Normal Anatomy Landmarks 2 Normal Anatomy Landmarks 2 1 / 40 43. What is the anatomical structure indicated by arrow in this radiograph? A.Maxillary sinus B.Periapical lesion C.lateral fossa D.Maxillary sinus septa Maxillary Sinus The borders of the maxillary sinus appear on periapical radiographs as a thin, delicate, tenuous radiopaque line. In adults the sinuses usually extend from the distal aspect of the canine to the posterior wall of the maxilla above the tuberosity. In older adults the sinus may extend farther into the alveolar process, and in the posterior region of the maxilla its floor may appear considerably below the level of the floor of the nasal cavity. Anteriorly each sinus is restricted by the canine fossa and is usually seen to sweep superiorly, crossing the level of the floor of the nasal cavity in the premolar or canine region. Consequently, on periapical radiographs of Maxillary Sinus The borders of the maxillary sinus appear on periapical radiographs as a thin, delicate, tenuous radiopaque line. In adults the sinuses usually extend from the distal aspect of the canine to the posterior wall of the maxilla above the tuberosity. In older adults the sinus may extend farther into the alveolar process, and in the posterior region of the maxilla its floor may appear considerably below the level of the floor of the nasal cavity. Anteriorly each sinus is restricted by the canine fossa and is usually seen to sweep superiorly, crossing the level of the floor of the nasal cavity in the premolar or canine region. Consequently, on periapical radiographs of 2 / 40 44. What is indicated by the green dot in this X-ray? A.Maxillary tubersity B.cyst , tumor C.Zygomatic process D.Lateral pterygoid plate This is a bony prominence distal to last molar ik maxillaty arch. It apperas as a radiopaque dense structure. This is a bony prominence distal to last molar ik maxillaty arch. It apperas as a radiopaque dense structure. 3 / 40 45. What is indicated by arrow in this X-ray? A.Zygomatic arch B.Floor of maxillary sinus C.Septa of maxillary sinus D.Zygomatic process of maxilla -An extension of latetal maxillary surface that arises in the region of the apices of the first and second molars and attached to the zygomatic bone. -An extension of latetal maxillary surface that arises in the region of the apices of the first and second molars and attached to the zygomatic bone. 4 / 40 46. What is showing by arrow? Lingual foramen Incisive foramen Mental spine Periapical lesion Genial Tubercles (Mental Spine) bony protuberances located on the lingual surface of the mandible slightly above the inferior border and in the midline. serve to attach the genioglossus muscles (at the superior tubercles) and the geniohyoid muscles (at the inferior tubercles) to the mandible. Usually well visualized on mandibular occlusal radiographs as one or more small projections. Genial Tubercles (Mental Spine) bony protuberances located on the lingual surface of the mandible slightly above the inferior border and in the midline. serve to attach the genioglossus muscles (at the superior tubercles) and the geniohyoid muscles (at the inferior tubercles) to the mandible. Usually well visualized on mandibular occlusal radiographs as one or more small projections. 5 / 40 47. What is showing by arrow? Lingual foramen Incisive foramen Mental spine Periapical lesion Genial Tubercles (Mental Spine) bony protuberances located on the lingual surface of the mandible slightly above the inferior border and in the midline. serve to attach the genioglossus muscles (at the superior tubercles) and the geniohyoid muscles (at the inferior tubercles) to the mandible. Usually well visualized on mandibular occlusal radiographs as one or more small projections. Genial Tubercles (Mental Spine) bony protuberances located on the lingual surface of the mandible slightly above the inferior border and in the midline. serve to attach the genioglossus muscles (at the superior tubercles) and the geniohyoid muscles (at the inferior tubercles) to the mandible. Usually well visualized on mandibular occlusal radiographs as one or more small projections. 6 / 40 48. What is showing by arrow? Mental foramen Periapical pathology Lingual foramen Mental spine Mental Foramen the anterior limit of the inferior dental canal that is apparent on periapical radiographs. seen about halfway between the lower border of the mandible and the crest of the alveolar process, usually in the region of the apex of the second premolar. (may be projected anywhere from just mesial of the permanent first molar roots to as far anterior as mesial of the first premolar root) When the mental foramen is projected over one of the premolar apices, it may mimic periapical disease . Mental Foramen the anterior limit of the inferior dental canal that is apparent on periapical radiographs. seen about halfway between the lower border of the mandible and the crest of the alveolar process, usually in the region of the apex of the second premolar. (may be projected anywhere from just mesial of the permanent first molar roots to as far anterior as mesial of the first premolar root) When the mental foramen is projected over one of the premolar apices, it may mimic periapical disease . 