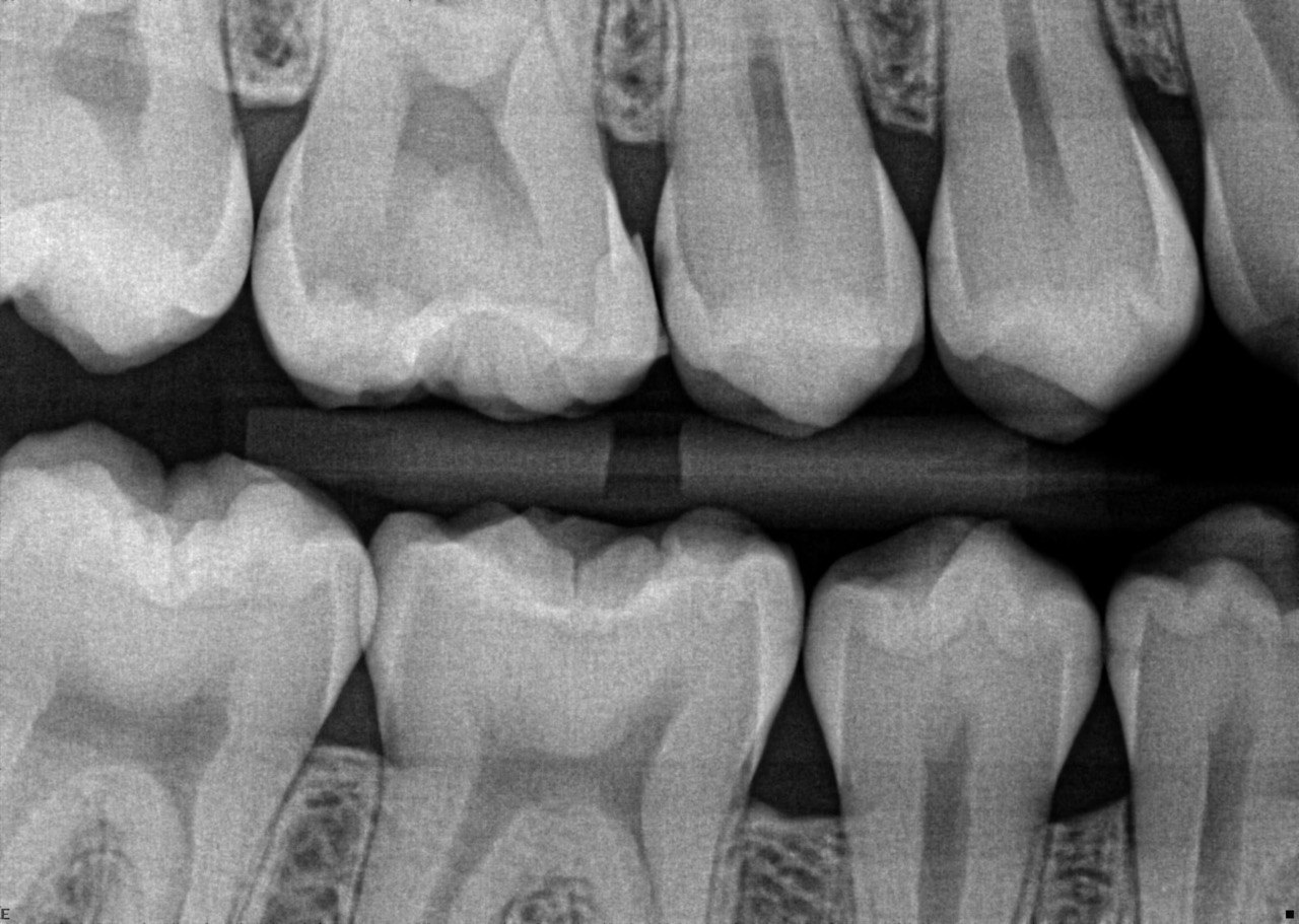
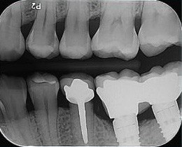
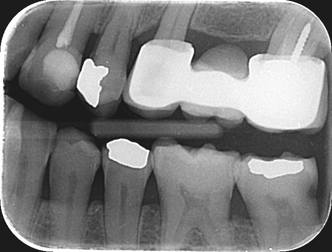
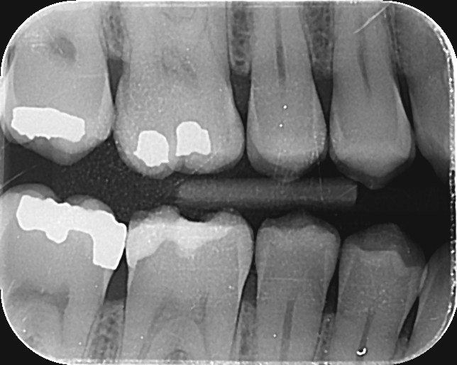
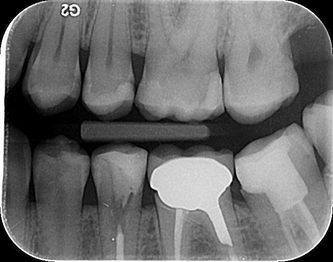
ACJ Quiz - Dental caries 01

