ACJ Quiz - Crowns

1 / 33

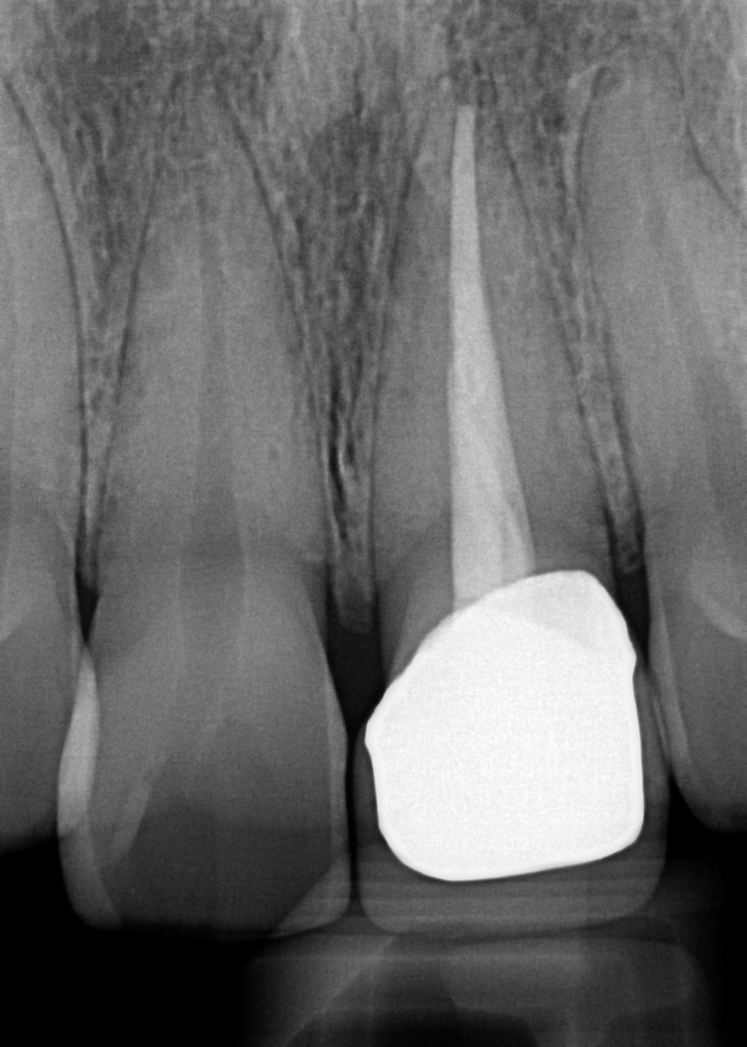
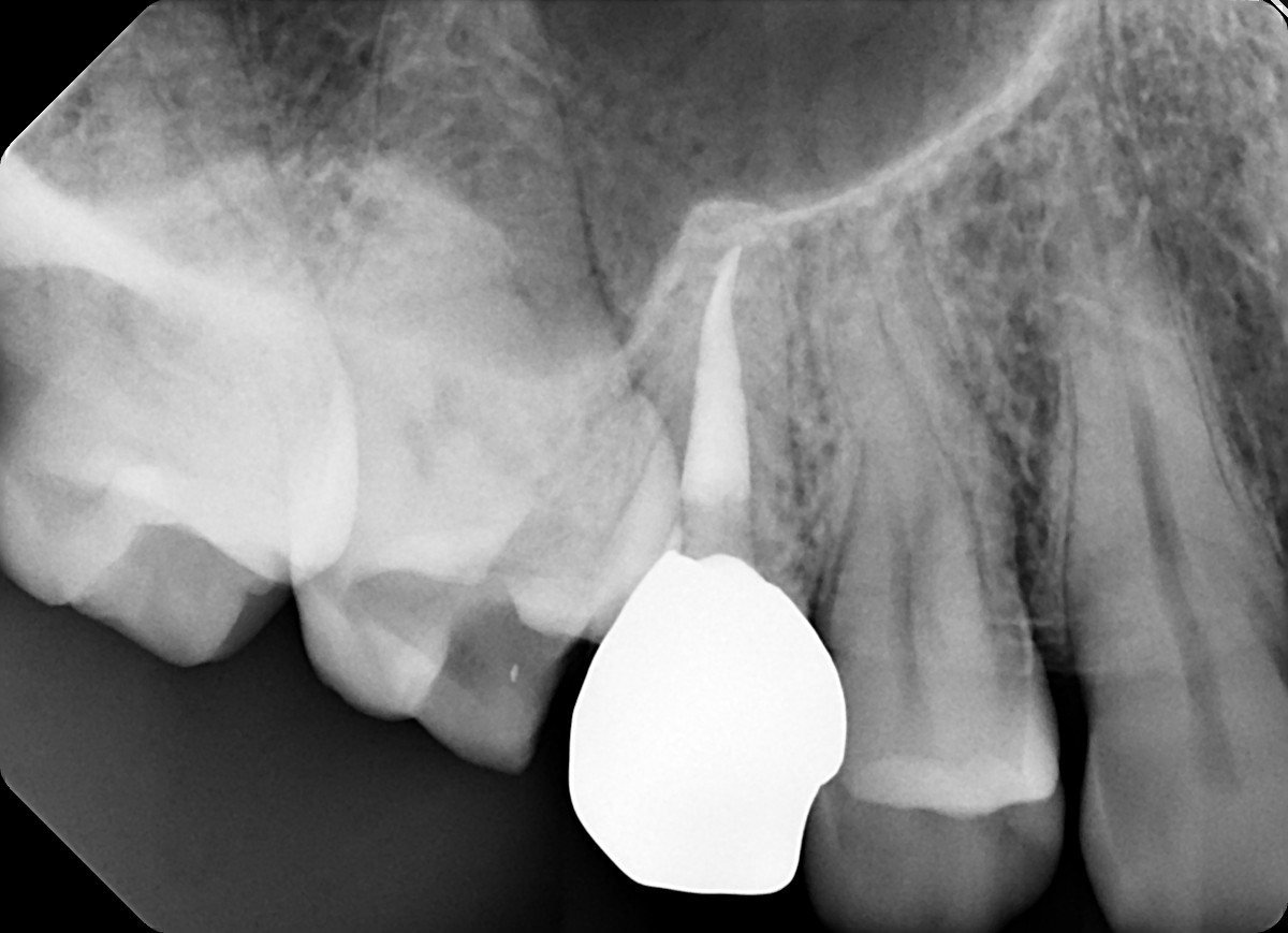
1. What option can explain the crown of the tooth # 1.4?