7 / 40 49. What is showing by arrow? Lower lip line Mental ridge Cortical plate of mandible Mental fossa Mental Ridge (protuberance) On periapical radiographs of the mandibular central incisors, the mental ridge may occasionally be seen as two radiopaque lines sweeping bilaterally forward and upward toward the midline. Mental Ridge (protuberance) On periapical radiographs of the mandibular central incisors, the mental ridge may occasionally be seen as two radiopaque lines sweeping bilaterally forward and upward toward the midline. 8 / 40 50. What is showing by arrow? Lower lip line Mental ridge Cortical plate of mandible Mental fossa Mental Ridge (protuberance) On periapical radiographs of the mandibular central incisors, the mental ridge may occasionally be seen as two radiopaque lines sweeping bilaterally forward and upward toward the midline. Mental Ridge (protuberance) On periapical radiographs of the mandibular central incisors, the mental ridge may occasionally be seen as two radiopaque lines sweeping bilaterally forward and upward toward the midline. 9 / 40 51. What is showing by arrow? Periapical cyst RO Mental fossa Lowerborder of mandible Mental fossa a depression on the labial aspect of the mandible extending laterally from the midline and above the mental ridge. Mental fossa a depression on the labial aspect of the mandible extending laterally from the midline and above the mental ridge. 10 / 40 52. What is showing by arrow? Mental foramen Periapical pathology Lingual foramen Mental spine Mental Foramen the anterior limit of the inferior dental canal that is apparent on periapical radiographs. seen about halfway between the lower border of the mandible and the crest of the alveolar process, usually in the region of the apex of the second premolar. (may be projected anywhere from just mesial of the permanent first molar roots to as far anterior as mesial of the first premolar root) When the mental foramen is projected over one of the premolar apices, it may mimic periapical disease . Mental Foramen the anterior limit of the inferior dental canal that is apparent on periapical radiographs. seen about halfway between the lower border of the mandible and the crest of the alveolar process, usually in the region of the apex of the second premolar. (may be projected anywhere from just mesial of the permanent first molar roots to as far anterior as mesial of the first premolar root) When the mental foramen is projected over one of the premolar apices, it may mimic periapical disease . 11 / 40 53. What is showing by arrow? Hamular process Lower border of mandible Mandibular canal Submandibular fossa Inferior Alveolar Canal appears as a dark linear shadow with thin radiopaque superior and inferior borders cast by the lamella of bone that bounds the canal Inferior Alveolar Canal appears as a dark linear shadow with thin radiopaque superior and inferior borders cast by the lamella of bone that bounds the canal 12 / 40 54. What is showing by arrow? Internal oblique ridge External oblique ridge Submandibular fossa None of the above External Oblique Ridge a continuation of the anterior border of the mandibular ramus. It follows an anteroinferior course lateral to the alveolar process. External Oblique Ridge a continuation of the anterior border of the mandibular ramus. It follows an anteroinferior course lateral to the alveolar process. 13 / 40 55. What is showing by arrow? Maxillary tubersity Zygomatic process of maxilla Coronoid process Zygomatic arch Coronoid Process - frequently apparent on periapical radiographs of the maxillary molar region as a triangular radiopacity, with its apex directed superiorly and somewhat anteriorly, superimposed on the region of the third molar. Coronoid Process - frequently apparent on periapical radiographs of the maxillary molar region as a triangular radiopacity, with its apex directed superiorly and somewhat anteriorly, superimposed on the region of the third molar. 14 / 40 56. What is showing by arrow? Inferior border of mandible Nutrient canal Fracture line None of the above The inferior border of the mandible, also known as the base, is the lower edge of the lower jaw bone (mandible). It's a prominent, curved structure that runs along the bottom of the mandible. The inferior border of the mandible, also known as the base, is the lower edge of the lower jaw bone (mandible). It's a prominent, curved structure that runs along the bottom of the mandible. 15 / 40 57. What is the area showing? Periapical cyst RO Mental fossa Lowerborder of mandible Mental fossa a depression on the labial aspect of the mandible extending laterally from the midline and above the mental ridge. Mental fossa a depression on the labial aspect of the mandible extending laterally from the midline and above the mental ridge. 16 / 40 58. What is showing by arrow? Hamular process Lower border of mandible Mandibular canal Submandibular fossa Inferior Alveolar Canal appears as a dark linear shadow with thin radiopaque superior and inferior borders cast by the lamella of bone that bounds the canal. Inferior Alveolar Canal appears as a dark linear shadow with thin radiopaque superior and inferior borders cast by the lamella of bone that bounds the canal. 17 / 40 59. What is showing by arrow? Internal oblique ridge External oblique ridge Submandibular fossa None of the above External Oblique Ridge a continuation of the anterior border of the mandibular ramus. It follows an anteroinferior course lateral to the alveolar process. External Oblique Ridge a continuation of the anterior border of the mandibular ramus. It follows an anteroinferior course lateral to the alveolar process. 