ACJ Quiz - CBO, Root caries and Abrasion Errors

1 / 30

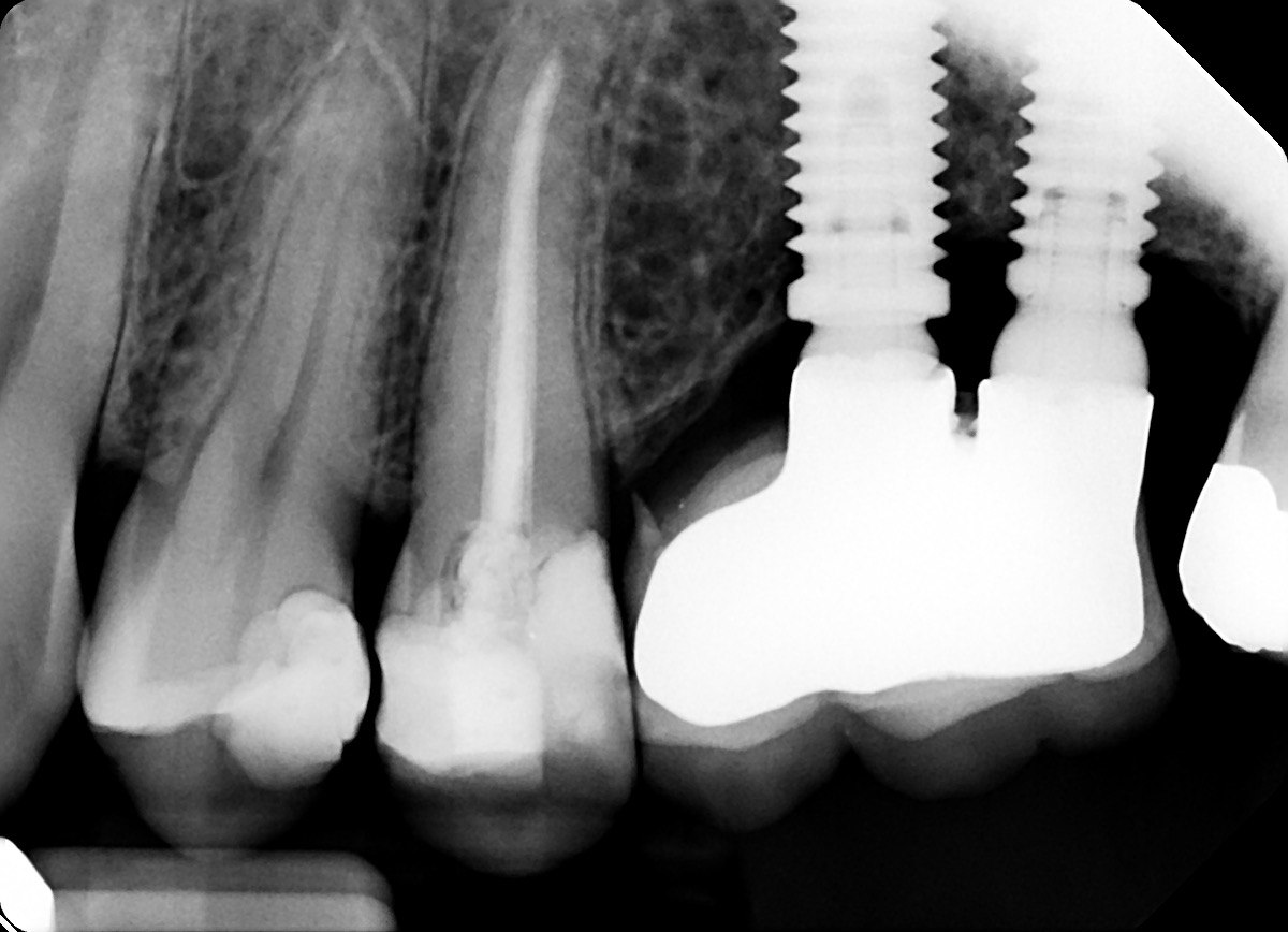
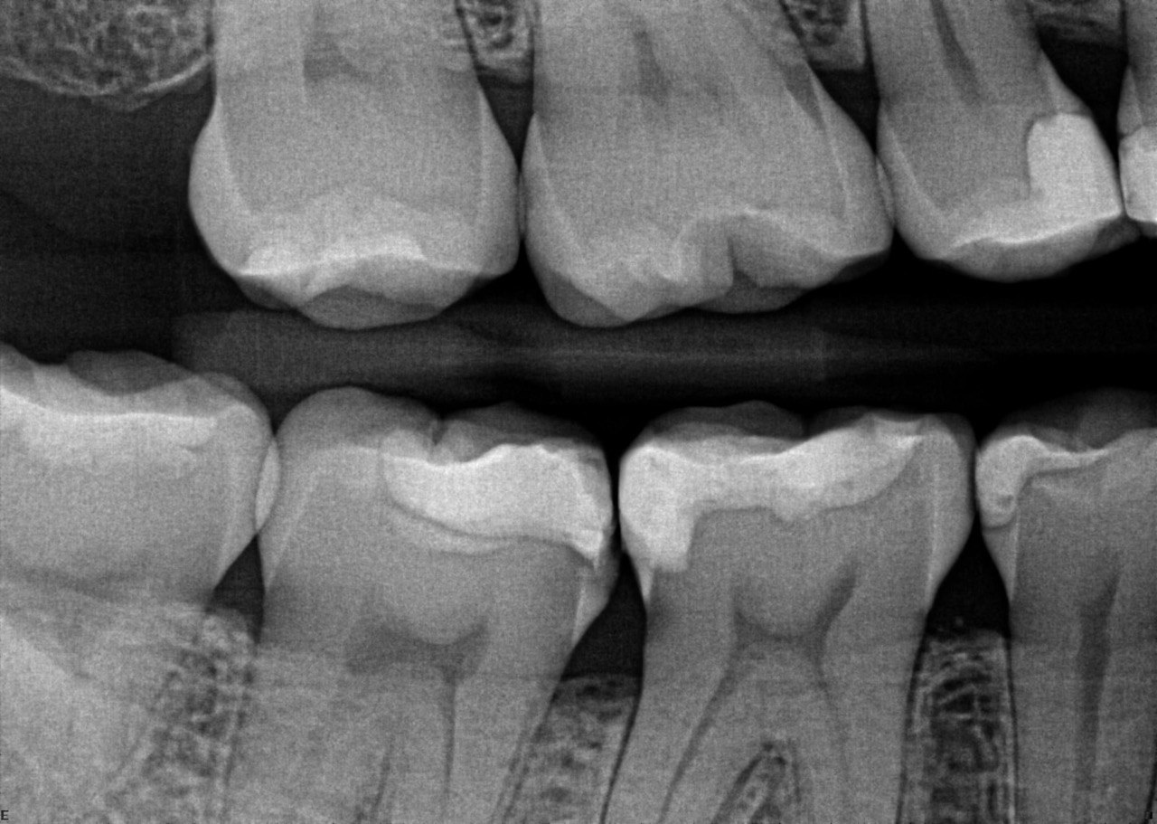
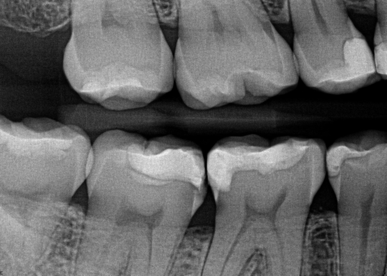
1. What is the condition in the distal surface of the tooth # 4.6?