2 / 33

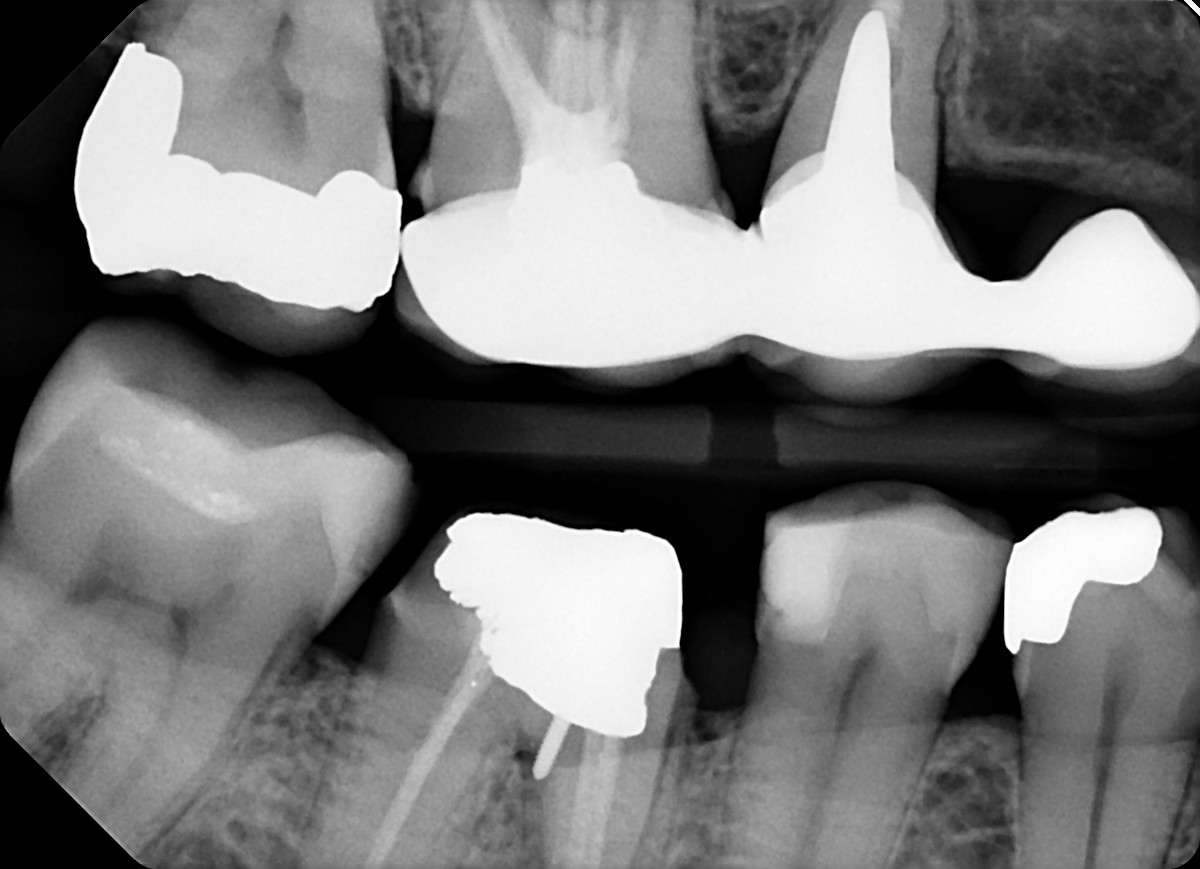
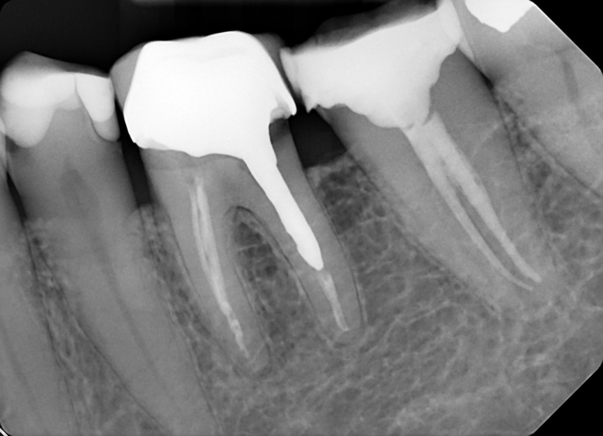
2. What option can be selected for the X ray bellow?