18 / 40 60. What is showing by arrow? Periapical lesion Stafne bone cyst Submandibular fossa None of the above Submandibular Gland Fossa a bone depression on the lingual surface of the mandibular body, immediately below the mylohyoid ridge in the molar area. often appears as a radiolucent area with the sparse trabecular pattern Submandibular Gland Fossa a bone depression on the lingual surface of the mandibular body, immediately below the mylohyoid ridge in the molar area. often appears as a radiolucent area with the sparse trabecular pattern 19 / 40 61. What is showing by arrow? Maxillary tubersity Zygomatic process of maxilla Coronoid process Zygomatic arch Coronoid Process - frequently apparent on periapical radiographs of the maxillary molar region as a triangular radiopacity, with its apex directed superiorly and somewhat anteriorly, superimposed on the region of the third molar. Coronoid Process - frequently apparent on periapical radiographs of the maxillary molar region as a triangular radiopacity, with its apex directed superiorly and somewhat anteriorly, superimposed on the region of the third molar. 20 / 40 62. What is the anatomical structure indicated by arrow in this radiograph? A.Maxillary sinus B.Periapical lesion C.lateral fossa D.Maxillary sinus septa Maxillary Sinus The borders of the maxillary sinus appear on periapical radiographs as a thin, delicate, tenuous radiopaque line. In adults the sinuses usually extend from the distal aspect of the canine to the posterior wall of the maxilla above the tuberosity. In older adults the sinus may extend farther into the alveolar process, and in the posterior region of the maxilla its floor may appear considerably below the level of the floor of the nasal cavity. Anteriorly each sinus is restricted by the canine fossa and is usually seen to sweep superiorly, crossing the level of the floor of the nasal cavity in the premolar or canine region. Consequently, on periapical radiographs of Maxillary Sinus The borders of the maxillary sinus appear on periapical radiographs as a thin, delicate, tenuous radiopaque line. In adults the sinuses usually extend from the distal aspect of the canine to the posterior wall of the maxilla above the tuberosity. In older adults the sinus may extend farther into the alveolar process, and in the posterior region of the maxilla its floor may appear considerably below the level of the floor of the nasal cavity. Anteriorly each sinus is restricted by the canine fossa and is usually seen to sweep superiorly, crossing the level of the floor of the nasal cavity in the premolar or canine region. Consequently, on periapical radiographs of 21 / 40 63. What arrow shows? A. Lamina dura thickining B. Nasolabial fold C. Nasolacrimal Canal D. Maxillary sinus wall Nasolabial Fold An oblique line demarcating a region that appears to be covered by a veil of slight radiopacity frequently traverses periapical radiographs of the premolar region. The line of contrast is sharp, and the area of increased radiopacity is posterior to the line. Nasolabial Fold An oblique line demarcating a region that appears to be covered by a veil of slight radiopacity frequently traverses periapical radiographs of the premolar region. The line of contrast is sharp, and the area of increased radiopacity is posterior to the line. 22 / 40 64. Which anatomical structure indicated by black arrow? A.Nasal septum B. Nasal fossa C. Anterior nasal spine D. Nose -The image of the nose has slightly opaque appearance with a sharp border seen on xrays of upper central and lateral incisors ( superimposed over the roots of these teeth) -The image of the nose has slightly opaque appearance with a sharp border seen on xrays of upper central and lateral incisors ( superimposed over the roots of these teeth) 23 / 40 65. What is the anatomical structure indicated by arrow in this radiograph? A. Incisive Cyst B. Incisive foramen C. Lateral fossae D. Nasal fossae Incisive Foramen ( Nasalpalatine or anterior palatine foramen ) -The oral terminus of the nasalpalatine canal. - projected b/w roots and region of the middle and apical thirds of the central incisors. -potential site for cyst formation. - Presence of a cyst is predumed if the width of the foramen exceeds 1 cm. Incisive Foramen ( Nasalpalatine or anterior palatine foramen ) -The oral terminus of the nasalpalatine canal. - projected b/w roots and region of the middle and apical thirds of the central incisors. -potential site for cyst formation. - Presence of a cyst is predumed if the width of the foramen exceeds 1 cm. 24 / 40 66. What is showing by arrow? A. Incisive foramen B. Lateral fossa C. periapical lesion ( Cyst,..) D. Nasal fossa Lateral Fossa (Incisive fossa) - a gentle depression in the maxilla near the apex of the lateral incisor. - On periapical of this region it may apper diffusely radiolucent. Lateral Fossa (Incisive fossa) - a gentle depression in the maxilla near the apex of the lateral incisor. - On periapical of this region it may apper diffusely radiolucent. 