ACJ Quiz - Periodontal Bone Loss

1 / 31

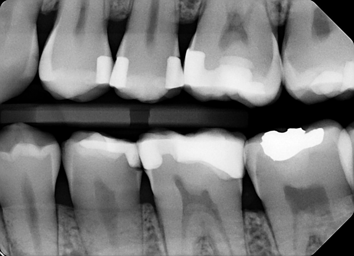
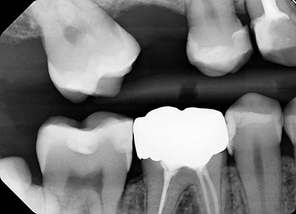
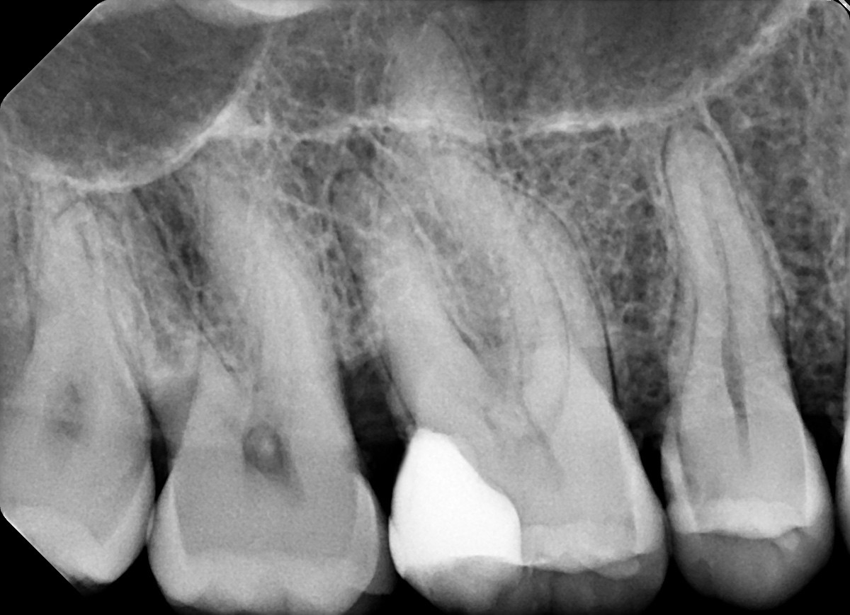