1 / 50

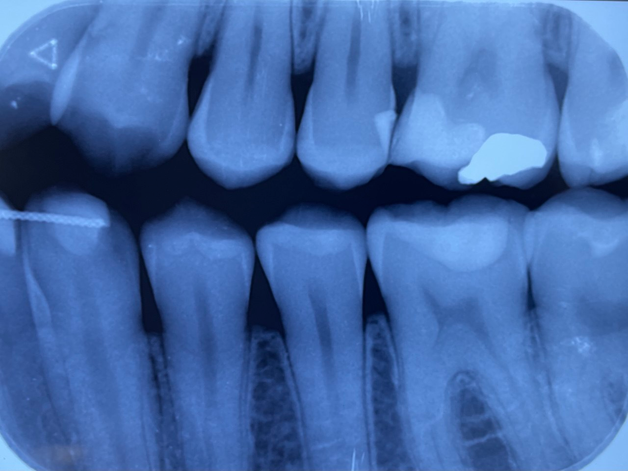
1. Which surfaces shows dental caries?

2 / 50

2. Which surface needs restoration?

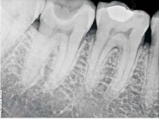
3 / 50

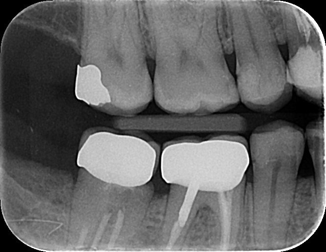
3. What is the caries level on the distal surface of the tooth # 3.6?

4 / 50

4. Which surface needs restoration?

5 / 50

5. Which surface needs restoration?

6 / 50

6: What is the caries level of mesial of the tooth # 3.6?

7 / 50

7: What is the caries level of Distal of the tooth # 3.6?

8 / 50

8. Which surface needs restoration?

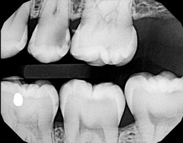
9 / 50

9. Which surfaces shows root caries?

10 / 50

10: What is the caries level on occlusal of the tooth # 2.7?

11 / 50

11. What is the caries level of the distal surface of the toot # 3.5?

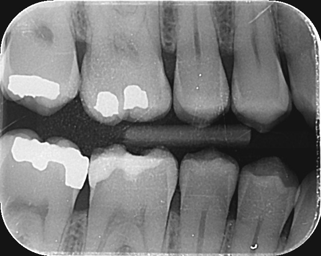
12 / 50

12. Which surface shows Cervical burn out?

13 / 50

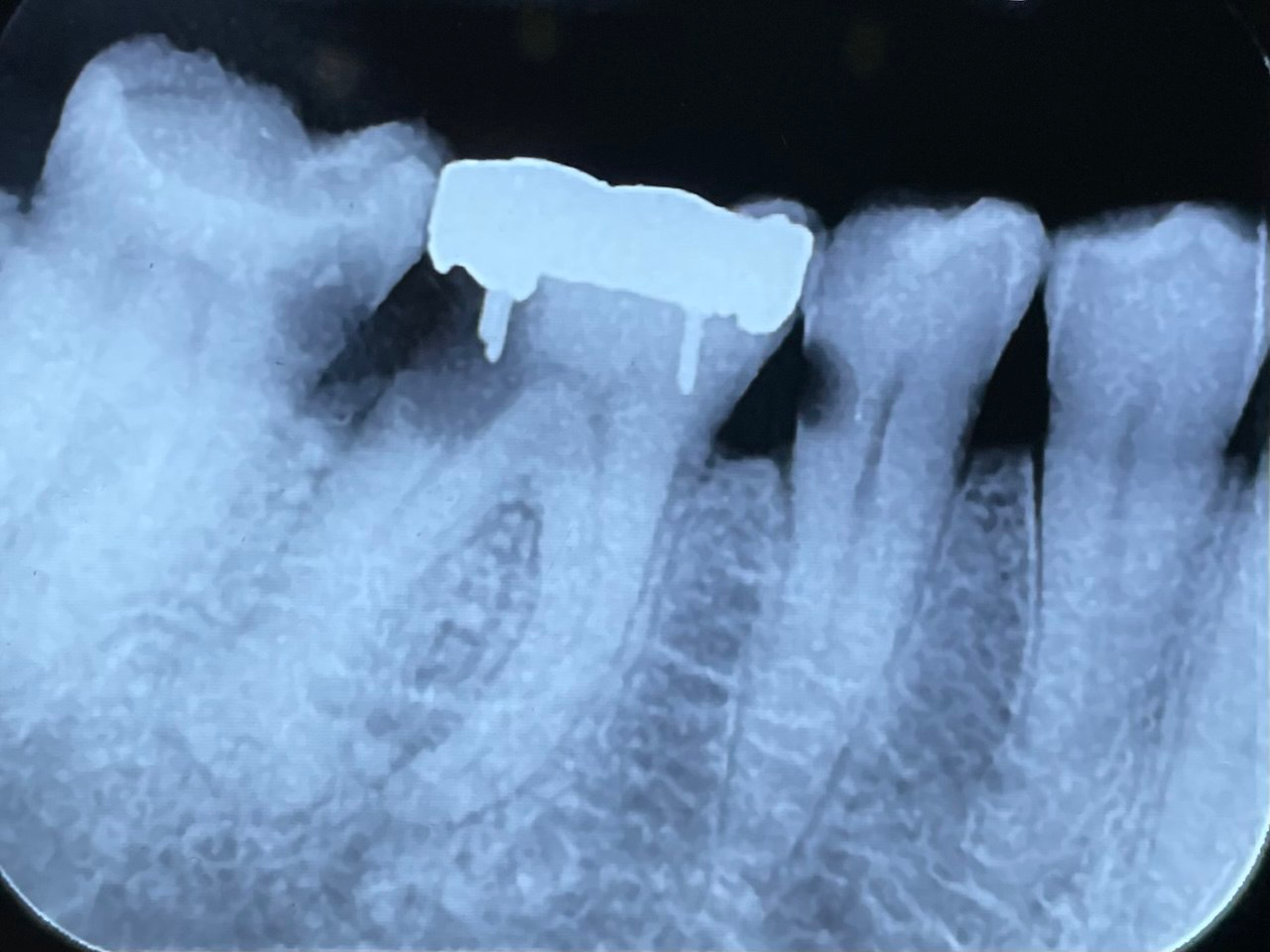
13. what are the radiolucency features in mesial and distal root surface of the tooth # 4.5 respectively?