25 / 40 67. What is the anatomical structure indicated by arrow in this radiograph? A. Nasal Septum B.Intermaxillaty Suture C.Anterior nasal Spine D.Incisive Foramen The nasal septum is the wall of bone and cartilage that divides the nasal cavity into two passages, separating the left and right nostrils. It's a crucial structure for maintaining the shape of the nose and ensuring proper airflow. The nasal septum is the wall of bone and cartilage that divides the nasal cavity into two passages, separating the left and right nostrils. It's a crucial structure for maintaining the shape of the nose and ensuring proper airflow. 26 / 40 68. What is the anatomical structure indicated by arrow in this radiograph? A. Nasal Septum B. Intermaxillaty Suture C. Anterior nasal Spine D. Incisive Foramen V- shape opaque projection on periapical radiographs of the maxillary central incisors, located in the middle ( 1.5 to 2 cm above the alvelora crest ). Usually at or just below the junction of the inferior end of the nasal septum and the inferior outline of the nasal aperture. V- shape opaque projection on periapical radiographs of the maxillary central incisors, located in the middle ( 1.5 to 2 cm above the alvelora crest ). Usually at or just below the junction of the inferior end of the nasal septum and the inferior outline of the nasal aperture. 27 / 40 69. What is the anatomical structure indicated by arrow in this radiograph? A. Nasal Septum B. Intermaxillaty Suture C. Anterior nasal Spine D. Incisive Foramen Intermaxillary Suture (median suture) a thin radio lucent line in the midline on periapical radiographs between the two portions of the premaxilla. It extends from the alveolar crest between the central incisors superiorly through the anterior nasal spine and continues posteriorly between the maxillary palatine processes to the posterior aspect of the hard palate Intermaxillary Suture (median suture) a thin radio lucent line in the midline on periapical radiographs between the two portions of the premaxilla. It extends from the alveolar crest between the central incisors superiorly through the anterior nasal spine and continues posteriorly between the maxillary palatine processes to the posterior aspect of the hard palate 28 / 40 70. What is showing by arrow? Alveolar bone PDL Periapical pathology None of the above Alveolar bone Normally the level of the alveolar bone is 1.5-2mm apical to the CEJ of the adjacent teeth. In the anterior region the crest is sharp and pointed between the incisors. Posteriorly it is flat, aligned parallel with and slightly below a line connecting the CEls of the adjacent teeth. Alveolar bone Normally the level of the alveolar bone is 1.5-2mm apical to the CEJ of the adjacent teeth. In the anterior region the crest is sharp and pointed between the incisors. Posteriorly it is flat, aligned parallel with and slightly below a line connecting the CEls of the adjacent teeth. 29 / 40 71. What is showing by arrow? Alveolar bone Lamina dura PDL Periapic lesion "Lamina Dura" : a thin radiopaque layer of dense bone bounding the tooth socket. It is continuous with the shadow of the cortical bone at the alveolar crest. The presence of an intact lamina dura around the apex of a tooth strongly suggests a vital pulp. "Lamina Dura" : a thin radiopaque layer of dense bone bounding the tooth socket. It is continuous with the shadow of the cortical bone at the alveolar crest. The presence of an intact lamina dura around the apex of a tooth strongly suggests a vital pulp. 30 / 40 72. What is showing by arrow? Alveolar bone Lamina dura PDL Periapic lesion > Periodontal ligament (PDL) • Radiographically seen as a radiolucent line on inside of lamina dura PDL is thinner in the middle of the root and slightly wider near the alveolar crest and root apex average width: 0.5 mm). Position in relation to tooth can determine if lesion is attached to tooth structure (inside PDL) or not (outside PDL). Widening of the periodontal ligament space: Increased width of periodontal ligament space due to inflammation. Etiology: pulp necrosis, root fracture, trauma from occlusion, malignancies, scleroderma (generalized PDL) > Periodontal ligament (PDL) • Radiographically seen as a radiolucent line on inside of lamina dura PDL is thinner in the middle of the root and slightly wider near the alveolar crest and root apex average width: 0.5 mm). Position in relation to tooth can determine if lesion is attached to tooth structure (inside PDL) or not (outside PDL). Widening of the periodontal ligament space: Increased width of periodontal ligament space due to inflammation. Etiology: pulp necrosis, root fracture, trauma from occlusion, malignancies, scleroderma (generalized PDL) 31 / 40 73. What is showing by arrow? Mental foramen Periapical pathology Lingual foramen Mental spine Mental Foramen the anterior limit of the inferior dental canal that is apparent on periapical radiographs. seen about halfway between the lower border of the mandible and the crest of the alveolar process, usually in the region of the apex of the second premolar. (may be projected anywhere from just mesial of the permanent first molar roots to as far anterior as mesial of the first premolar root) When the mental foramen is projected over one of the premolar apices, it may mimic periapical disease . Mental Foramen the anterior limit of the inferior dental canal that is apparent on periapical radiographs. seen about halfway between the lower border of the mandible and the crest of the alveolar process, usually in the region of the apex of the second premolar. (may be projected anywhere from just mesial of the permanent first molar roots to as far anterior as mesial of the first premolar root) When the mental foramen is projected over one of the premolar apices, it may mimic periapical disease . 