3 / 33

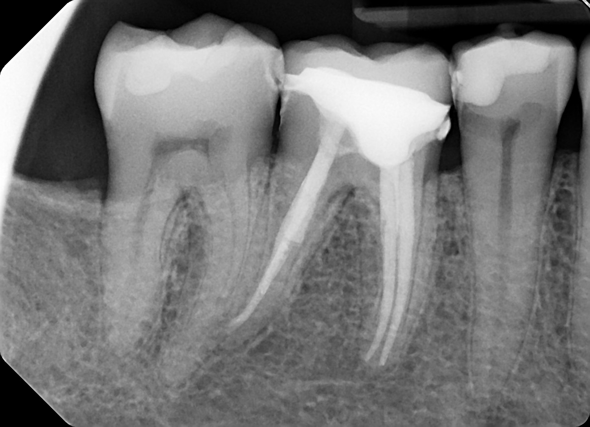
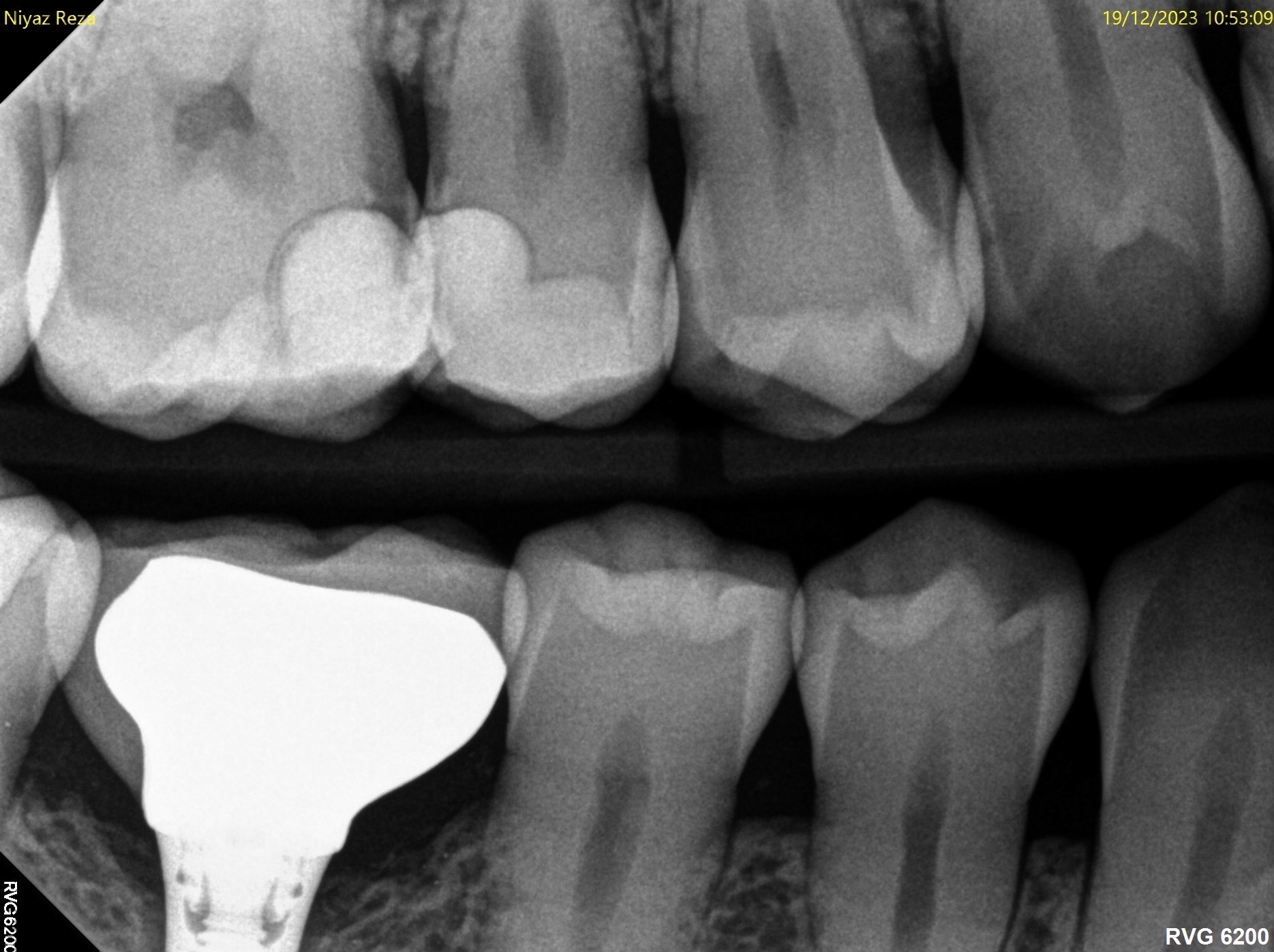
3. What option can explain the crown of the tooth #3.6?

