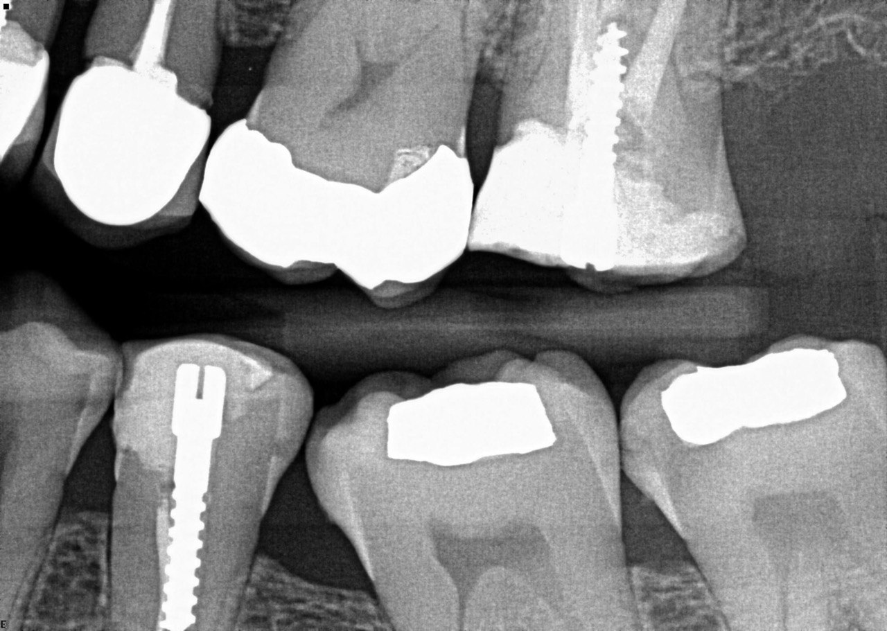
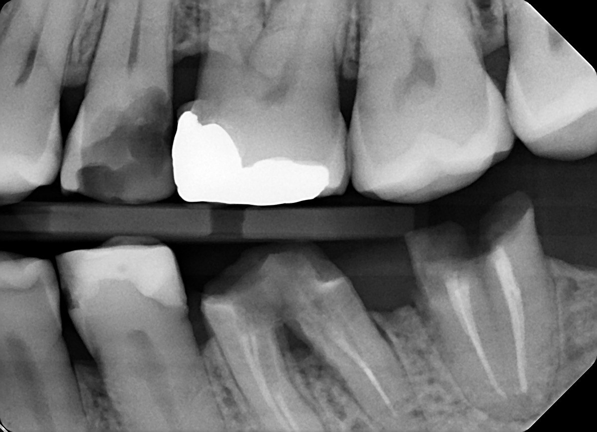