32 / 40 74. What is the yellow area showing? Maxillary tubersity Zygomatic process of maxilla Coronoid process Zygomatic arch Coronoid Process - frequently apparent on periapical radiographs of the maxillary molar region as a triangular radiopacity, with its apex directed superiorly and somewhat anteriorly, superimposed on the region of the third molar. Coronoid Process - frequently apparent on periapical radiographs of the maxillary molar region as a triangular radiopacity, with its apex directed superiorly and somewhat anteriorly, superimposed on the region of the third molar. 33 / 40 75. What is showing by arrow? Lower lip line Mental ridge Cortical plate of mandible Mental fossa Mental Ridge (protuberance) On periapical radiographs of the mandibular central incisors, the mental ridge may occasionally be seen as two radiopaque lines sweeping bilaterally forward and upward toward the midline. Mental Ridge (protuberance) On periapical radiographs of the mandibular central incisors, the mental ridge may occasionally be seen as two radiopaque lines sweeping bilaterally forward and upward toward the midline. 34 / 40 76. What is B showing? Internal oblique ridge External oblique ridge Submandibular fossa None of the above Internal oblique ridge is the bony protuberance located on the lingual surface of mandible extending diagonally downward from the ramus and ending anteriorly near the apices of the premolars. Its function is to serve as an attachment site for the mylohyoid muscle of the floor of the mouth. Internal oblique ridge is the bony protuberance located on the lingual surface of mandible extending diagonally downward from the ramus and ending anteriorly near the apices of the premolars. Its function is to serve as an attachment site for the mylohyoid muscle of the floor of the mouth. 35 / 40 77. What is A showing? Internal oblique ridge External oblique ridge Submandibular fossa None of the above External Oblique Ridge a continuation of the anterior border of the mandibular ramus. It follows an anteroinferior course lateral to the alveolar process. External Oblique Ridge a continuation of the anterior border of the mandibular ramus. It follows an anteroinferior course lateral to the alveolar process. 36 / 40 78. What is the area that mark as yellow? Periapical cyst RO Mental fossa Lowerborder of mandible Mental fossa a depression on the labial aspect of the mandible extending laterally from the midline and above the mental ridge. Mental fossa a depression on the labial aspect of the mandible extending laterally from the midline and above the mental ridge. 37 / 40 79. What is E showing? Dentin Pulp Enamel Lamina dura Enamel Teeth are made up of 4 basic anatomic structures: Enamel, dentin, cementum, and pulp. Hardest substance in body = most mineralized (95% calcified) → highest radiographic density Covers crown of tooth; contacts dentin at dentinoenamel junction (DEJ) Contacts cementum at cementoenamel junction (CEJ) Enamel Teeth are made up of 4 basic anatomic structures: Enamel, dentin, cementum, and pulp. Hardest substance in body = most mineralized (95% calcified) → highest radiographic density Covers crown of tooth; contacts dentin at dentinoenamel junction (DEJ) Contacts cementum at cementoenamel junction (CEJ) 38 / 40 80. What is D showing? Enamel Dentin Pulp None of the above Dentin • Makes up majority of tooth (70-75% calcified) → less opaque than enamel and more comparable to bone Dentin • Makes up majority of tooth (70-75% calcified) → less opaque than enamel and more comparable to bone 39 / 40 81. What is P showing? Enamel Dentin Pulp None of the above Pulp Contains nerves and vessels that enter and emerge through apical foramen. Most radiolucent portion of tooth. Crown portion called pulp chamber with pointy pulp horns; root portion called pulp canal. Lateral canals: may occur as branches of a normal root canal and usually found at the apical third of the root. With aging occurs a gradual deposition of secondary dentin. This process may eventually lead to pulp obliteration. Pulp Contains nerves and vessels that enter and emerge through apical foramen. Most radiolucent portion of tooth. Crown portion called pulp chamber with pointy pulp horns; root portion called pulp canal. Lateral canals: may occur as branches of a normal root canal and usually found at the apical third of the root. With aging occurs a gradual deposition of secondary dentin. This process may eventually lead to pulp obliteration. 40 / 40 82. What is showing by arrow? PDl Lamina dura Bone None of the above Lamina Dura: a thin radiopaque layer of dense bone bounding the tooth socket. It is continuous with the shadow of the cortical bone at the alveolar crest. Lamina Dura is slightly thicker and no more highly mineralized than the trabeculae of cancellous bone in the area. Lamina Dura: a thin radiopaque layer of dense bone bounding the tooth socket. It is continuous with the shadow of the cortical bone at the alveolar crest. Lamina Dura is slightly thicker and no more highly mineralized than the trabeculae of cancellous bone in the area. Your score isThe average score is 86% 0% Restart quiz
