ACJ Quiz - Perio_Implant

1 / 50

1. (Select ONE OR MORE correct answers)

The radiograph shows evidence of

2 / 50

2. (Select ONE OR MORE correct answers)

The radiograph shows evidence of

3 / 50

3. (Select ONE OR MORE correct answers)

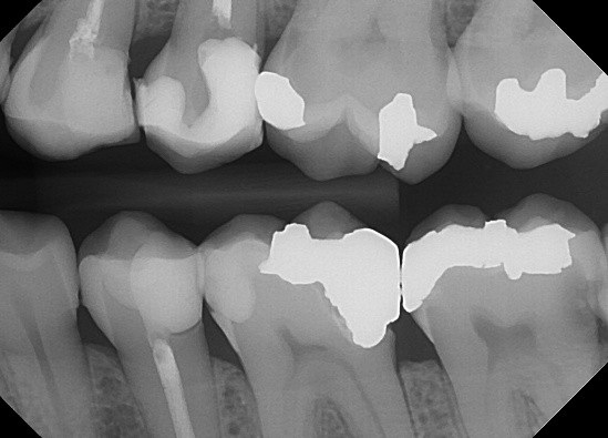
The radiograph shows evidence of calculus on

4 / 50

4. (Select ONE OR MORE correct answers)

The radiograph shows evidence of calculus on

5 / 50

5. (Select ONE OR MORE correct answers)

The radiograph shows evidence of calculus on

6 / 50

6. (Select ONE OR MORE correct answers)

The radiograph shows evidence of calculus on

7 / 50

7. (Select ONE OR MORE correct answers)

The radiograph shows evidence of

8 / 50

8. (Select ONE OR MORE correct answers)

The radiograph shows evidence of

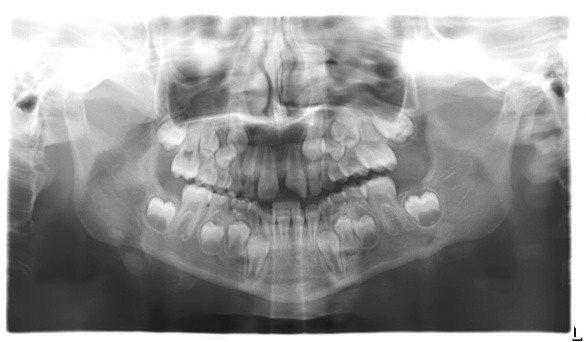
9 / 50

9. (Select ONE OR MORE correct answers)

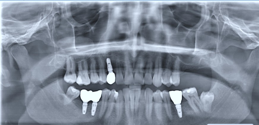
Which of the following is true regarding the following panoramic radiograph?

10 / 50

10. (Select ONE OR MORE correct answers)

The radiograph shows evidence of calculus on

11 / 50

11. (Select ONE OR MORE correct answers)

The radiograph shows evidence of calculus on

12 / 50

12. (Select ONE OR MORE correct answers)

The radiograph shows evidence of

13 / 50

13. (Select ONE or MORE correct answer)

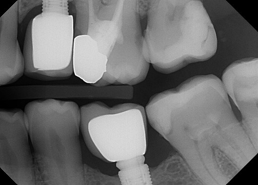
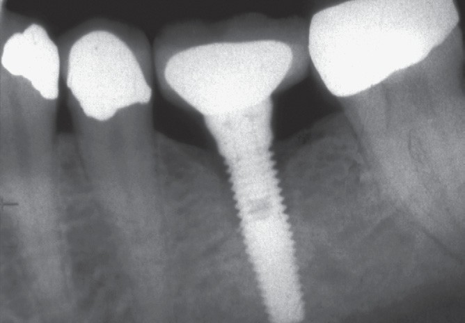
Which of the following is true regarding dental implant at site 2.6?

14 / 50

14. (Select ONE OR MORE correct answer)

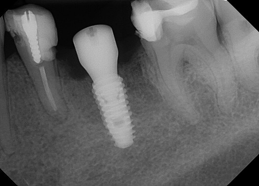
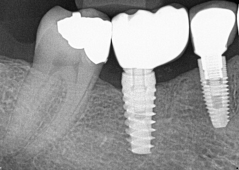
Which of the following is true regarding dental implant at site 3.6?

15 / 50

15. (Select ONE or MORE correct answer)

Which of the following is true regarding dental implant at site 2.6?

16 / 50

16. (Select ONE OR MORE correct answer)

There is radiographic evidence of

17 / 50

17. (Select ONE or MORE correct answer)

Regarding tooth 4.6, there is evidence of

18 / 50

18. (Select ONE OR MORE correct answers)

The radiograph shows evidence of calculus on

19 / 50

19. (Select ONE correct answer)

Regarding dental implant at site 3.6, there is evidence of

20 / 50

20. (Select ONE correct answer)

The radiograph shows evidence of

21 / 50

21. (Select ONE OR MORE correct answer)

The radiograph shows evidence of

22 / 50

22. (Select ONE OR MORE correct answers)

Which of the following is/are seen in the radiograph?

23 / 50

23. (Select ONE OR MORE correct answers)

Which of the following is/are seen in the radiograph?