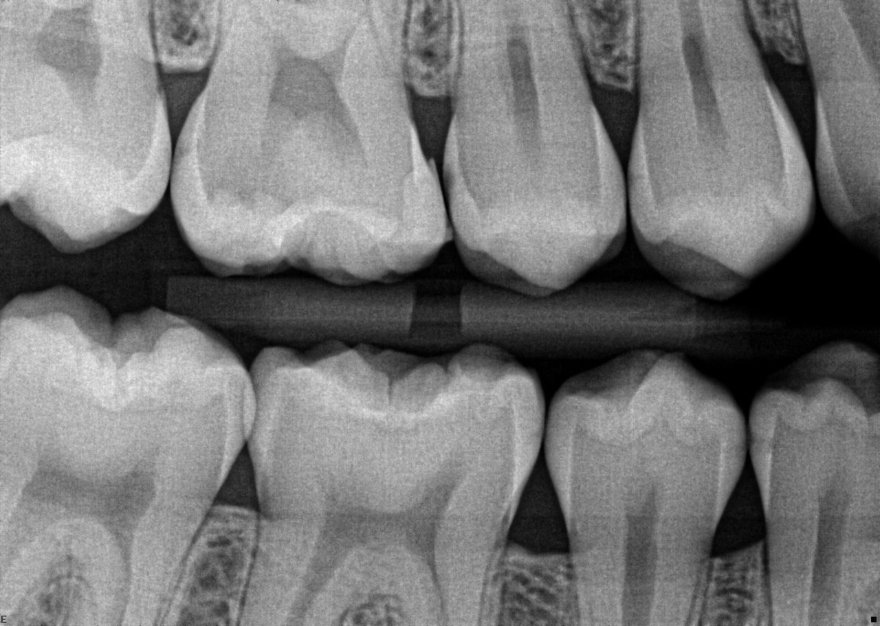
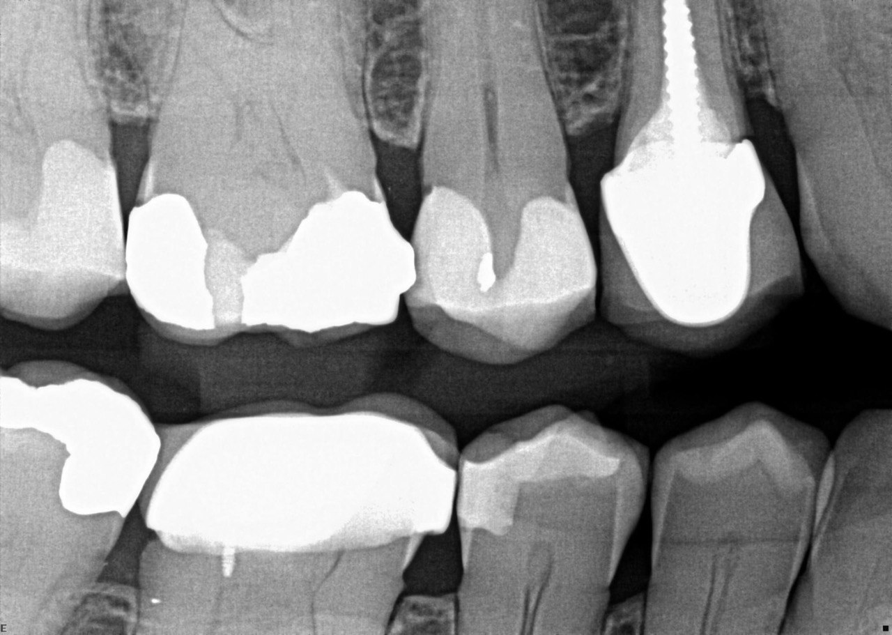
ACJ Quiz - Dental caries 02

