ACJ Quiz - General Radiology 01

1 / 30

1. (Select ONE OR MORE correct answers)

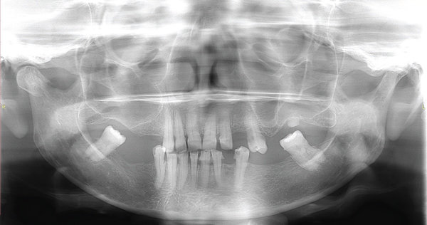
The radiograph shows evidence of

2 / 30

2. (Select ONE OR MORE correct answers)

The radiograph shows evidence of

3 / 30

3. (Select ONE OR MORE correct answers)

The radiograph shows evidence of

4 / 30

4. (Select ONE OR MORE correct answers)

The radiograph shows evidence of

5 / 30

5. (Select ONE OR MORE correct answers)

The radiograph shows evidence of

6 / 30

6. (Select ONE OR MORE correct answers)

The radiograph shows evidence of

7 / 30

7. (Select ONE OR MORE correct answers)

The 13-year-old healthy boy presents with discomfort from lower right. What is/are the most likely diagnosis/es for tooth 4.5?

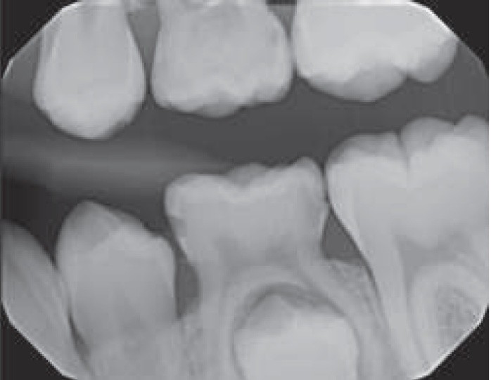
8 / 30

8. (Select ONE OR MORE correct answers)

Tooth 8.4 shows evidence of

9 / 30

9. (Select ONE OR MORE correct answers)

The radiograph shows evidence of

10 / 30

10. (Select ONE OR MORE correct answers)

The radiograph shows evidence of

11 / 30

11. (Select ONE OR MORE correct answers)

The radiograph shows evidence of

12 / 30

12. (Select ONE OR MORE correct answers)

The radiograph shows evidence of

13 / 30

13. (Select ONE OR MORE correct answers)

The radiograph shows evidence of

14 / 30

14. (Select ONE OR MORE correct answers)

The radiograph shows evidence of

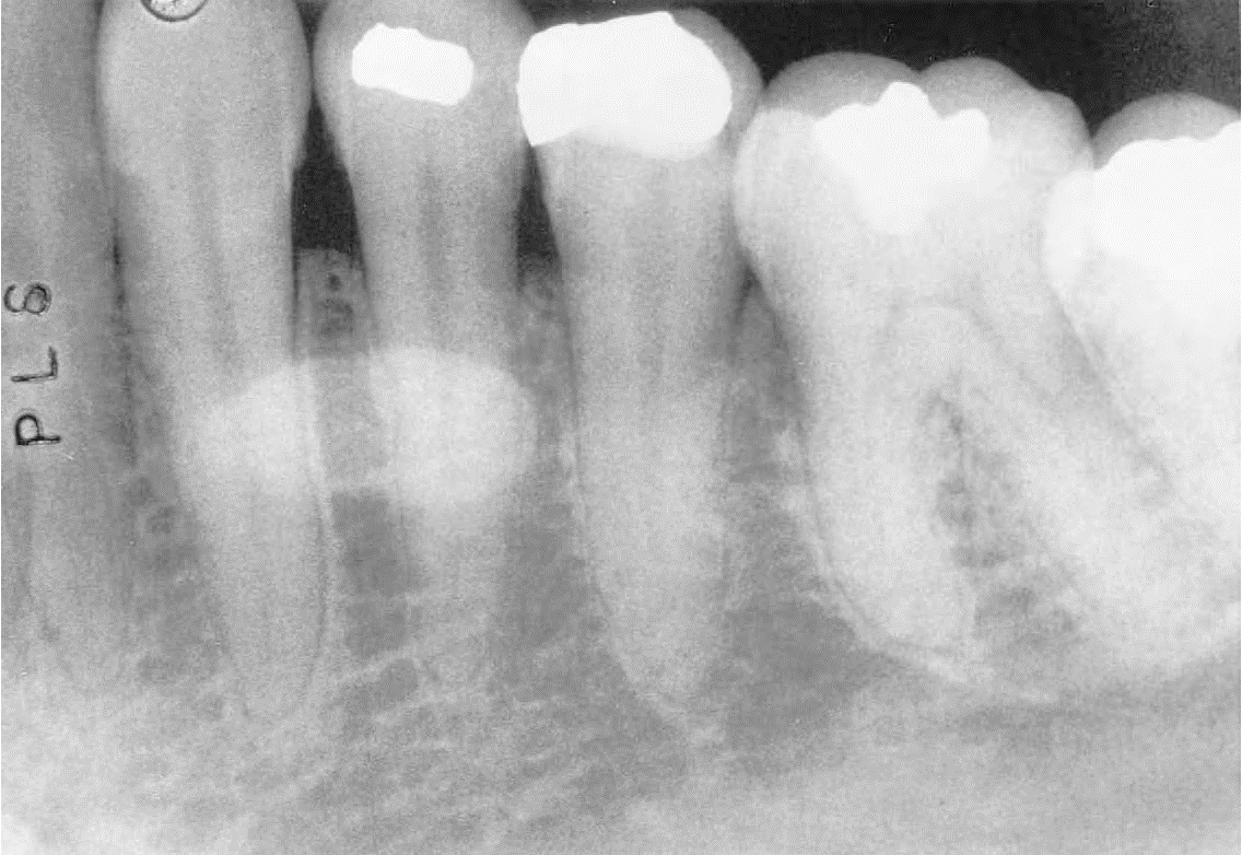
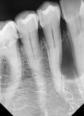
15 / 30