Normal Anatomy Landmarks 2
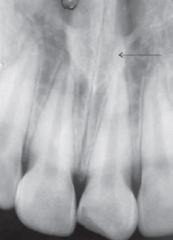
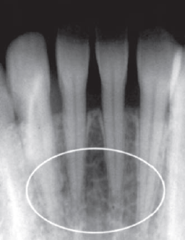
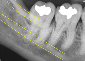
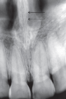
1 / 40
43. What is the anatomical structure indicated by arrow in this radiograph?
Maxillary Sinus The borders of the maxillary sinus appear on periapical radiographs as a thin, delicate, tenuous radiopaque line. In adults the sinuses usually extend from the distal aspect of the canine to the posterior wall of the maxilla above the tuberosity. In older adults the sinus may extend farther into the alveolar process, and in the posterior region of the maxilla its floor may appear considerably below the level of the floor of the nasal cavity. Anteriorly each sinus is restricted by the canine fossa and is usually seen to sweep superiorly, crossing the level of the floor of the nasal cavity in the premolar or canine region. Consequently, on periapical radiographs of
2 / 40
44. What is indicated by the green dot in this X-ray?
This is a bony prominence distal to last molar ik maxillaty arch. It apperas as a radiopaque dense structure.
3 / 40
45. What is indicated by arrow in this X-ray?
-An extension of latetal maxillary surface that arises in the region of the apices of the first and second molars and attached to the zygomatic bone.
4 / 40
46. What is showing by arrow?
Genial Tubercles (Mental Spine) bony protuberances located on the lingual surface of the mandible slightly above the inferior border and in the midline. serve to attach the genioglossus muscles (at the superior tubercles) and the geniohyoid muscles (at the inferior tubercles) to the mandible. Usually well visualized on mandibular occlusal radiographs as one or more small projections.
5 / 40
47. What is showing by arrow?
6 / 40
48. What is showing by arrow?
Mental Foramen the anterior limit of the inferior dental canal that is apparent on periapical radiographs. seen about halfway between the lower border of the mandible and the crest of the alveolar process, usually in the region of the apex of the second premolar. (may be projected anywhere from just mesial of the permanent first molar roots to as far anterior as mesial of the first premolar root) When the mental foramen is projected over one of the premolar apices, it may mimic periapical disease .
7 / 40
49. What is showing by arrow?
Mental Ridge (protuberance) On periapical radiographs of the mandibular central incisors, the mental ridge may occasionally be seen as two radiopaque lines sweeping bilaterally forward and upward toward the midline.
8 / 40
50. What is showing by arrow?
9 / 40
51. What is showing by arrow?
Mental fossa a depression on the labial aspect of the mandible extending laterally from the midline and above the mental ridge.