1 / 50

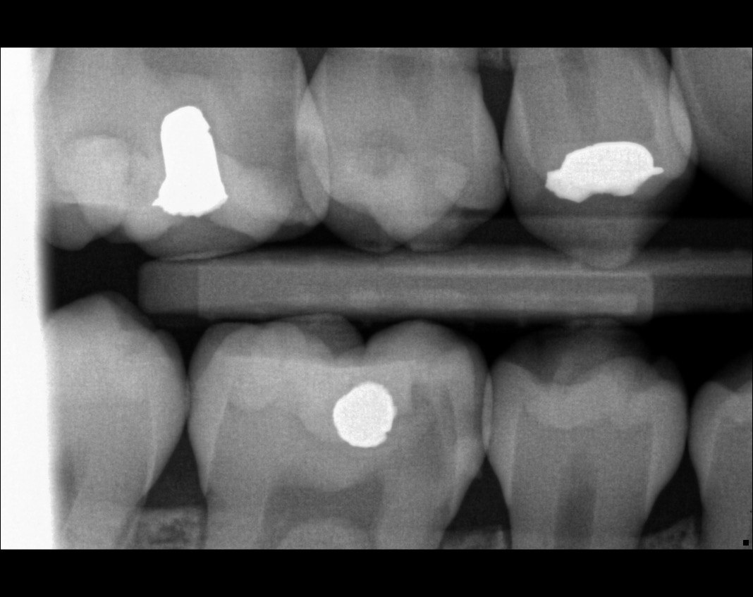
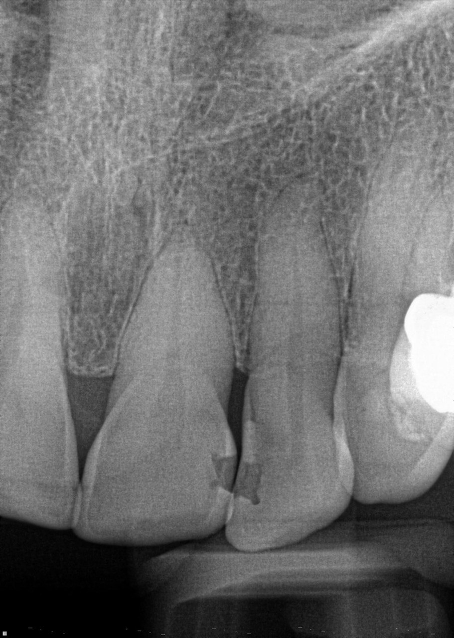
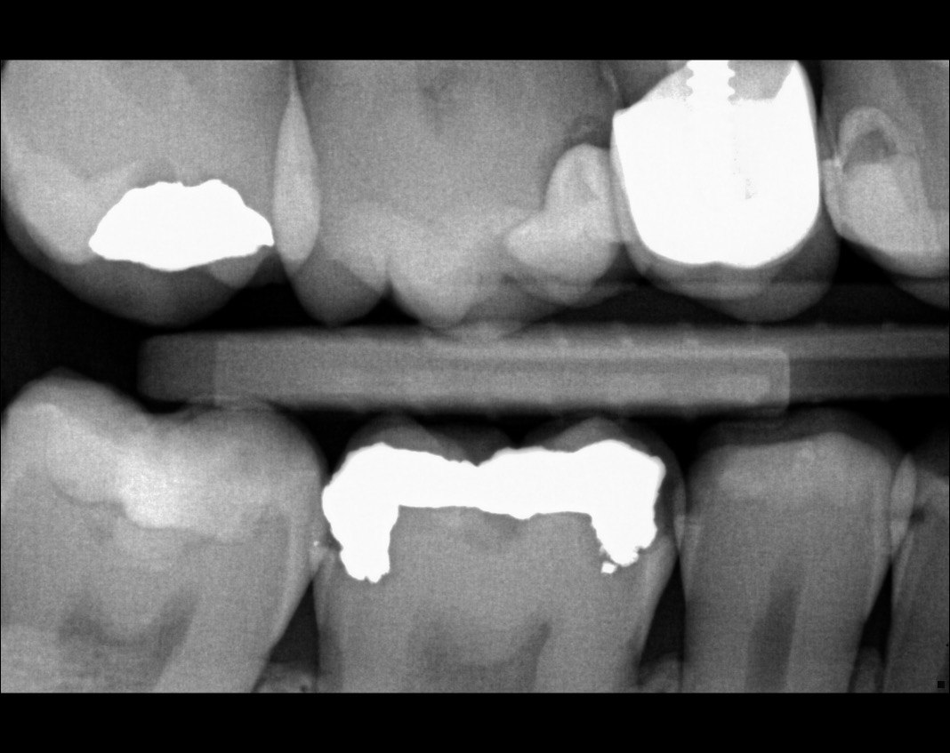
Question 1: What is the condition of the mesial surface of the tooth # 2.6?

2 / 50

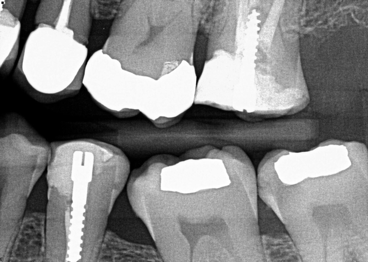
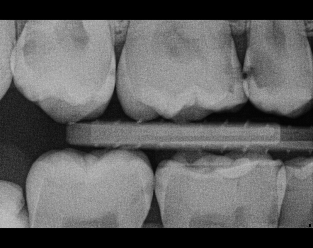
Question 2. What is the condition of the mesial of the tooth # 2.7?

