Normal Anatomy Landmarks 1

Normal Anatomy Landmarks 1

1 / 42

 

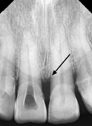
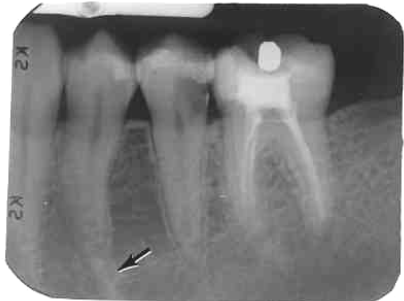
1. What is the anatomical structure indicated by the arrow in this radiograph?

 

2 / 42

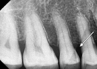
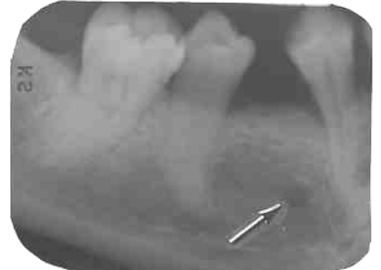
2. What is the anatomical structure indicated by arrow in this radiograph?

3 / 42

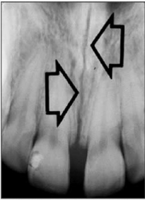
3. What is the anatomical structure indicated by arrow in this radiograph?

4 / 42

4. What is the anatomical structure indicated by arrow in this radiograph?

5 / 42

5. C arrow shows which anatomical structure ?

6 / 42

6. Which anatomical structure indicated by black arrow?

7 / 42

7. What is the anatomical structure indicated by arrow in this radiograph?

8 / 42

8. What is indicated by arrow in this xray ?

9 / 42

9. What is the anatomical structure indicated by arrow in this radiograph?

10 / 42

10. Which option indicated by arrow number 4 ?

11 / 42

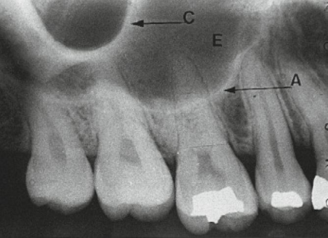
11. Which option is indicated by arrow E?

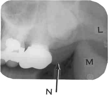
12 / 42

12. What is shown by the arrow?

13 / 42

13. Arrow E showing which anatomical structure?

14 / 42

14. What is showing by E?

15 / 42

15. Arrow F showing which anatomical structure?

16 / 42

16. What is showing by E?

17 / 42

17. What is showing by arrow?

18 / 42

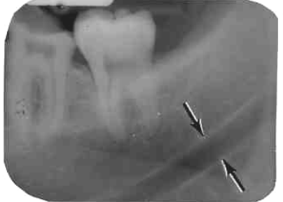
18. What is showing by arrow?

19 / 42

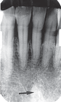
19. What is showing by arrow?

20 / 42

20. What is showing by arrow?

21 / 42

21. What is showing by X?

22 / 42

22. What is showing by arrow?

23 / 42

23. What is showing by A?

24 / 42

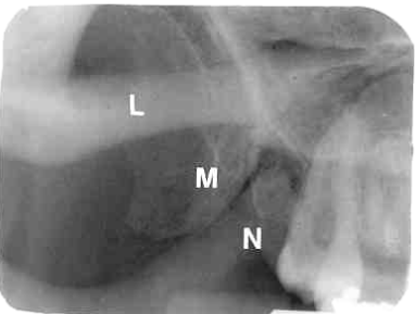
24. What is showing by N?

25 / 42

25. What is shown by M?

26 / 42

26. What is shown by L?

27 / 42

27. What is L showing?

28 / 42

28. What is showing by arrow?

29 / 42

29. What is shown by the arrow?

30 / 42

30. What is shown by arrow C?

31 / 42

31. What arrow shows?

32 / 42

32. What is showing by the arrow?

33 / 42

33. What is showing by arrow?

34 / 42

34. What is showing by arrow?

35 / 42

35. What is showing by arrow?

36 / 42

36. What is showing by arrow?

37 / 42

37. What is the anatomical structure indicated by arrow in this radiograph?

38 / 42

38. What is showing by arrow?

39 / 42

39. What is showing by the arrow?

40 / 42

40. Which anatomical structure is indicated by the black arrow?

41 / 42

41. What is the anatomical structure indicated by arrow in this radiograph?

42 / 42

42. What is the anatomical structure indicated by arrow in this radiograph?

Your score is

The average score is 82%

0%