4 / 33

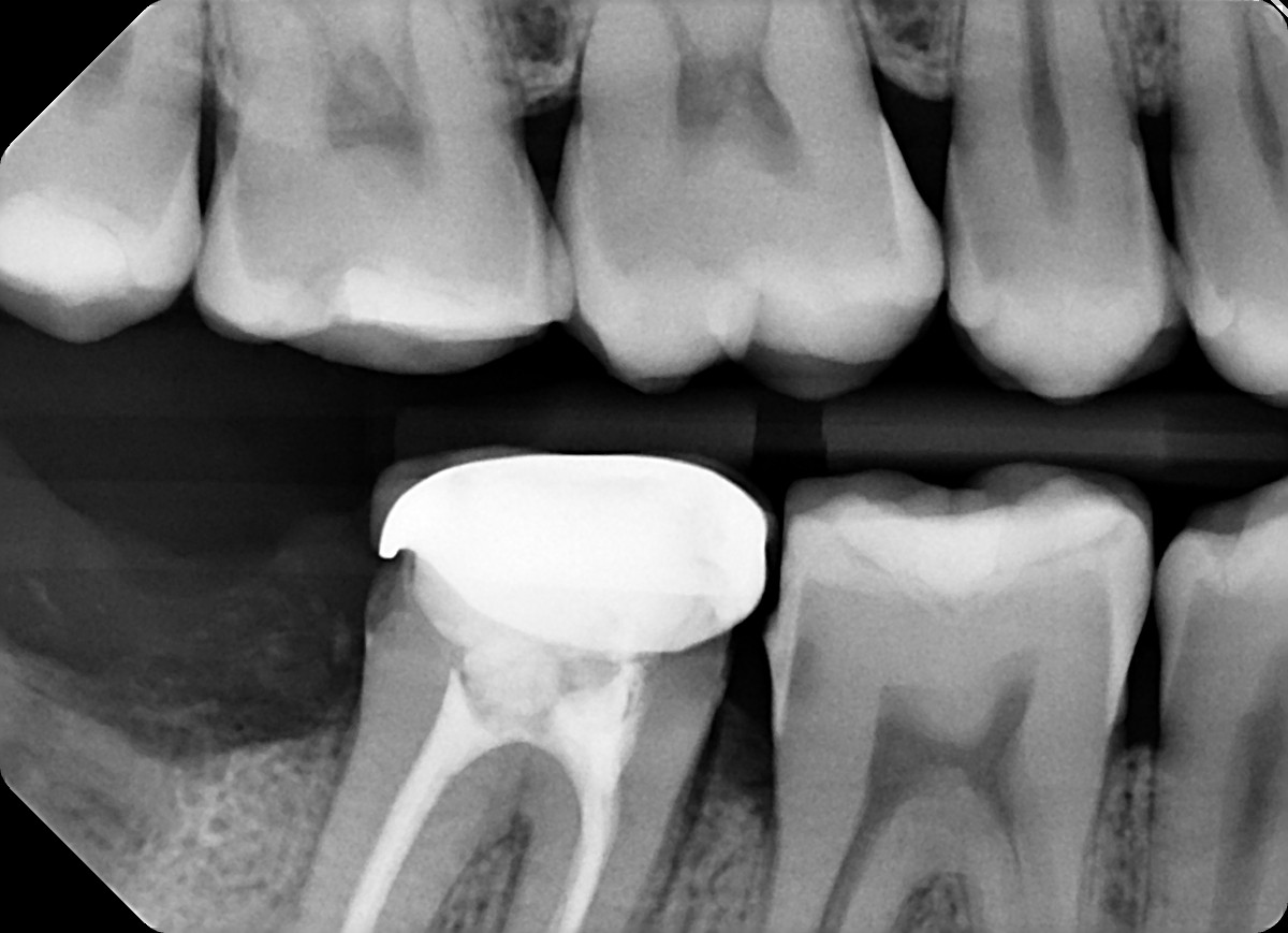
4. What option can explain the crown of the tooth #4.7?

5 / 33

5. What option can explain the crown of the tooth #2.6?

6 / 33

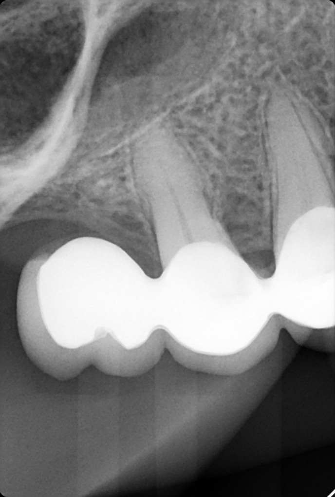
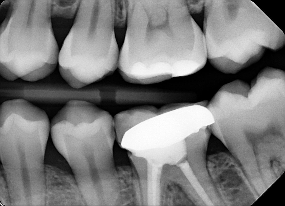
6. What option can explain the crowns in the X ray bellow?

7 / 33

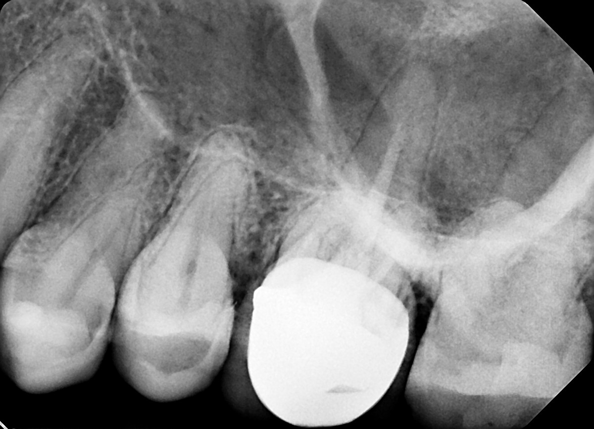
7. What option can explain the crown of the tooth #2.1?