3 / 50

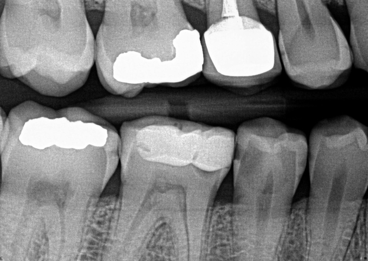
Question 3. What is the condition of the distal surface of the tooth # 2.7 and mesial surface of the tooth # 2.8 respectively?

4 / 50

Question 4: what is the condition of the distal of the tooth # 4.1 and mesial of the tooth #3.1 respectively?

5 / 50

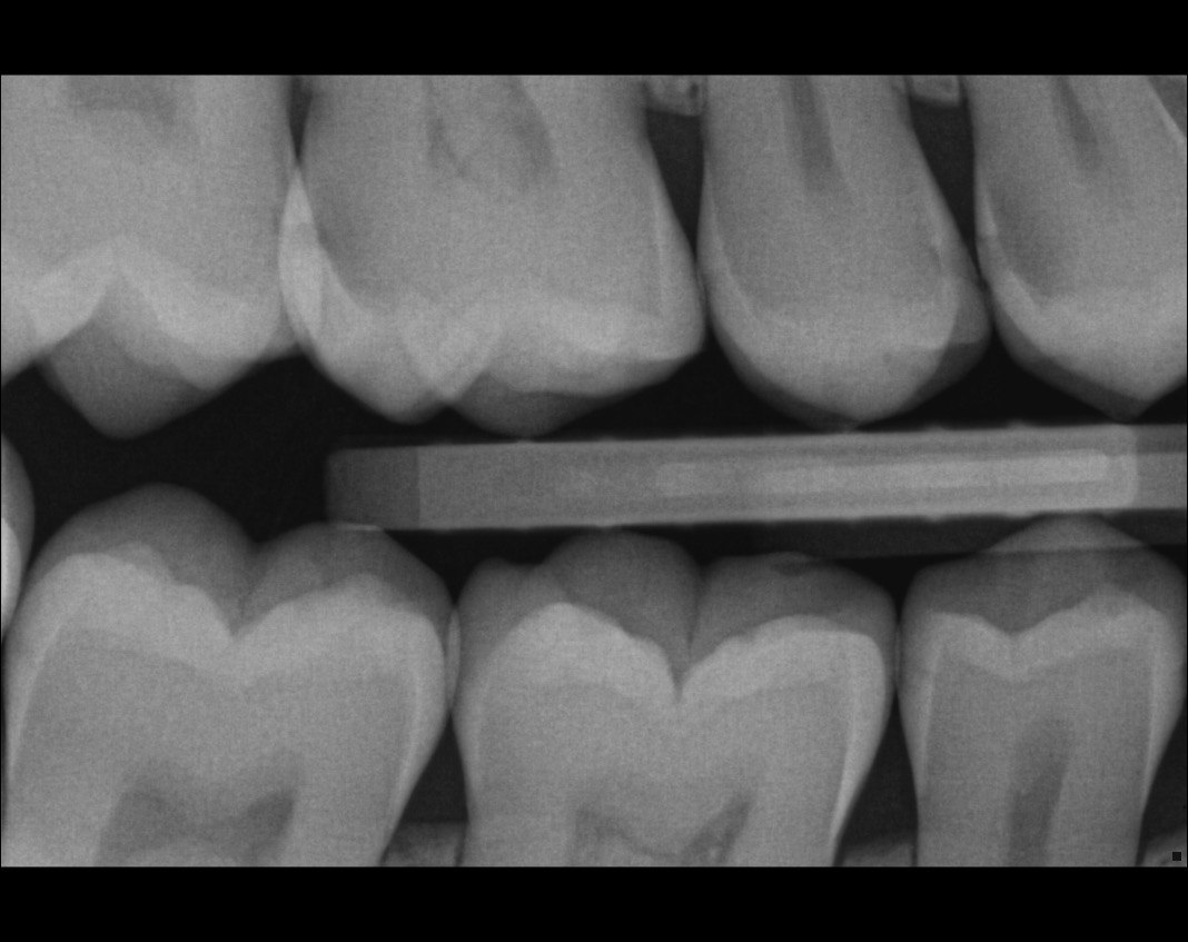
Question 5: Which surface shows recurrent caries?