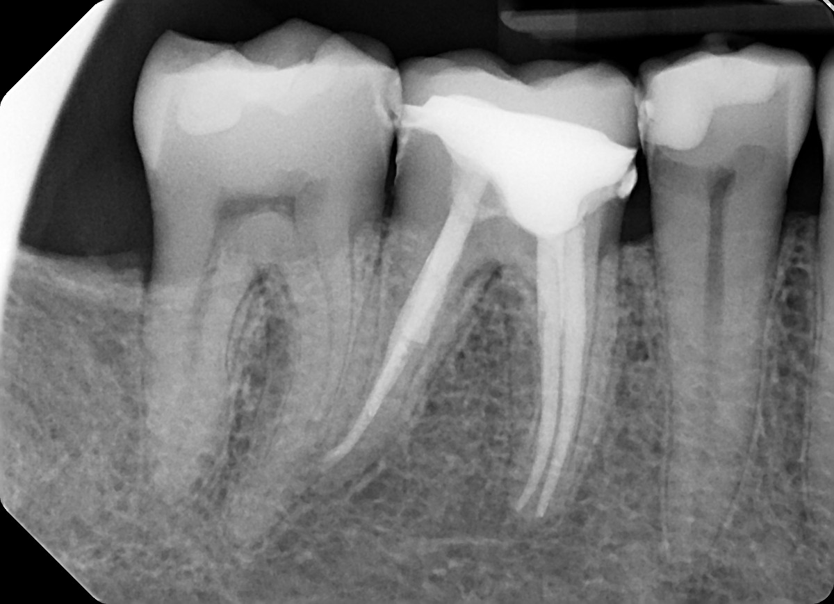
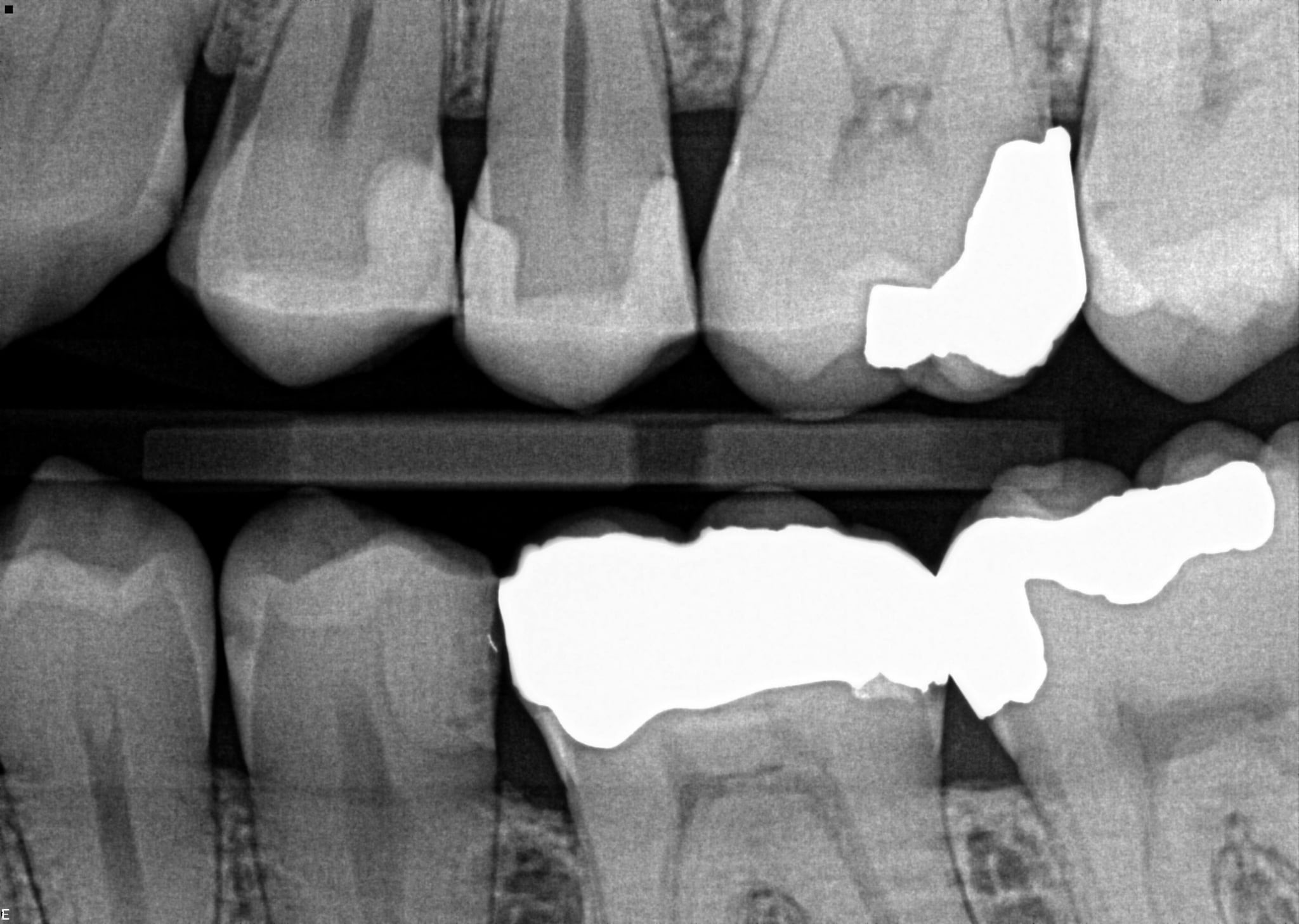
1.  In the X ray bellow for which jaw periodontal bone loss is evident?