15. (Select ONE OR MORE correct answers)

Tooth 3.6 shows evidence of

16 / 30

16. (Select ONE OR MORE correct answers)

The radiograph shows evidence of

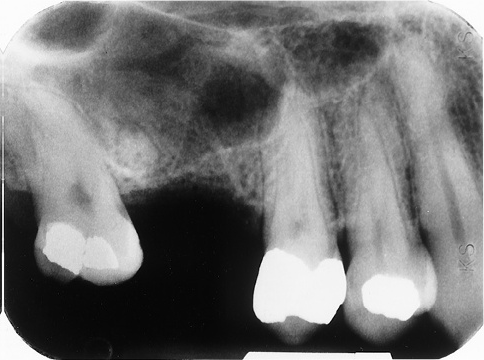
17 / 30

17. (Select ONE OR MORE correct answers)

Which of the following findings is associated with the lower left side of mandible?

18 / 30

18. (Select ONE OR MORE correct answers)

The radiograph shows evidence of

19 / 30

19. (Select ONE correct answer)

What is the most likely diagnosis for the entity shown by the arrow?

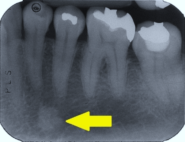
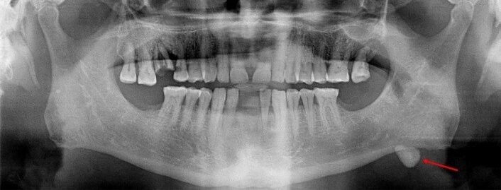
20 / 30

20. (Select ONE OR MORE correct answers)

The radiograph shows evidence of

21 / 30

21. (Select ONE OR MORE correct answers)

The radiograph shows evidence of

22 / 30

22. (Select ONE OR MORE correct answers)

The radiograph shows evidence of

23 / 30

23. Select ONE correct answer.

What is the entity indicated by the arrow?

24 / 30

24. (Select ONE OR MORE correct answers)

The radiograph shows evidence of

25 / 30

25. (Select ONE OR MORE correct answers)

The radiograph shows evidence of

26 / 30

26. Select ONE OR MORE correct answers)

The radiograph shows evidence of

27 / 30

27. Select ONE OR MORE correct answers)

The radiograph shows evidence of

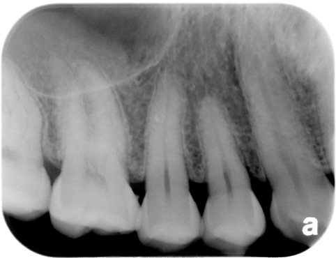
28 / 30

28. (Select ONE OR MORE correct answers)

Tooth 3.6 shows evidence of

29 / 30

29. (Select ONE OR MORE correct answers)

The radiograph shows evidence of

30 / 30

30. (Select ONE OR MORE correct answers)

The radiograph shows evidence of

Your score is

The average score is 52%

0%