8 / 33

8. What option can explain the crown of the tooth #4.6?

9 / 33

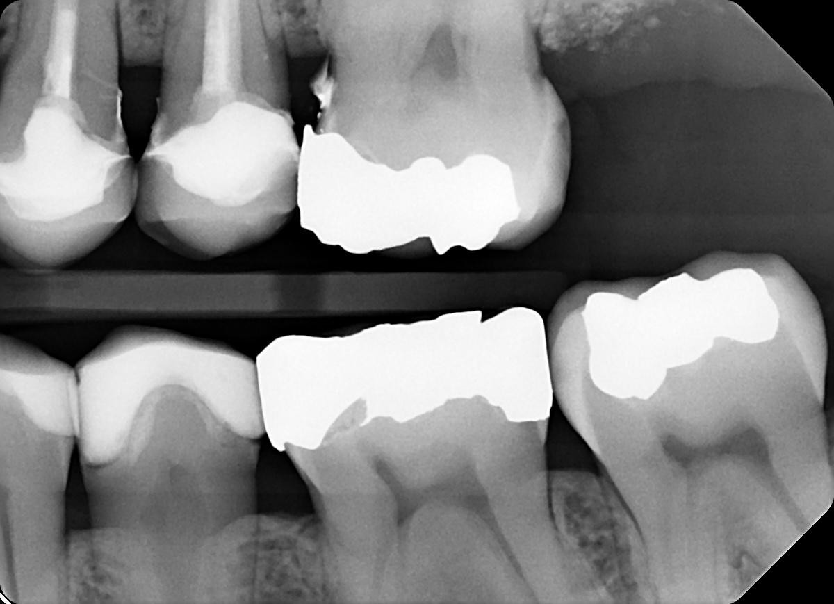
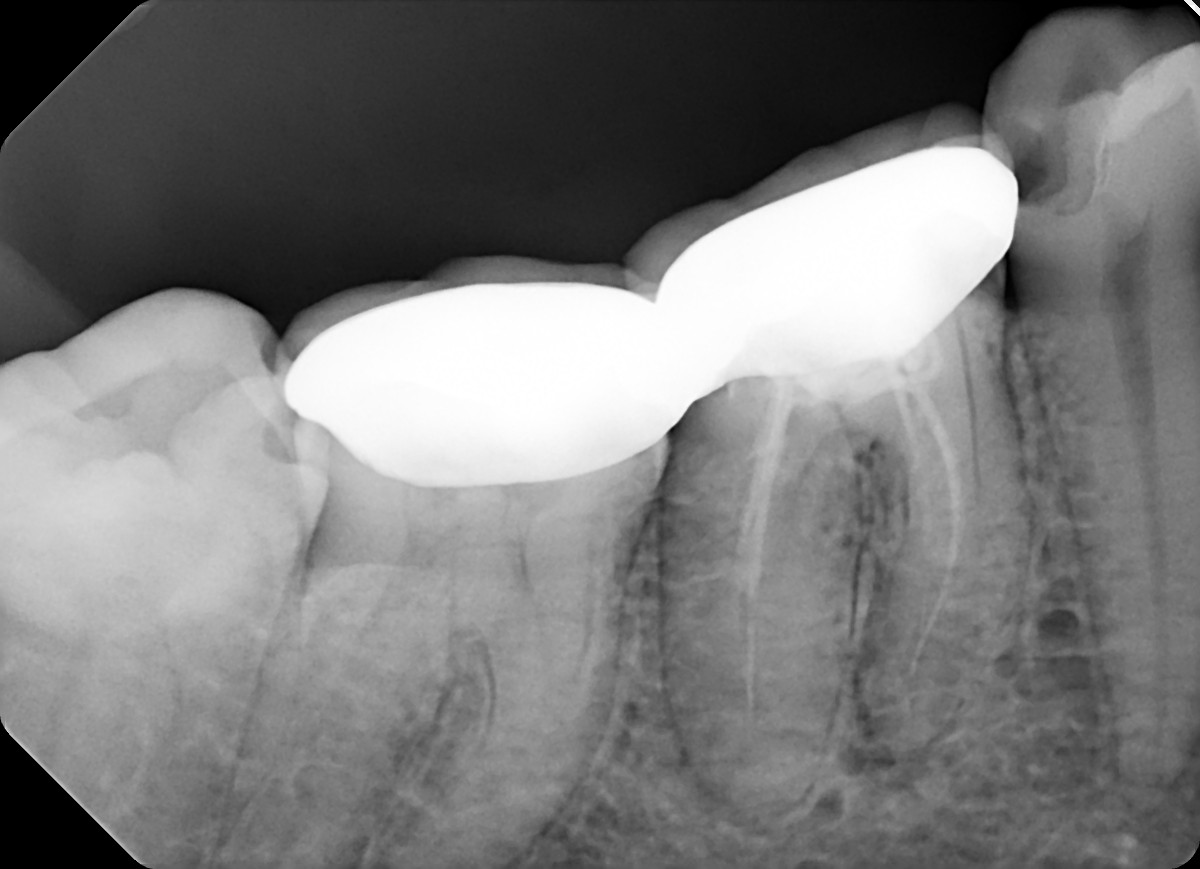
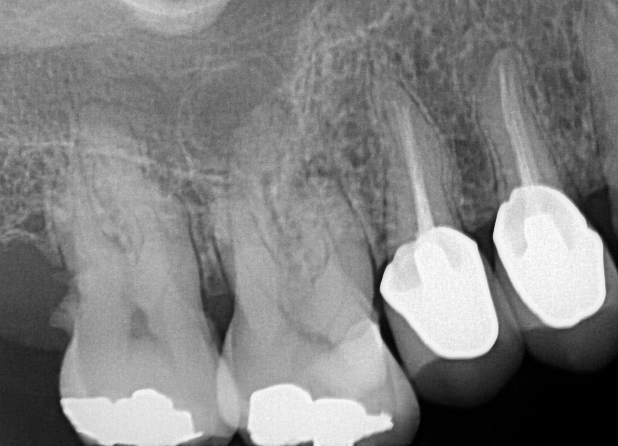
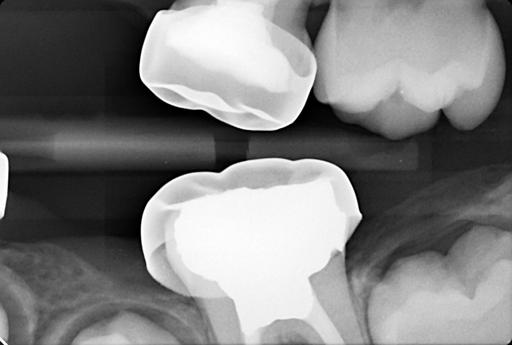
9. What option can explain the restoration on the Xray bellow?