6 / 50

Question 6: Which surface shows recurrent caries?

7 / 50

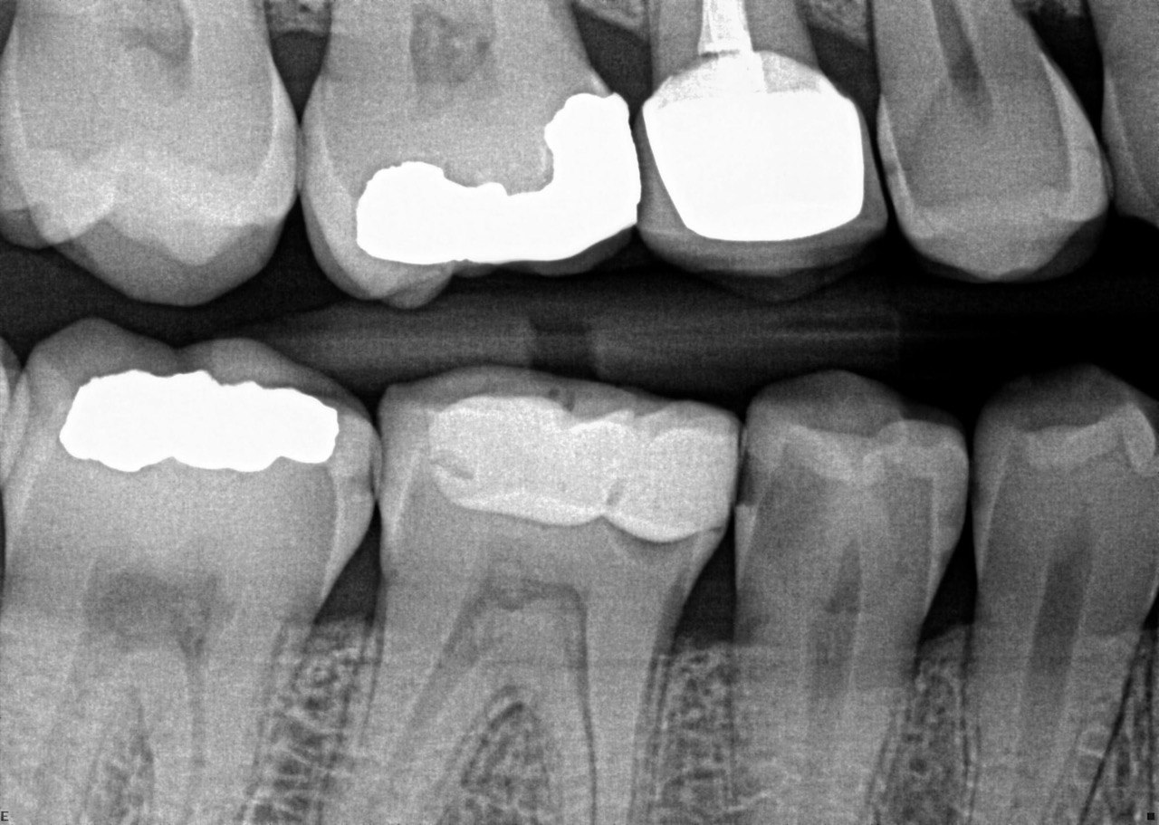
Question 7: What are the options associated with the distal surface of the tooth # 2.1 and mesial surface of the tooth # 2.2 respectively?