2 / 30

2. What is the condition in the distal surface of the tooth # 4.7?

3 / 30

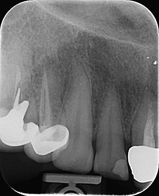
3. What condition can be detected in mesial surface of the tooth # 2.5?

4 / 30

4. What is the condition in the distal surface of the tooth # 3.4?

5 / 30

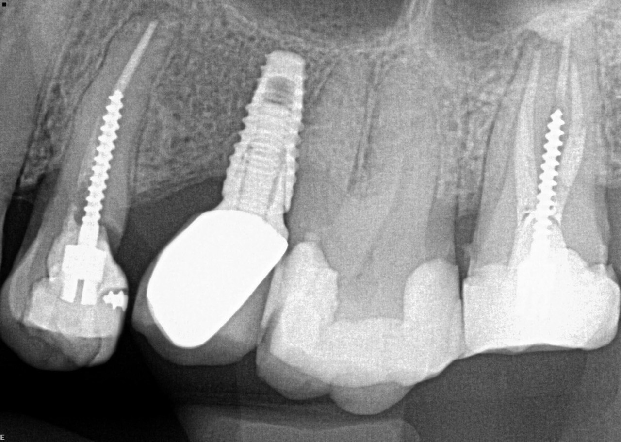
5. What is the condition in the distal surface of the tooth # 3.3?

6 / 30

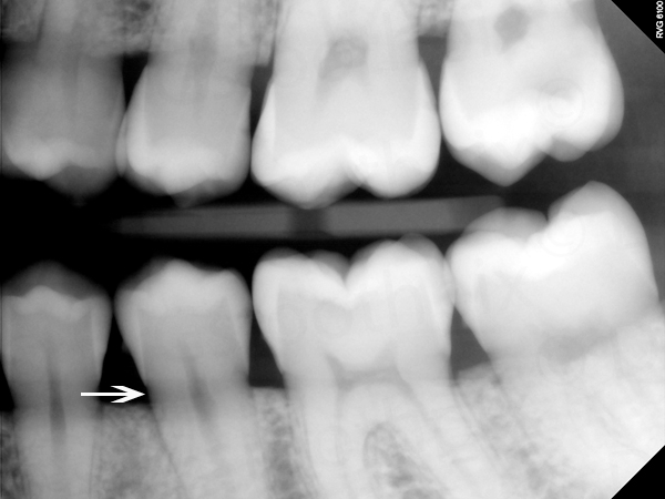
6. What is the condition on dista surface of the tooth # 3.7?