24 / 50

24. (Select ONE OR MORE correct answers)

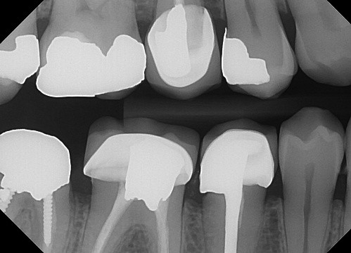
Which of the following is/are seen in the radiograph for tooth 3.6?

25 / 50

25. (Select ONE OR MORE correct answers)

Which of the following is/are seen in the radiograph?

26 / 50

26. (Select ONE OR MORE correct answers)

Which of the following is/are seen in the radiograph for tooth 3.7?

27 / 50

27. (Select ONE OR MORE correct answers)

Which of the following is/are seen in the radiograph?

28 / 50

28. (Select ONE OR MORE correct answers)

Which of the following is/are seen in the radiograph for tooth 3.6?

29 / 50

29. (Select ONE OR MORE correct answers)

Which of the following is/are seen in the radiograph?

30 / 50

30. (Select ONE OR MORE correct answers)

Which of the following is/are seen in the radiograph?

31 / 50

31. (Select ONE OR MORE correct answers)

Which of the following is/are seen in the radiograph?

32 / 50

32. (Select ONE OR MORE correct answers)

Which of the following is/are seen in the radiograph?

33 / 50

33. (Select ONE OR MORE correct answers)

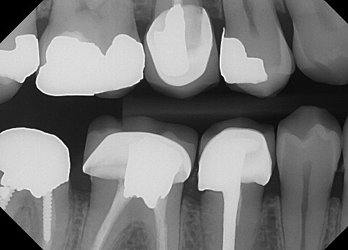
The radiograph shows evidence of calculus on

34 / 50

34. (Select ONE OR MORE correct answers)

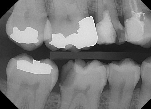
The radiograph shows evidence of calculus on

35 / 50

35. (Select ONE OR MORE correct answers)

Which of the following is/are seen in the radiograph?

36 / 50

36. (Select ONE OR MORE correct answers)

Which of the following is/are seen in the upper right quadrant of this panoramic radiograph?

37 / 50

37. (Select ONE OR MORE correct answers)

Which of the following is/are seen in the radiograph?

38 / 50

38. (Select ONE OR MORE correct answers)

Tooth 1.6 shows evidence of

39 / 50

39. (Select ONE OR MORE correct answers)

Which of the following is/are seen in the radiograph?

40 / 50

40. (Select ONE OR MORE correct answers)

Which of the following is/are seen in the radiograph?

41 / 50

41. (Select ONE OR MORE correct answers)

Which of the following is/are seen in the radiograph?

42 / 50

42. (Select ONE OR MORE correct answers)

Which of the following is/are seen in the radiograph?

43 / 50

43. (Select ONE OR MORE correct answers)

Which of the following is/are seen in the radiograph?

44 / 50

44. (Select ONE OR MORE correct answers)

Which of the following is/are seen in the radiograph?

45 / 50

45. (Select ONE OR MORE correct answers)

Which of the following is/are seen in the radiograph?

46 / 50

46. (Select ONE OR MORE correct answers)

The radiograph shows evidence of calculus on

47 / 50

47. (Select ONE OR MORE correct answers)

Which of the following is/are seen in the radiograph?

48 / 50

48. (Select ONE OR MORE correct answers)

Which of the following is/are seen in the radiograph?

49 / 50

49. (Select ONE OR MORE correct answers)

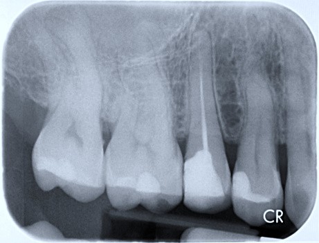
The radiograph shows evidence of calculus on

50 / 50

50. (Select ONE OR MORE correct answers)

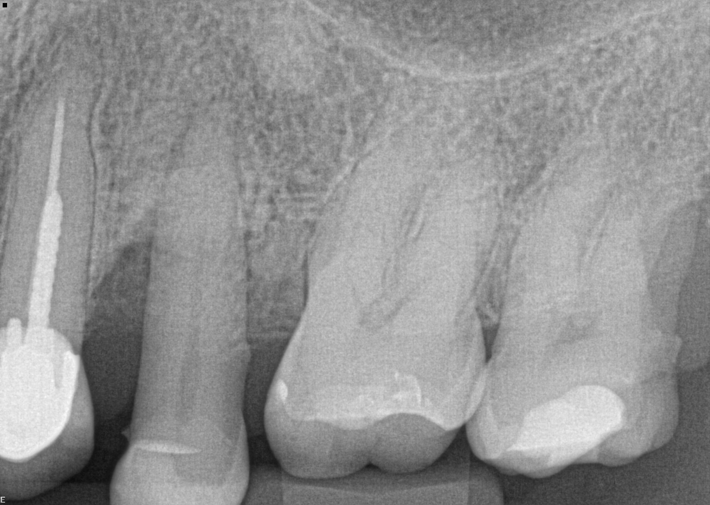
The radiograph shows evidence of periodontal bone loss on

Your score is

The average score is 43%

0%