14 / 50

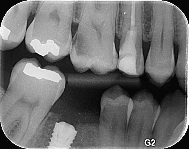
14. Which surfaces shows recurrent caries?

15 / 50

15. Which surface shows recurrent caries?

16 / 50

16. What are the caries level in mesial and distal surfaces of the tooth # 4.6 respectively?

17 / 50

17. What is the Caries level on distal surface of the tooth # 3.5?

18 / 50

18. Which surfaces need restoration?

19 / 50

19. What are the caries level in mesial surface of tooth # 3.8 and distal surface of tooth # 3.7 respectively?

20 / 50

20. What is the caries level in distal root surface of the tooth # 2.5?

21 / 50

21. What is the caries on mesial surface of tooth # 2.7?

22 / 50

22. What is the caries level of distal surface of tooth # 3.3?

23 / 50

23. What is the caries on distal surface of the tooth #2.4?

24 / 50

24. What are the caries level in distal surface th # 4.4, Mesial surface tooth # 4.5 respectively?

25 / 50

25. What are the caries level in distal surface of the tooth # 1.4, Mesial surface of the tooth # 1.5 respectively?

26 / 50

26. What are the caries on distal surface of the tooth # 4.6 and mesial surface of the tooth # 4.7?

27 / 50

27.  what is the condition of the distal surface of the tooth # 4.5?

28 / 50

28. What are the coditions in the distal surface of the tooth # 4.5 and mesial surface f the tooth # 4.7 respectively?

29 / 50

29. What is the condition of the distal surface of the tooth # 4.7?

30 / 50

30. What are the conditions in the distal root surface of the tooth # 3.7 and distal root surface of the tooth # 3.8 respectively?

31 / 50

31. What is the condition of the occlusal of the tooth surface of the tooth # 4.7?

32 / 50

32. Which surfaces needs restoration?

33 / 50

33. What is the caries level of the distal surface of the tooth # 1.6?

34 / 50

34. What is the proper tretment for mesial surface of the tooth # 1.6?

35 / 50

35. What is the condition of the distal surface of the tooth # 4.7?

36 / 50

36. What is the caries level of the distal surface of the tooth # 3.4 and mesial surface of the tooth # 3.5 respectively?

37 / 50

37. What is the caries level of distal of the tooth # 3.6?

38 / 50

38. Which surfaces shows recurrent caries?

39 / 50

39. What are the caries level in distal surface of the tooth # 3.4 and mesial surface of the tooth # 3.5?

40 / 50

40. Which surfaces shows recurrent caries?

41 / 50

41. Which surface shows root caries?

42 / 50

42. Which surfaces shows recurrent caries?

43 / 50

43. Which surface shows recurrent caries?

44 / 50

44. What is the caries level of mesial of the toth # 1.6?

45 / 50

45. Which surface shows recurrent caries?

46 / 50

46. Which teeth shows recurrent caries?

47 / 50

47. Which surface(s) shows recurrent caries?

48 / 50

48. Which surface does not show caries?

49 / 50

49. Which surface needs restoration?

50 / 50

50. Which surface(s) shows recurrent caries?

Your score is

The average score is 67%

0%