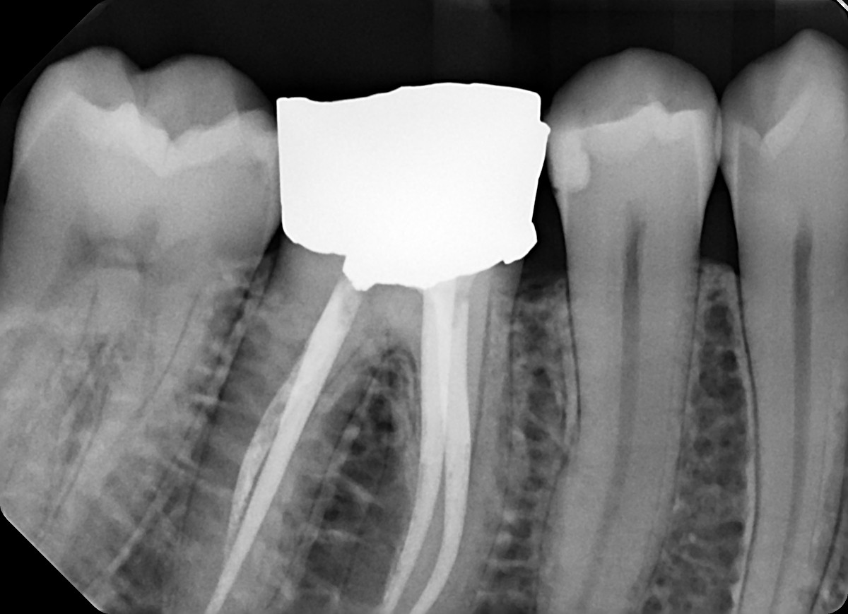
6 / 35
6. On which surface a recurrent caries can be detected?
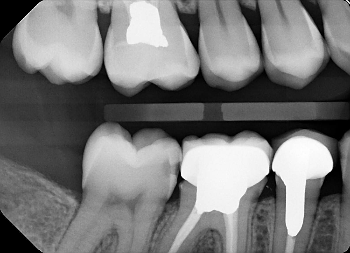
7 / 35
7. On which surface a recurrent caries can be detected?
No cavity can be detected, restorations on 1.7, 4.6 and 4.7 are porcelain onlays
8 / 35
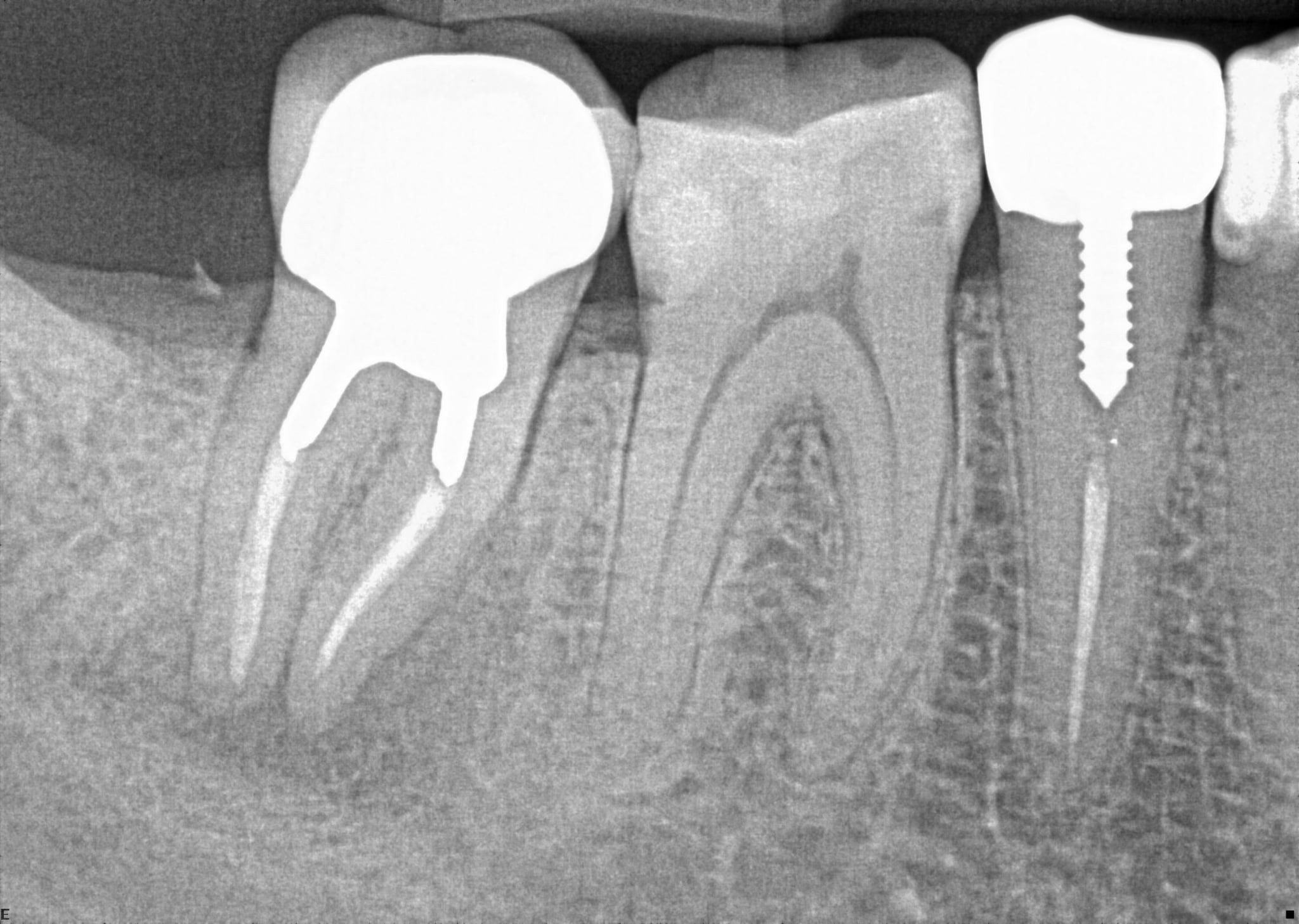
8. On which surface a recurrent caries can be detected?
under crowns the recurrent caries can easily become cavtated ad they are seen more radiolucent
9 / 35
9. On which surface a recurrent caries can be detected?
although distal tooth # 4.6 is risky but as the rest are recurrent this option is safe to select
10 / 35
10. On which surface a recurrent caries can be detected?
Dital tooth # 4.6 although defective there is no recurrent caries, tooth # 1.4 shows overlay
11 / 35
11. On which surface a recurrent caries can be detected?
12 / 35
12. On which surface a recurrent caries can be detected?
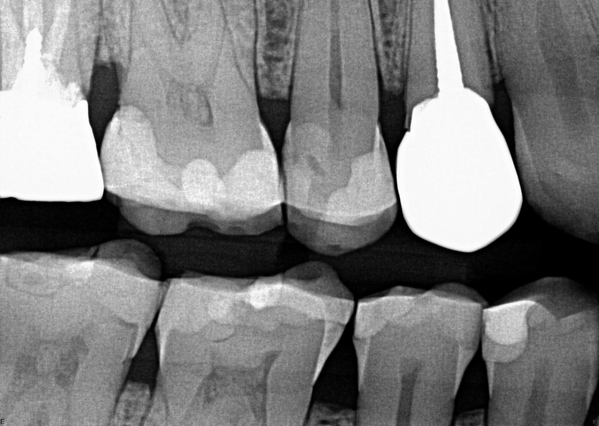
Mesial 4.7 is normal proximal caries not recurrent, distal 4.6 is recurrent , mesial 4.6 and distal 4.5 are open margin