8 / 50

Question 8: What is the condition associated with the occlusal surface of the tooth # 1.6?

9 / 50

Question 9: What is the condition associated with the mesial and distal surfaces of the tooth # 1.4 respectively?

10 / 50

Question 10: What is the condition of the distal surfaces of the teeth # 1.5 and 1.6 respectively?

11 / 50

Quistion 11: What are the conditions of the distal and mesial surfaces of the tooth # 4.5 respectively?

12 / 50

Question 12: What option can describe the mesial surface of the tooth # 3.7?

13 / 50

Question 13: What option can describe the mesial surface of the tooth # 3.8?

14 / 50

Question 14: What option can describe the mesial surface of the tooth # 3.4?

15 / 50

Question 15: What option can be selected for treatment of the caries in mesial surface of the tooth # 3.4?

16 / 50

Question 16: What option can be chosen for the treatment of the mesial surface of the tooth # 3.7?

17 / 50

Question 17: What are the caries extention in distal of the tooth # 2.4 and mesial surface of the tooth # 2.5 respectively?

18 / 50

Question 18: What is the option that can describe the distal surface of the tooth # 1.7?

19 / 50

Question 19: What is the option that can describe the mesial surface of the tooth # 1.8?

20 / 50

Question 20: What is the option that can describe the distal surface of the tooth # 4.5?

21 / 50

Question 21: What options can describe the mesial and distal surfaces of the tooth # 4.7 respectively?

22 / 50

Question 22: What codition cannot be seen in the lower teeth in this X ray?

23 / 50

Question 23: What option can describe the distal surface of the tooth # 4.5?

24 / 50

Question 24: Which condition can be detected in the following X ray?

25 / 50

Question 25: What treatment is appropriate for distal surface of the tooth # 3.4 and mesial surface of the tooth # 3.5?

26 / 50

Question 26: What is the option explaining the distal surface of the tooth # 2.6 and mesial surface of the tooth # 2.7 respectively?

27 / 50

Question 27:  What is the option explaining the distal surface of the tooth # 2.5 and distal surface of the tooth # 2.4 respectively?

28 / 50

Question 28: What is the option explaining the distal surface of the tooth # 2.5?

29 / 50

Question 29: What is the option explaining the Mesial surface of the tooth # 2.5 and distal of tooth # 2.4 respectively?

30 / 50

Question 30: What option can be seen on the lower jaw of the following X ray?

31 / 50

Question 31: Which options can be selected for the following X ray?

32 / 50

Question 32: Which surface need restoration?

33 / 50

Question 33: What is the condition in mesial of tooth # 4.6?

34 / 50

Question 34: What is the level of caries on mesial of the tooth # 1.6?

35 / 50

Question 35: Which surface shows recurrent caries?

36 / 50

Question 36: What is the caries on distal surface tooth # 1.5?

37 / 50

37: What is the caries on mesial surface of tooth # 2.6 and distal surface of tooth # 2.5 respectivel?

38 / 50

38. What is the condition of the distal surface of tooth # 1.4 and mesial tooth surface tooth # 1.6?

39 / 50

39. What is the caries on distal tooth # 2.6 ?

40 / 50

40. What is the caries on mesial tooth #3.6 ?

41 / 50

41. What options can be selected for the following X ray?

42 / 50

42. What is the caries on mesial surface of the tooth # 3.6?

43 / 50

43. Which surfaces require restoration?

44 / 50

44. What is the condition on distal surface of the tooth # 4.4?

45 / 50

45. What is the condition on mesial surface of the tooth # 1.5?

46 / 50

46. which teeth shows evidece of occlusal recurrent caries?

47 / 50

47. Which option does not describe the X ray bellow correctly?

48 / 50

48. Which tooth shows recurrent caries?

49 / 50

49. Which surface shows a RA1 caries?

50 / 50

50. Which option is evident on the print of the X ray?

Your score is

The average score is 63%

0%