10 / 33

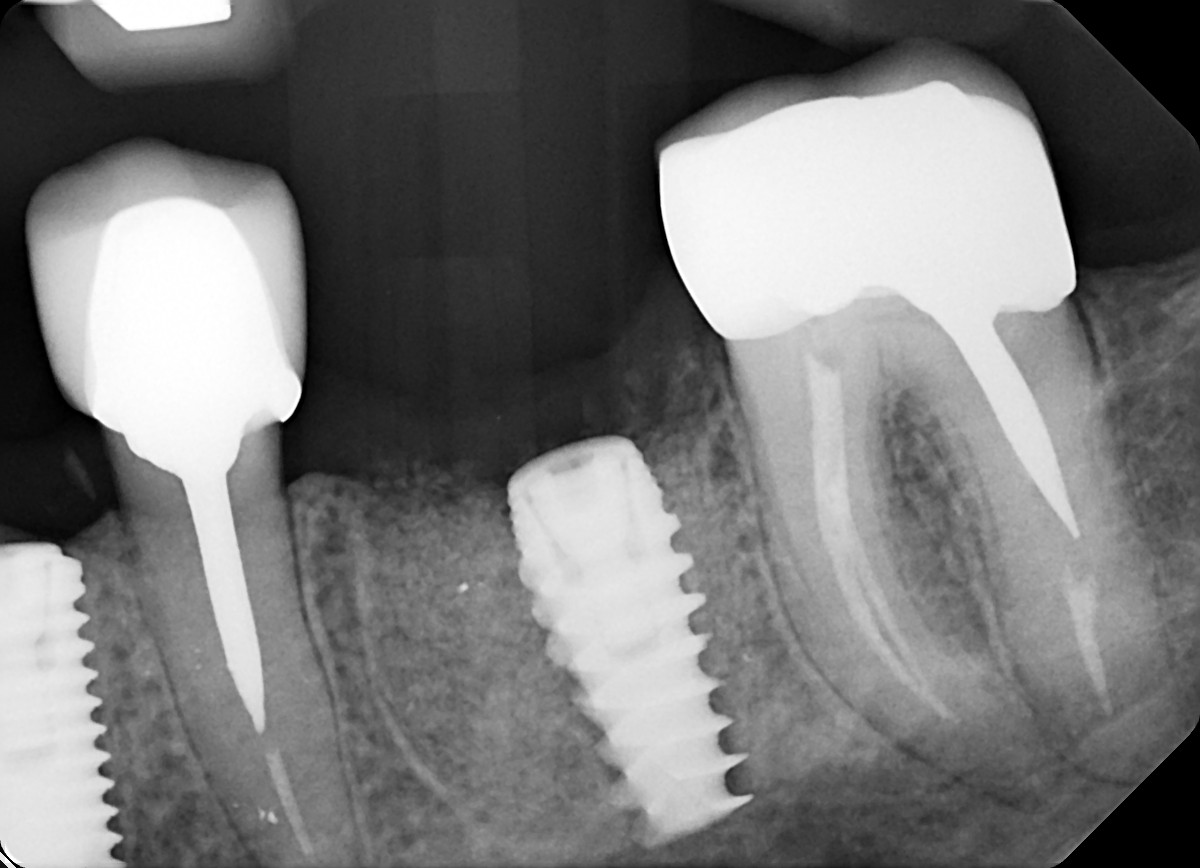
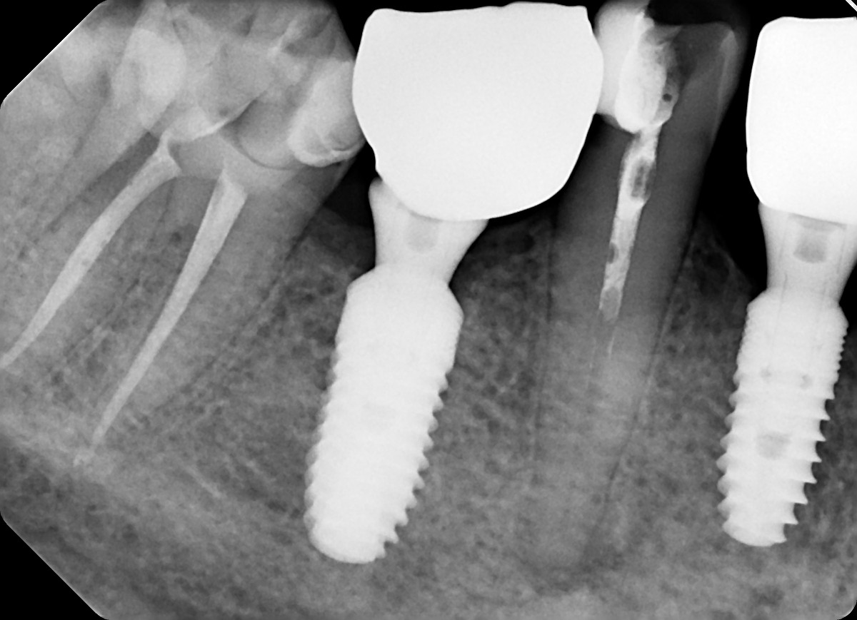
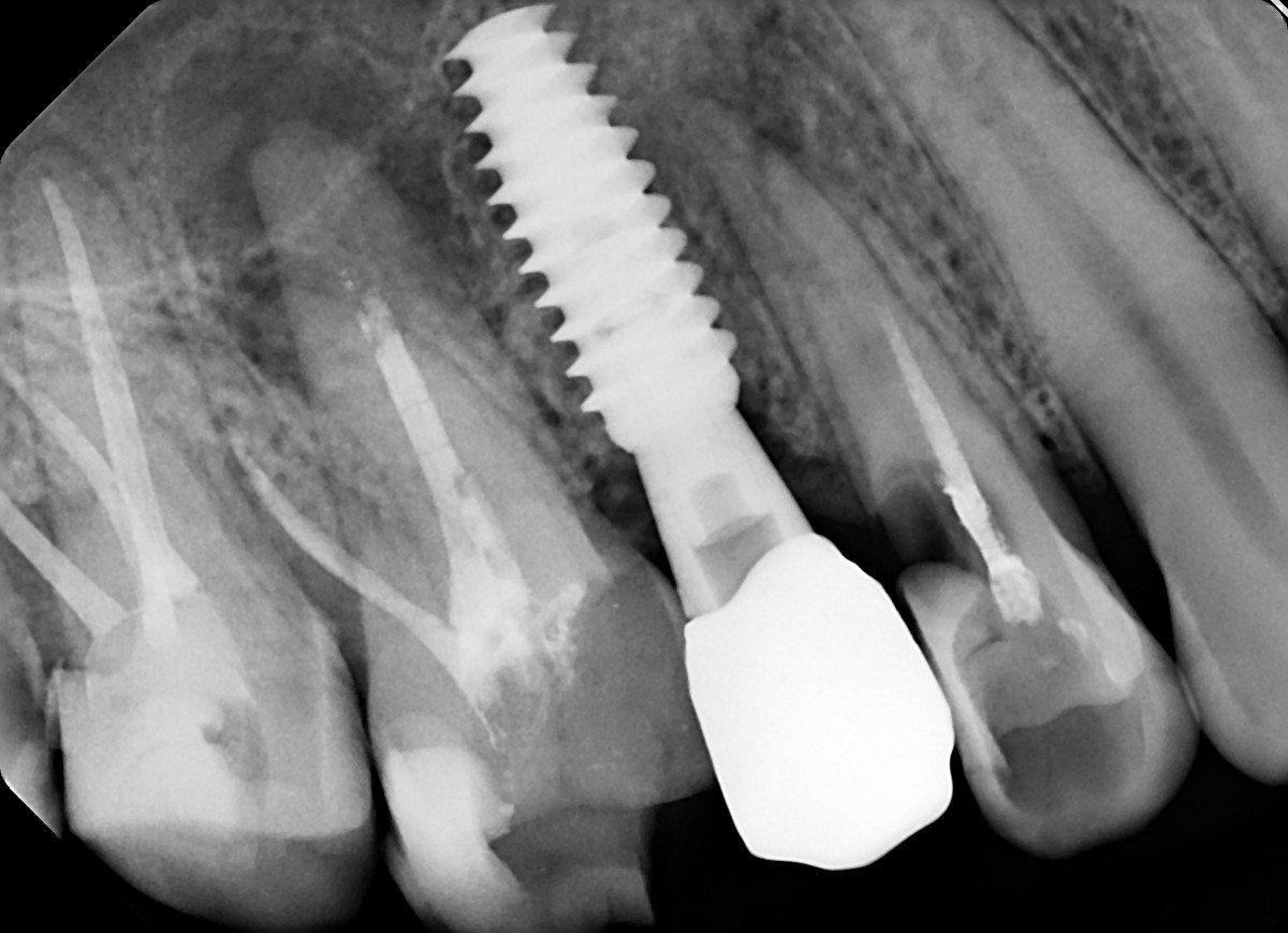