7 / 30

7. What condition can be seen in the tooth # 4.4?

8 / 30

8. What condition can be seen in the distal surface of the tooth # 2.4?

9 / 30

9. What condition can be seen in distal surface of the tooth # 2.6?

10 / 30

10. What condition can be seen on the teeth # 1.5 and 1.4?

11 / 30

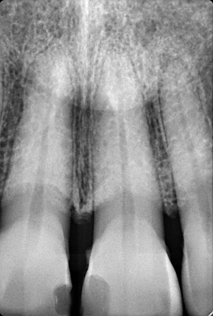
11. What is the radiolucency on the teeth # 1.1, 1.2, 1.3?

12 / 30

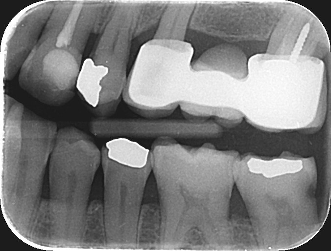
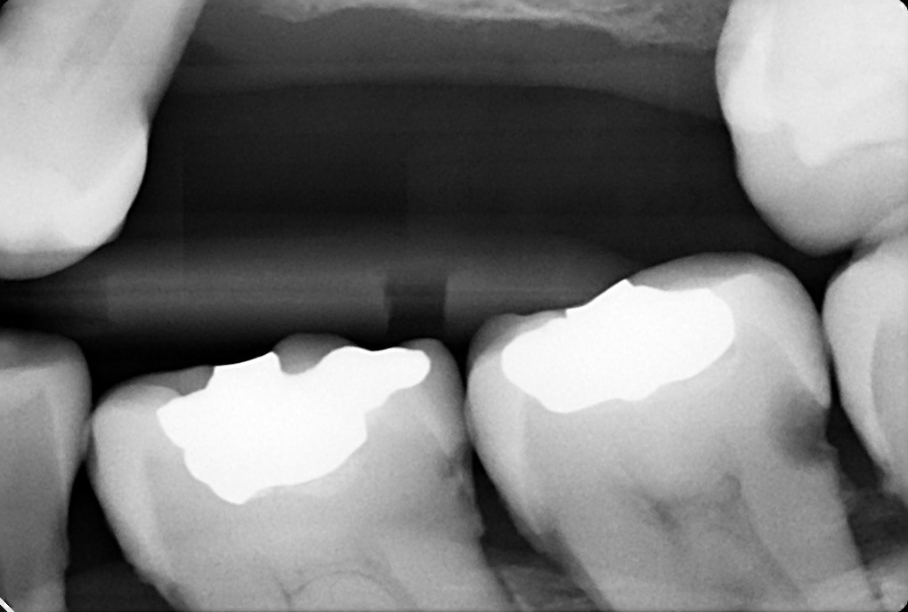
12. What is the condition showed by the arrow?

13 / 30

13. What condition can be seen on the teeth # 4.4 and 4.5?

14 / 30

14. What condition can be seen on the root surface of tooth # 1.1.?

15 / 30

15. What condition can be seen on the buccal surface of the tooth # 4.2?

16 / 30

16. What condition can be seen in distal of tooth # 3.7?

17 / 30

17. What condition can be seen in distal surface of the tooth # 4.7?

18 / 30

18. What condition can be seen in buccal surface of the teeth # 1.1 ans 2.1?

19 / 30

19. What is the condition on the distal surface of the tooth # 3.7?

20 / 30

20. what condition can be seen in buccal surface of 4.4 and 4.5?

21 / 30

21. what condition can be seen on the distal surface of the tooth #4.1?

22 / 30

22. what condition can be seen on the mesial surface of the tooth #4.1?

23 / 30

23. What condition can be seen on the distal surface of the tooth #1.2?

24 / 30

24. What condition can be seen on the distal surface of the tooth # 3.7?

25 / 30

25. What condition can be seen on the mesial surface of the tooth # 3.5?

26 / 30

26. What condition can be seen on buccal surface of the teeth # 2.3,2.4,2.5?

27 / 30

27. What condition can be seen on the distal surface of the teeth # 4.3 and mesial surface of 4.4?

28 / 30

28. What condition can be seen on buccal surface of the teeth # 1.1 and 2.1?

29 / 30

29. What condition can be seen on mesial surface of the tooth # 3.6?

30 / 30

30. What condition can be seen on mesial surface of the tooth # 3.4?

Your score is

The average score is 86%

0%