2 / 31

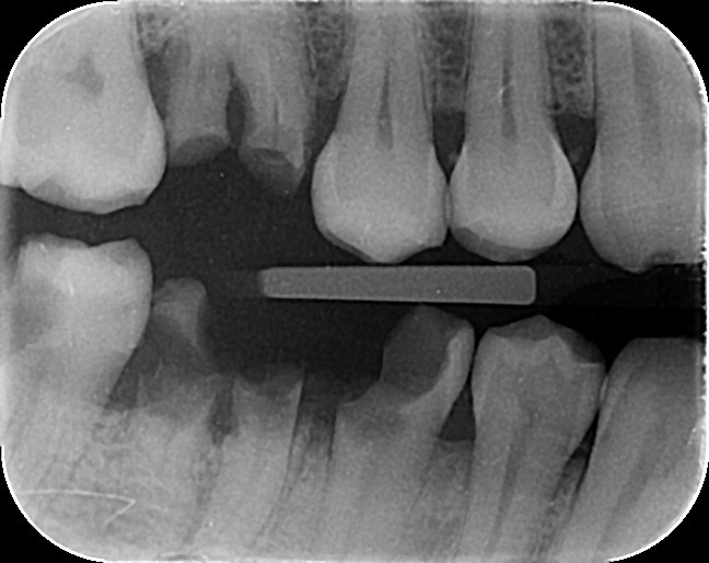
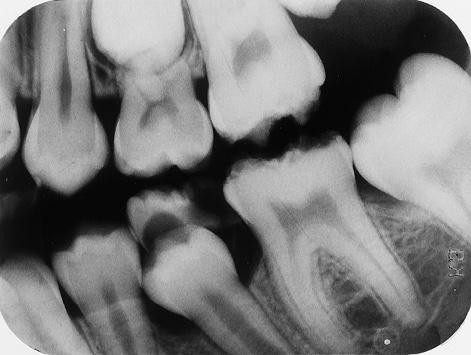
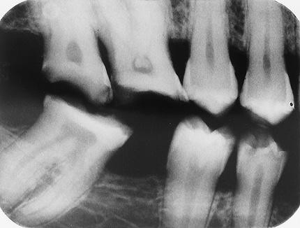
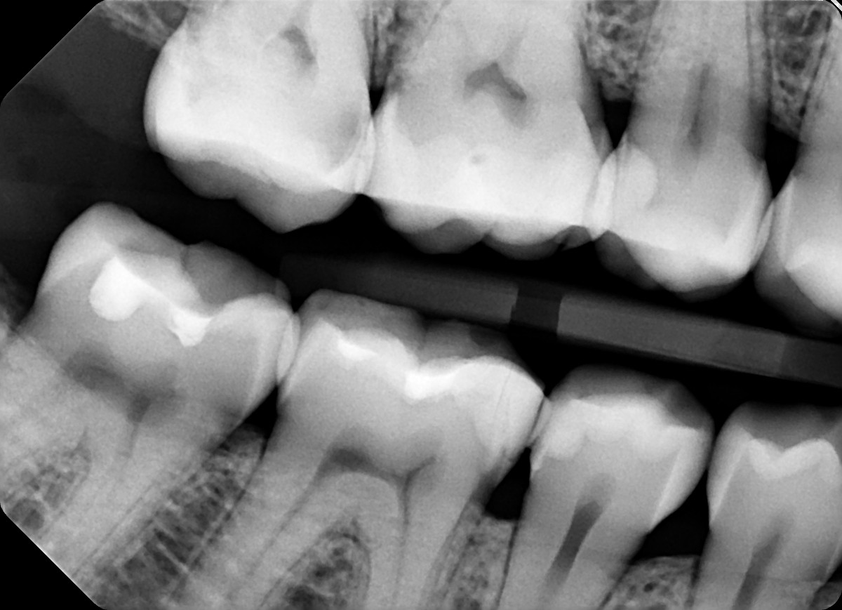
2. In the X ray bellow for which jaw periodontal bone loss is evident?