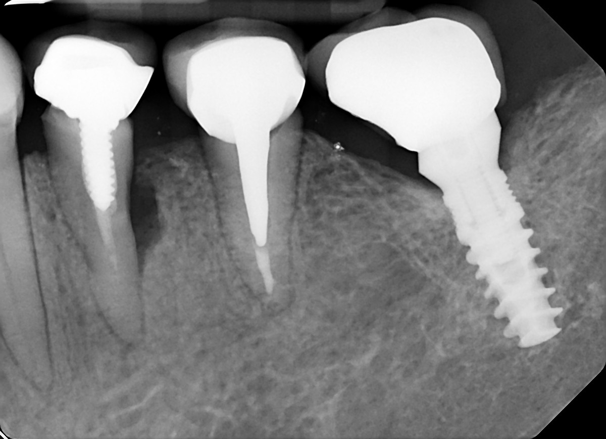
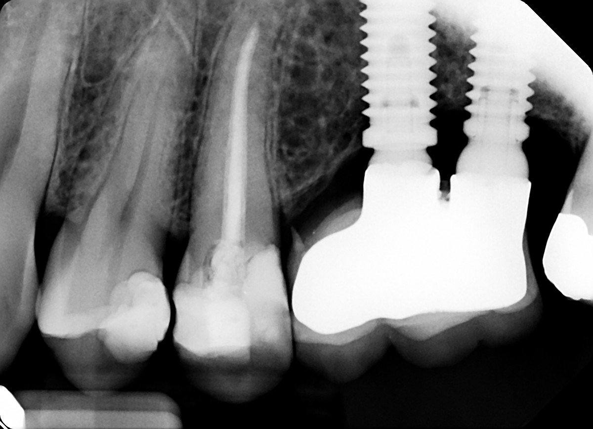
10. What option can explain the restoration on the implant?

