ACJ Quiz - General Radiology 02

1 / 25

1. (Select ONE OR MORE correct answers)

The radiograph shows evidence of

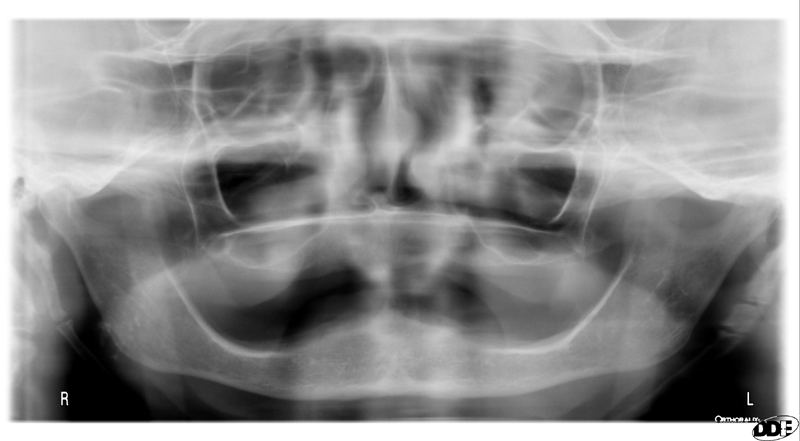
2 / 25

2. (Select ONE OR MORE correct answers)

The radiograph shows evidence of

3 / 25

3. (Select ONE OR MORE correct answers)

The radiograph shows evidence of

4 / 25

4. (Select ONE OR MORE correct answers)

The radiograph shows evidence of

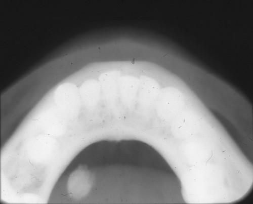
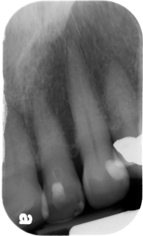
5 / 25

5. (Select ONE OR MORE correct answers)

The radiograph shows evidence of

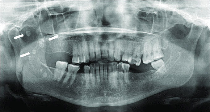
6 / 25

6. (Select ONE correct answer)

What is the most likely entity indicated by arrows?

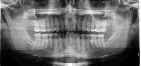
7 / 25

7. (Select ONE correct answer)

What is the most likely diagnosis for this patient?

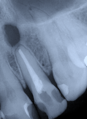
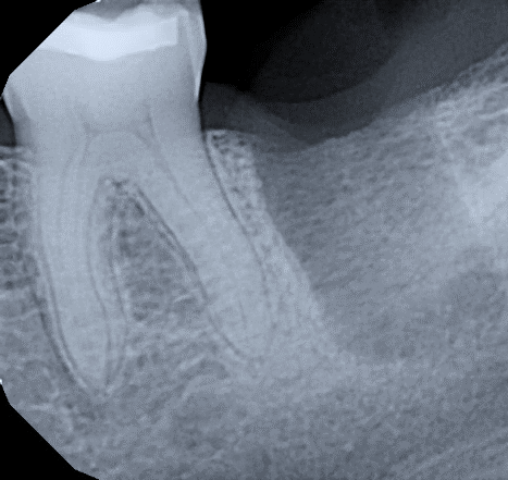
8 / 25

8. (Select ONE correct answer)

What is the most likely diagnosis for the lesion associated with tooth 3.8?

9 / 25

9. (Select ONE or MORE correct answer)

The radiograph shows evidence of

10 / 25

10. (Select ONE or MORE correct answer)

The radiograph shows evidence of

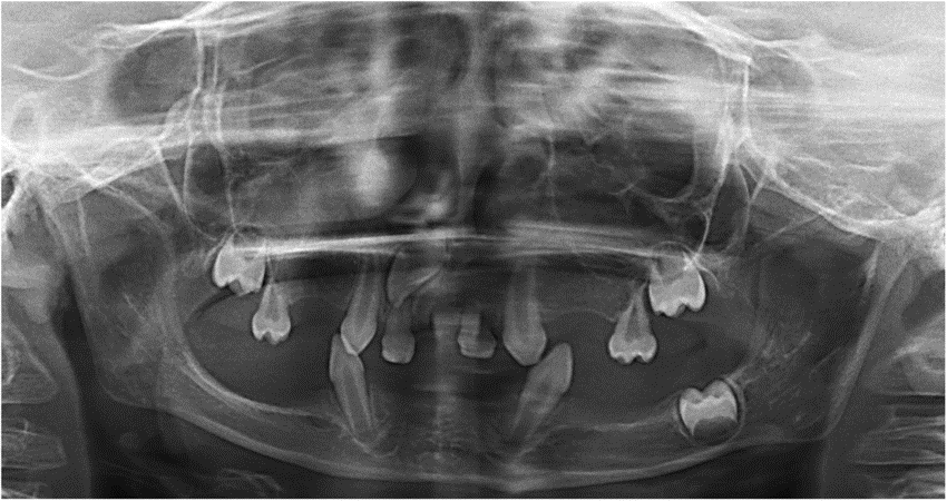
11 / 25

11. (Select ONE correct answer)

What is the most likely diagnosis for the lesion associated with the lower right side of the mandible?

12 / 25

12. (Select ONE correct answer)

This patient most likely suffers from

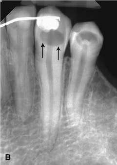
13 / 25

13. (Select ONE correct answer)

What is the entity indicated by the arrow(s)?

14 / 25

14. (Select ONE correct answer)

What is the entity indicated by the arrow(s)?

15 / 25

15. (Select ONE correct answer)

What is the most likely diagnosis for the entity associated with lower left mandible?

16 / 25

16. (Select ONE or MORE correct answer)

The radiograph shows evidence of

17 / 25

17. (Select ONE or MORE correct answer)

The radiograph shows evidence of

18 / 25

18. (Select ONE or MORE correct answer)

The radiograph shows evidence of

19 / 25

19. (Select ONE or MORE correct answer)

The radiograph shows evidence of

20 / 25

20. (Select ONE or MORE correct answer)

The radiograph shows evidence of

21 / 25

21. (Select ONE or MORE correct answer)

The radiograph shows evidence of

22 / 25

22. (Select ONE or MORE correct answer)

The radiograph shows evidence of

23 / 25

23. (Select ONE or MORE correct answer)

The radiograph shows evidence of

24 / 25

24. (Select ONE or MORE correct answer)

The radiograph shows evidence of

25 / 25

25. Select ONE correct answer.

What is the most likely diagnosis?

Your score is

The average score is 62%

0%