3 / 31

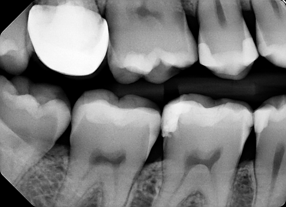
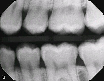
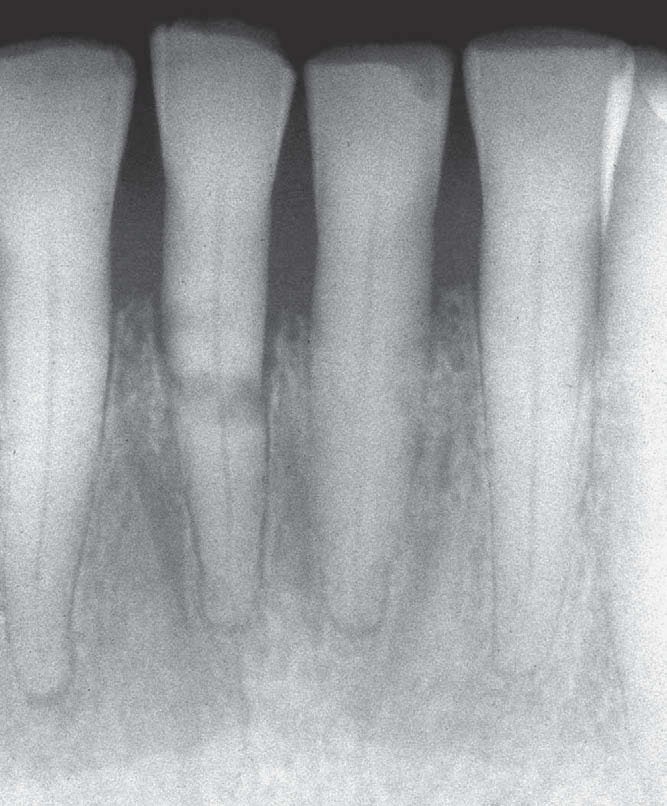
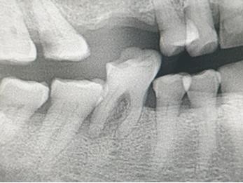
3. In the X ray bellow for which jaw periodontal bone loss is evident?