11 / 33

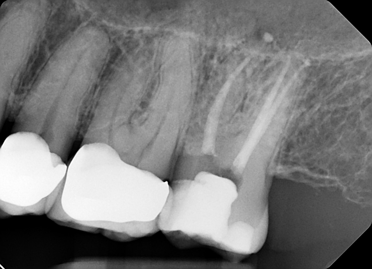
11. What option can be selected for the crown over the tooth # 2.6?

12 / 33

12. What option can be selected for the crown over the tooth #3.7?

13 / 33

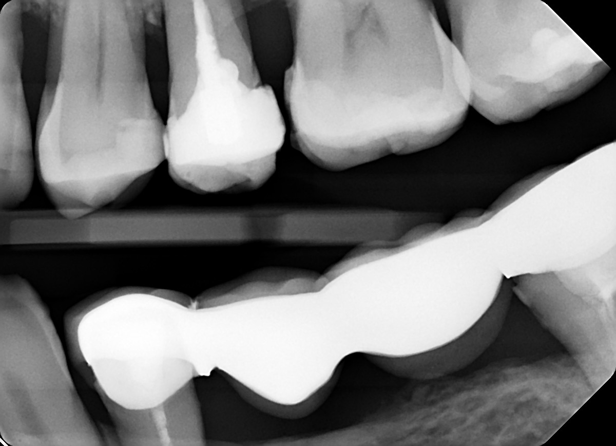
13. What option can be selected for the restoration on the lower jaw?

14 / 33

14. What option can be selected for the crown over the tooth #3.5?

15 / 33

15. What option can be selected for the crown over the tooth # 3.7?

16 / 33

16. What option can be selected for the crown over the tooth #4.7?

17 / 33

17. What option can be selected for the crown over the tooth # 4.6?

18 / 33

18. What option can be selected for the crown over the tooth # 1.5?

19 / 33

19. What option can be selected for the crown over the tooth # 1.6?

20 / 33

20. What option can be selected for the crown over the tooth # 4.6?

21 / 33

21. What option can be selected for the restoration on upper jaw?

22 / 33

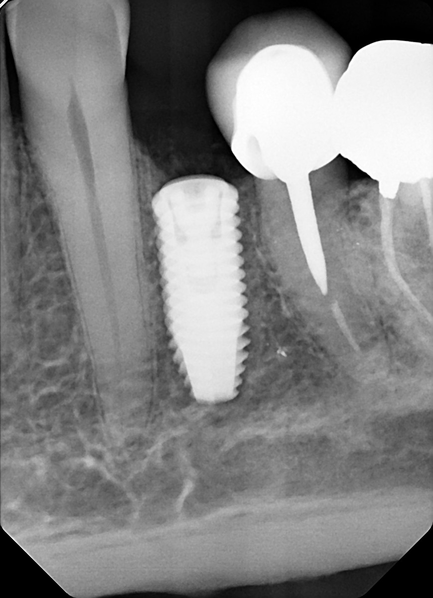
22. What option can be selected for the crown over the implant?

23 / 33

23. What option can be selected for the restoration on lower jaw?

24 / 33

24. What option can be selected for the crown over the tooth # 2.7?

25 / 33

25. What option can be selected for the crown over the implant?

26 / 33

26. What option can be selected for the crown over the tooth # 4.7?

27 / 33

27. What option can be selected for the restoration on the upper jaw?

28 / 33

28. What option can be selected for the crown over posterior implant?

29 / 33

29. What option can be selected for the crown over the tooth # 3.6?

30 / 33

30. What option can be selected for the crown over the tooth # 1.6?

31 / 33

31. What option can be selected for the crown over the teeth # 2.4 and 2.5?

32 / 33

32. What option can be selected for the restoration on the upper jaw?

33 / 33

33. What option can be selected for the restoration of the upper jaw?

Your score is

The average score is 65%

0%