10 / 40
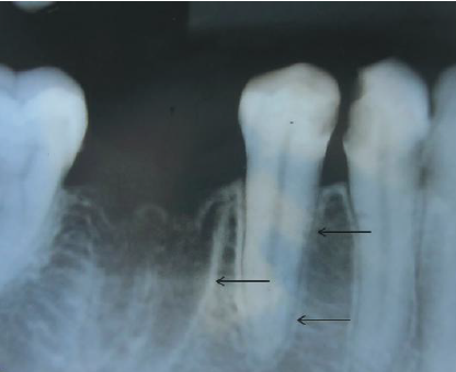
52. What is showing by arrow?
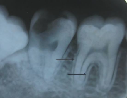
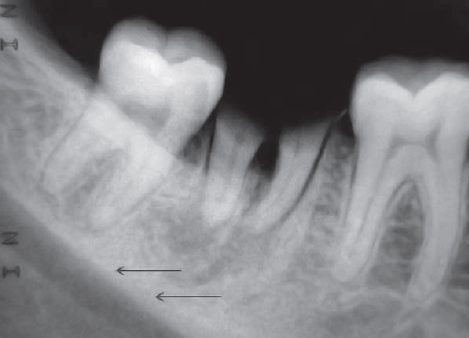
11 / 40
53. What is showing by arrow?
Inferior Alveolar Canal appears as a dark linear shadow with thin radiopaque superior and inferior borders cast by the lamella of bone that bounds the canal
12 / 40
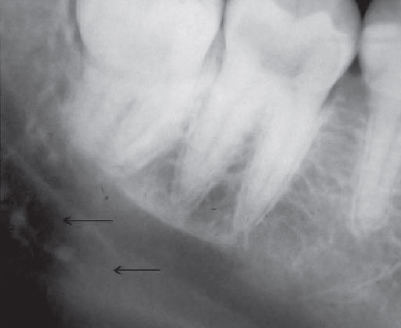
54. What is showing by arrow?
External Oblique Ridge a continuation of the anterior border of the mandibular ramus. It follows an anteroinferior course lateral to the alveolar process.
13 / 40
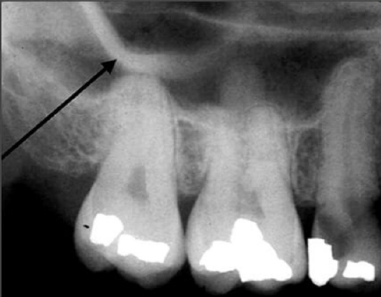
55. What is showing by arrow?
Coronoid Process - frequently apparent on periapical radiographs of the maxillary molar region as a triangular radiopacity, with its apex directed superiorly and somewhat anteriorly, superimposed on the region of the third molar.
14 / 40
56. What is showing by arrow?
The inferior border of the mandible, also known as the base, is the lower edge of the lower jaw bone (mandible). It's a prominent, curved structure that runs along the bottom of the mandible.
15 / 40
57. What is the area showing?
16 / 40
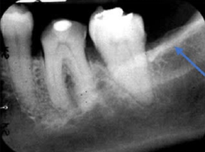
58. What is showing by arrow?
Inferior Alveolar Canal appears as a dark linear shadow with thin radiopaque superior and inferior borders cast by the lamella of bone that bounds the canal.
17 / 40
59. What is showing by arrow?
18 / 40
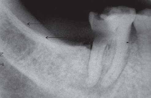
60. What is showing by arrow?
Submandibular Gland Fossa a bone depression on the lingual surface of the mandibular body, immediately below the mylohyoid ridge in the molar area. often appears as a radiolucent area with the sparse trabecular pattern
19 / 40
61. What is showing by arrow?
20 / 40
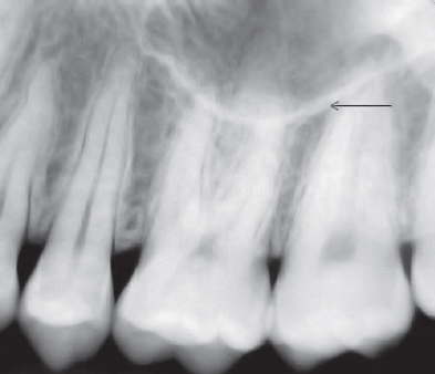
62. What is the anatomical structure indicated by arrow in this radiograph?
21 / 40
63. What arrow shows?
Nasolabial Fold An oblique line demarcating a region that appears to be covered by a veil of slight radiopacity frequently traverses periapical radiographs of the premolar region. The line of contrast is sharp, and the area of increased radiopacity is posterior to the line.
22 / 40
64. Which anatomical structure indicated by black arrow?
-The image of the nose has slightly opaque appearance with a sharp border seen on xrays of upper central and lateral incisors ( superimposed over the roots of these teeth)
23 / 40
65. What is the anatomical structure indicated by arrow in this radiograph?
Incisive Foramen ( Nasalpalatine or anterior palatine foramen ) -The oral terminus of the nasalpalatine canal. - projected b/w roots and region of the middle and apical thirds of the central incisors. -potential site for cyst formation. - Presence of a cyst is predumed if the width of the foramen exceeds 1 cm.
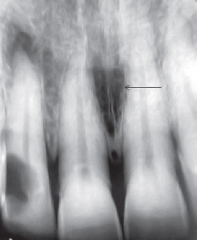
24 / 40
66. What is showing by arrow?
Lateral Fossa (Incisive fossa) - a gentle depression in the maxilla near the apex of the lateral incisor. - On periapical of this region it may apper diffusely radiolucent.
25 / 40
67. What is the anatomical structure indicated by arrow in this radiograph?
The nasal septum is the wall of bone and cartilage that divides the nasal cavity into two passages, separating the left and right nostrils. It's a crucial structure for maintaining the shape of the nose and ensuring proper airflow.