4 / 31

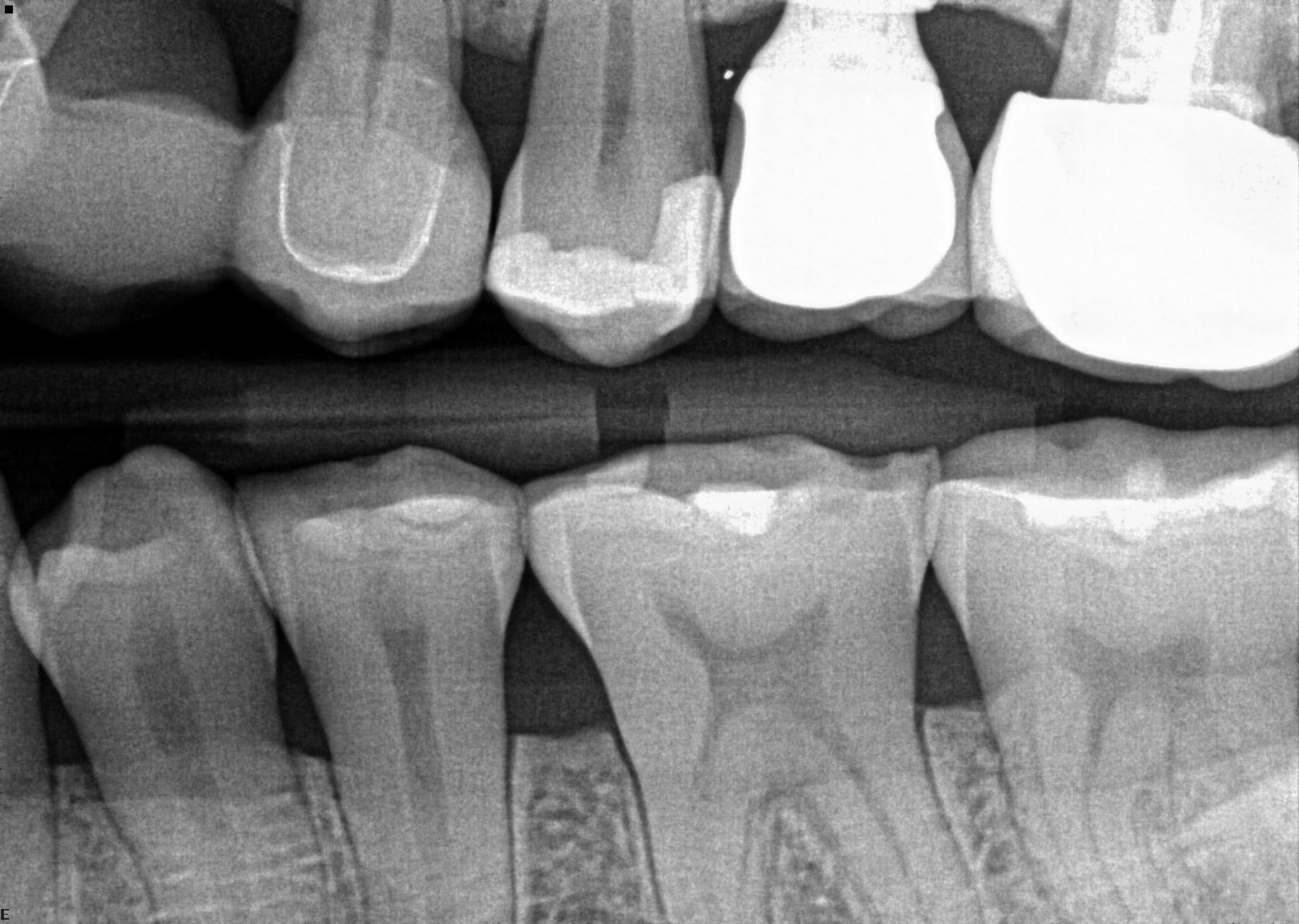
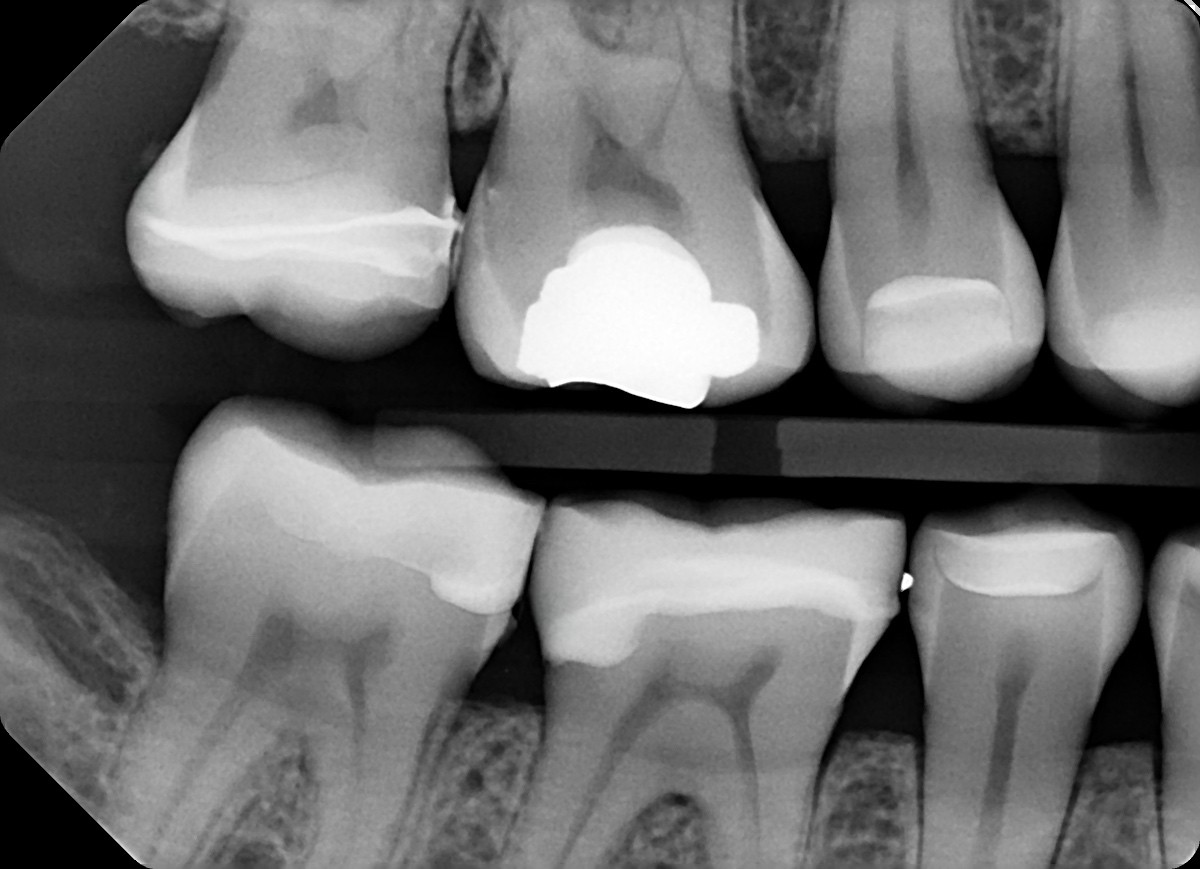
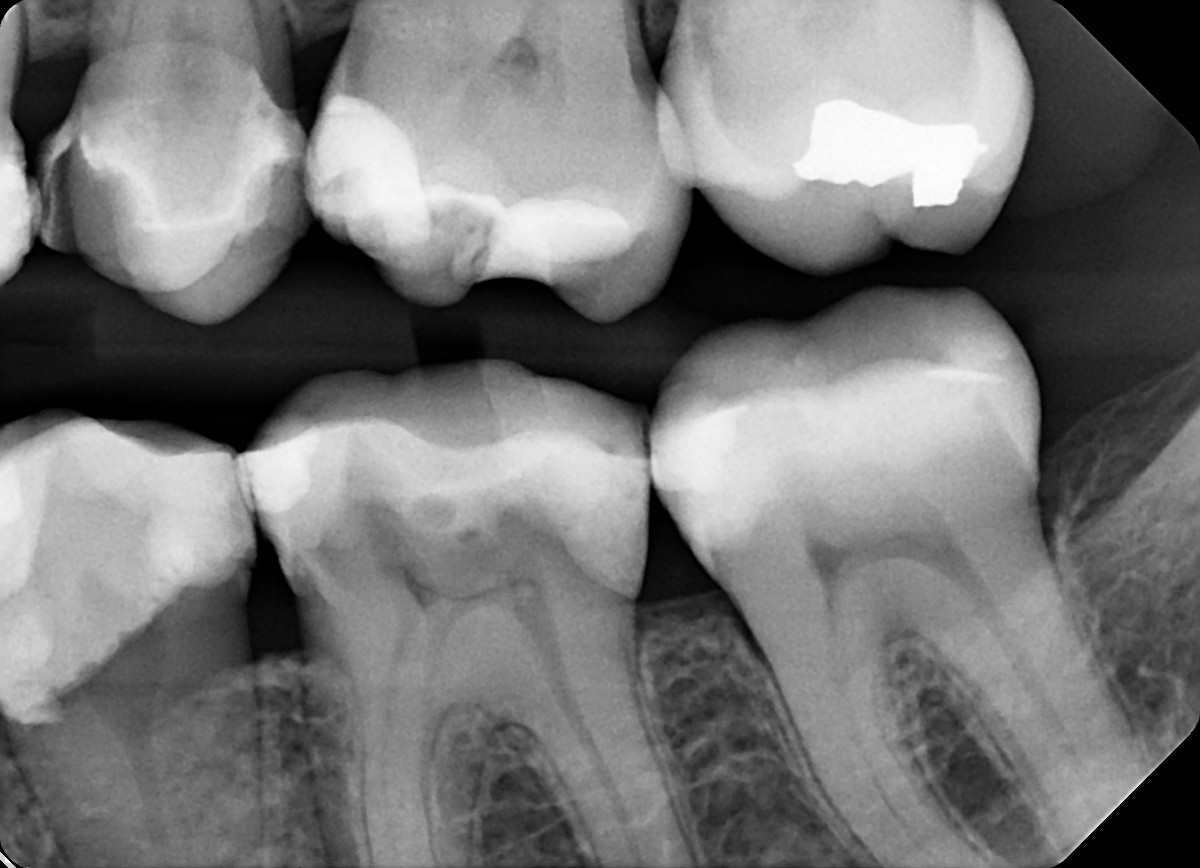
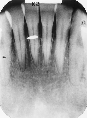
4. In the X ray bellow for which jaw periodontal bone loss is evident?