13 / 35
13. On which surface a recurrent caries can be detected?
In none of the mentioned surfaces recurrent caries can be detected
14 / 35
14. On which surface a recurrent caries can be detected?
15 / 35
15. On which surface a recurrent caries can be detected?
16 / 35
16. On which surface a recurrent caries can be detected?
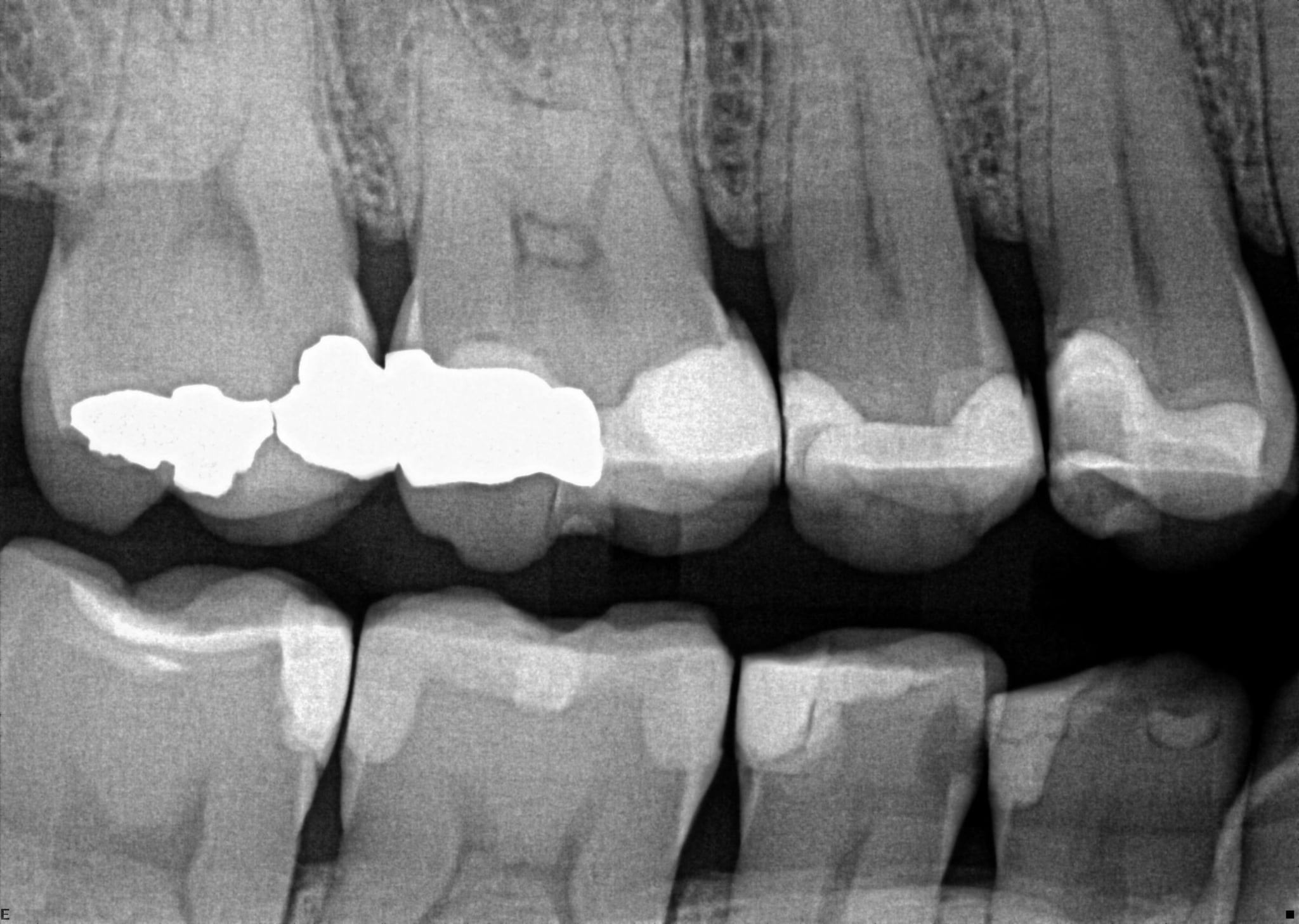
Mesial tooth # 3.7 is not recurret caries, the recurrent caries in proximal always starts from the gingival of the proximal box
17 / 35
17. On which surface a recurrent caries can be detected?
no tooth shows recurrent caries
18 / 35
18. On which surface a recurrent caries can be detected?
crowns mostly show open margin not recurrent caries
19 / 35
19. On which surface a recurrent caries can be detected?
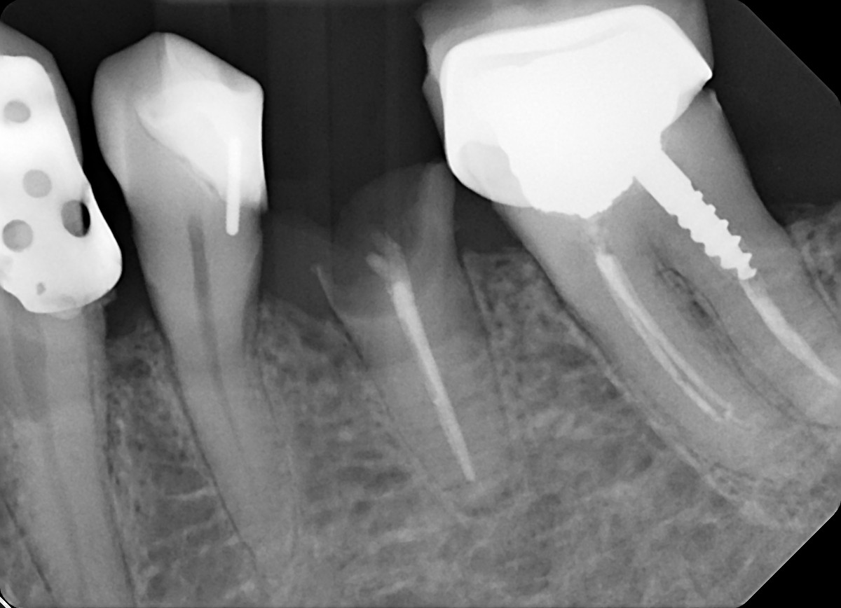
This is the PA X ray of the question # 18, based on this X ray recurrent X ray for distal tooth # 3.7 can also be selected
20 / 35
20. On which surface a recurrent caries can be detected?
21 / 35
21. On which surface a recurrent caries can be detected?
no recurrent caries can be detected
22 / 35
22. On which surface a recurrent caries can be detected?
23 / 35
23. On which surface a recurrent caries can be detected?
24 / 35
24. On which surface a recurrent caries can be detected?
no recurrent caries can be seen in this X ray
25 / 35
25. On which surface a recurrent caries can be detected?
26 / 35
26. On which surface a recurrent caries can be detected?
27 / 35
27. On which surface a recurrent caries can be detected?
28 / 35
28. On which surface a recurrent caries can be detected?
29 / 35
29. On which surface a recurrent caries can be detected?
30 / 35
30. On which surface a recurrent caries can be detected?
no recurrent caries is present
31 / 35
31. On which surface a recurrent caries can be detected?
no recurrent caries present
32 / 35
32. On which surface a recurrent caries can be detected?
33 / 35
33. On which surface a recurrent caries can be detected?
34 / 35
34. On which surface a recurrent caries can be detected?
35 / 35
35. On which surface a recurrent caries can be detected?
Your score is
The average score is 57%
Restart quiz