26 / 40
68. What is the anatomical structure indicated by arrow in this radiograph?
V- shape opaque projection on periapical radiographs of the maxillary central incisors, located in the middle ( 1.5 to 2 cm above the alvelora crest ). Usually at or just below the junction of the inferior end of the nasal septum and the inferior outline of the nasal aperture.
27 / 40
69. What is the anatomical structure indicated by arrow in this radiograph?
Intermaxillary Suture (median suture) a thin radio lucent line in the midline on periapical radiographs between the two portions of the premaxilla. It extends from the alveolar crest between the central incisors superiorly through the anterior nasal spine and continues posteriorly between the maxillary palatine processes to the posterior aspect of the hard palate
28 / 40
70. What is showing by arrow?
Alveolar bone Normally the level of the alveolar bone is 1.5-2mm apical to the CEJ of the adjacent teeth. In the anterior region the crest is sharp and pointed between the incisors. Posteriorly it is flat, aligned parallel with and slightly below a line connecting the CEls of the adjacent teeth.
29 / 40
71. What is showing by arrow?
"Lamina Dura" : a thin radiopaque layer of dense bone bounding the tooth socket. It is continuous with the shadow of the cortical bone at the alveolar crest. The presence of an intact lamina dura around the apex of a tooth strongly suggests a vital pulp.
30 / 40
72. What is showing by arrow?
> Periodontal ligament (PDL) • Radiographically seen as a radiolucent line on inside of lamina dura PDL is thinner in the middle of the root and slightly wider near the alveolar crest and root apex average width: 0.5 mm). Position in relation to tooth can determine if lesion is attached to tooth structure (inside PDL) or not (outside PDL). Widening of the periodontal ligament space: Increased width of periodontal ligament space due to inflammation. Etiology: pulp necrosis, root fracture, trauma from occlusion, malignancies, scleroderma (generalized PDL)
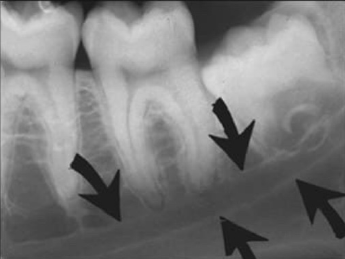
31 / 40
73. What is showing by arrow?
32 / 40
74. What is the yellow area showing?
33 / 40
75. What is showing by arrow?
34 / 40
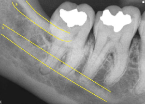
76. What is B showing?
Internal oblique ridge is the bony protuberance located on the lingual surface of mandible extending diagonally downward from the ramus and ending anteriorly near the apices of the premolars. Its function is to serve as an attachment site for the mylohyoid muscle of the floor of the mouth.
35 / 40
77. What is A showing?
36 / 40
78. What is the area that mark as yellow?
37 / 40
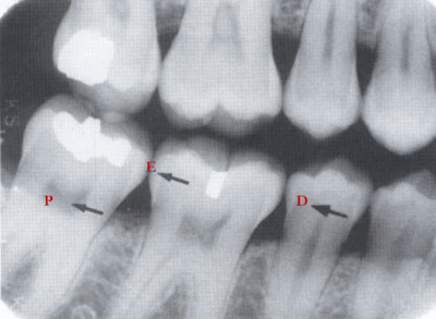
79. What is E showing?
Enamel Teeth are made up of 4 basic anatomic structures: Enamel, dentin, cementum, and pulp. Hardest substance in body = most mineralized (95% calcified) → highest radiographic density Covers crown of tooth; contacts dentin at dentinoenamel junction (DEJ) Contacts cementum at cementoenamel junction (CEJ)
38 / 40
80. What is D showing?
Dentin • Makes up majority of tooth (70-75% calcified) → less opaque than enamel and more comparable to bone
39 / 40
81. What is P showing?
Pulp Contains nerves and vessels that enter and emerge through apical foramen. Most radiolucent portion of tooth. Crown portion called pulp chamber with pointy pulp horns; root portion called pulp canal. Lateral canals: may occur as branches of a normal root canal and usually found at the apical third of the root. With aging occurs a gradual deposition of secondary dentin. This process may eventually lead to pulp obliteration.
40 / 40
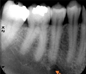
82. What is showing by arrow?
Lamina Dura: a thin radiopaque layer of dense bone bounding the tooth socket. It is continuous with the shadow of the cortical bone at the alveolar crest. Lamina Dura is slightly thicker and no more highly mineralized than the trabeculae of cancellous bone in the area.
Your score is
The average score is 86%
Restart quiz