5 / 31

5. In the X ray bellow for which jaw periodontal bone loss is evident?

6 / 31

6. In the X ray bellow for which jaw periodontal bone loss is evident?

7 / 31

7. In the X ray bellow for which jaw periodontal bone loss is evident?

8 / 31

8. In the X ray bellow for which jaw periodontal bone loss is evident?

9 / 31

9. In the X ray bellow for which jaw periodontal bone loss is evident?

10 / 31

10. In the X ray bellow for which jaw periodontal bone loss is evident?

11 / 31

11. In the X ray bellow for which jaw periodontal bone loss is evident?

12 / 31

12. In the X ray bellow for which jaw periodontal bone loss is evident?

13 / 31

13. In the X ray bellow for which jaw periodontal bone loss is evident?

14 / 31

14. In the X ray bellow for which jaw periodontal bone loss is evident?

15 / 31

15. In the X ray bellow for which jaw periodontal bone loss is evident?

16 / 31

16. In the X ray bellow for which jaw periodontal bone loss is evident?

17 / 31

17. In the X ray bellow for which jaw periodontal bone loss is evident?

18 / 31

18. In the X ray bellow for which jaw periodontal bone loss is evident?

19 / 31

19. In the X ray bellow for which jaw periodontal bone loss is evident?

20 / 31

20. In the X ray bellow for which jaw periodontal bone loss is evident?

21 / 31

21. In the X ray bellow for which jaw periodontal bone loss is evident?

22 / 31

22. In the X ray bellow for which jaw periodontal bone loss is evident?

23 / 31

23. In the X ray bellow for which jaw periodontal bone loss is evident?

24 / 31

24. In the X ray bellow for which jaw periodontal bone loss is evident?

25 / 31

25. In the X ray bellow for which jaw periodontal bone loss is evident?

26 / 31

26. In the X ray bellow for which jaw periodontal bone loss is evident?

27 / 31

27. In the X ray bellow for which jaw periodontal bone loss is evident?

28 / 31

28. In the X ray bellow for which jaw periodontal bone loss is evident?

29 / 31

29. In the X ray bellow for which jaw periodontal bone loss is evident?

30 / 31

30. In the X ray bellow for which jaw periodontal bone loss is evident?

31 / 31

31. In the X ray bellow for which jaw periodontal bone loss is evident?

Your score is

The average score is 51%

0%